相关产品推荐更多 >
万千商家帮你免费找货
0 人在求购买到急需产品
- 详细信息
- 文献和实验
- 技术资料
- 免疫原:
Carrier-protein conjugated synthetic peptide surrounding phospho Thr181 of human Tau. The exact sequence is proprietary.
- 亚型:
IgG
- 形态:
Liquid
- 保存条件:
Store as concentrated solution. Centrifuge briefly prior to opening vial. For short-term storage (1-2 weeks), store at 4ºC. For long-term storage, aliquot and store at -20ºC or below. Avoid multiple freeze-thaw cycles.
- 克隆性:
Monoclonal
- 标记物:
Unconjugated
- 保质期:
12 months from the shipping date of the product.
- 抗原来源:
Human
- 目录编号:
GTX638856
- 级别:
Primary Antibodies
- 库存:
Available
- 供应商:
GeneTex
- 宿主:
Rabbit
- 应用范围:
WB, IHC-P, ELISA, Sandwich ELISA
- 浓度:
1 mg/ml (Please refer to the vial label for the specific concentration.)
- 抗体英文名:
Tau (phospho Thr181) antibody [HL2498]
- 抗体名:
Tau (phospho Thr181) 抗体 [HL2498]
- 规格:
100 μl/25 μl
| 规格: | 100 μl | 产品价格: | ¥4000.0 |
|---|---|---|---|
| 规格: | 25 μl | 产品价格: | ¥1700.0 |
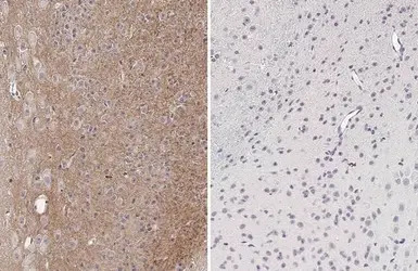
Tau (phospho Thr181) antibody [HL2498] detects Tau (phospho Thr181) protein at cytoplasm by immunohistochemical analysis in the presence of control peptide (left) or antigen-specific peptide (right).
Sample: Paraffin-embedded mouse brain.
Tau (phospho Thr181) stained by Tau (phospho Thr181) antibody [HL2498] (GTX638856) diluted at 1:100.
Antigen Retrieval: Citrate buffer, pH 6.0, 15 min
Untreated (–) and treated (+) SK-N-SH whole cell extracts (30 μg) were separated by 7.5% SDS-PAGE, and the membrane was blotted with Tau (phospho Thr181) antibody [HL2498] (GTX638856) diluted at 1:1000. The HRP-conjugated anti-rabbit IgG antibody (GTX213110-01) was used to detect the primary antibody.
Untreated (–) and treated (+) Mouse tissue extract (50 μg) were separated by 7.5% SDS-PAGE, and the membrane was blotted with Tau (phospho Thr181) antibody [HL2498] (GTX638856) diluted at 1:1000. The HRP-conjugated anti-rabbit IgG antibody (GTX213110-01) was used to detect the primary antibody.
Sandwich ELISA detection of Tau peptide and Tau (phospho Thr181) peptide using antibodies as below.
Capture: Tau (phospho Thr181) antibody [HL2497] (GTX638855) (5 μg/mL)
Detection: HRP-conjugated Tau (phospho Thr181) antibody [HL2498] (GTX638856) (1 μg/mL)
Please notice that GTX638856 needs to be conjugated to HRP to function as the detection antibody when paired with GTX638855. Please contact us for custom HRP-conjugated antibody.
Sandwich ELISA detection of Tau peptide and Tau (phospho Thr181) peptide using antibodies as below.
Capture: Tau (phospho Thr181) antibody [HL2498] (GTX638856) (5 μg/mL)
Detection: HRP-conjugated Tau (phospho Thr181) antibody [HL2497] (GTX638855) (1 μg/mL)
Please notice that GTX638855 needs to be conjugated to HRP to function as the detection antibody when paired with GTX638856. Please contact us for custom HRP-conjugated antibody.
风险提示:丁香通仅作为第三方平台,为商家信息发布提供平台空间。用户咨询产品时请注意保护个人信息及财产安全,合理判断,谨慎选购商品,商家和用户对交易行为负责。对于医疗器械类产品,请先查证核实企业经营资质和医疗器械产品注册证情况。
文献和实验Using Phospho‐Motif Antibodies to Determine Kinase Substrates
comprising both the phosphorylated residue and the surrounding residues that determine kinase specificity, with degenerate residues taking up the remaining positions. Currently, several categories of phospho?motif antibody are commercially available
运用Cell Based Elisa检测信号通路蛋白和磷酸化蛋白
using Phospho-p38 antibody (A) and Total-p38 antibody (B). Cell Based Elisa were performed directly in the 96-well plates using Phospho-p38 and Total-p38 antibodies (C). Figure 3: JNK detection with FACECells were serum-starved for 16 hours
9921 Phospho-PKC Antibody Sampler Kit 9375 Phospho-PKCalpha/beta II (Thr638/641) Antibody W IP 9374 Phospho-PKCdelta (Thr505) Antibody W IHC 9376 Phospho-PKCdelta/theta (Ser643/676) Antibody W IHC 9377 Phospho-PKCtheta (Thr538
技术资料暂无技术资料 索取技术资料





![GRHPR antibody [4H2]](https://img1.dxycdn.com/2022/0328/236/3466233616648500453-14.jpg!wh200)


![Alpha 1 Microglobulin antibody [11]](https://img1.dxycdn.com/2022/0328/922/7958512647697700453-14.png!wh200)


