相关产品推荐更多 >
万千商家帮你免费找货
0 人在求购买到急需产品
- 详细信息
- 文献和实验
- 技术资料
- 免疫原:
KLH conjugated synthetic peptide between 168-195 amino acids from the C-terminal region of human IL12A.
- 亚型:
IgG
- 形态:
Liquid
- 保存条件:
Store as concentrated solution. Centrifuge briefly prior to opening vial. For short-term storage (1-2 weeks), store at 4ºC. For long-term storage, aliquot and store at -20ºC or below. Avoid multiple freeze-thaw cycles.
- 克隆性:
Polyclonal
- 标记物:
Unconjugated
- 适应物种:
Human
- 保质期:
12 months from the shipping date of the product.
- 抗原来源:
Human
- 目录编号:
GTX81020
- 级别:
Primary Antibodies
- 库存:
Available
- 供应商:
GeneTex
- 宿主:
Rabbit
- 应用范围:
WB, IHC-P, FACS
- 浓度:
Batch dependent (Please refer to the vial label for the specific concentration.)
- 靶点:
IL12A / IL12 p35
- 抗体英文名:
IL12A / IL12 p35 antibody, C-term
- 抗体名:
IL12A / IL12 p35 抗体, C-term
- 规格:
400 μl
WB analysis of MDA-MB231 cell lysate (35ug/lane) using GTX81020 IL12A / IL12 p35 antibody, C-term.
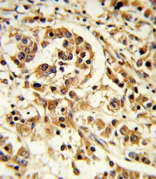
IHC-P analysis of human breast carcinoma using GTX81020 IL12A / IL12 p35 antibody, C-term.
FACS analysis of MDA-MB231 cells using GTX81020 IL12A / IL12 p35 antibody, C-term.
Top histogram : negative control
Bottom histogram : MDA-MB231 cells
风险提示:丁香通仅作为第三方平台,为商家信息发布提供平台空间。用户咨询产品时请注意保护个人信息及财产安全,合理判断,谨慎选购商品,商家和用户对交易行为负责。对于医疗器械类产品,请先查证核实企业经营资质和医疗器械产品注册证情况。
文献和实验与连接于固相载体上的抗体结合,然后加入生物素化的 IL12A 抗体,将未结合的生物素化抗体洗净后,加入 HRP 标记的亲和素,再次彻底洗涤后加入 TMB 底物显色。TMB 在过氧化物酶的催化下转化成蓝色,并在酸的作用下转化成最终的黄色。颜色的深浅和样品中的 IL12A 呈正相关。用酶标仪在 450nm 波长下测定吸光度 (O.D. 值),计算样品浓度。典型数据为了便于计算,尽管浓度为自变量而 O.D. 值为因变量,我们绘图时仍采用标准品的 O.D. 值作为横坐标 (X 轴),标准品的浓度为纵坐标
1, CALM2, CALM3, CAMK2B, CAMK4, CNR1, ITK, MAP2K7, NCK2, PAK1, PPIA, PPP3CB, PPP3CC, PPP3R1, TRPV6, VAV1, VAV2, VAV3. Ligands: CCL2, CSF2, CSF3, IFNA1, IFNB1, IFNG, IL1A, IL1B, IL2, IL3, IL4, IL6, IL8, IL10, IL12A, IL12B, IL13, IRF1, LTA, TGFB1, TNF
【资源】全面归类网址:毕赤酵母表达各种来源蛋白(细菌,真菌,植物,人类等)
europaea (olive tree) aeroallergen Ole e 1S, 60 mg/L, α-MF[115, 334, 391]Olea europaea 1,3-β-glucanase Ole e 9 C-term.seg.S, 100 mg/L, α-MF, active486Oleaceae sp. (lilac and privet) pollen allergensS, 30 mg/L, reactive481Pepper endo-b-1,4-glucanase cCel1S
技术资料暂无技术资料 索取技术资料






![Chromogranin A antibody [LK2H10] (ready-to-use)](https://img1.dxycdn.com/2022/0328/650/2939709147044500453-14.jpg!wh200)




