相关产品推荐更多 >
万千商家帮你免费找货
0 人在求购买到急需产品
- 详细信息
- 文献和实验
- 技术资料
- 免疫原:
Synthetic 16 amino acid peptide from 3rd cytoplasmic domain of human TAAR6.
- 亚型:
IgG
- 形态:
Liquid
- 保存条件:
Store as concentrated solution. Centrifuge briefly prior to opening vial. For short-term storage (1-2 weeks), store at 4ºC. For long-term storage, aliquot and store at -20ºC or below. Avoid multiple freeze-thaw cycles.
- 克隆性:
Polyclonal
- 标记物:
Unconjugated
- 适应物种:
Human
- 保质期:
12 months from the shipping date of the product.
- 抗原来源:
Human
- 目录编号:
GTX70803
- 级别:
Primary Antibodies
- 库存:
Available
- 供应商:
GeneTex
- 宿主:
Rabbit
- 应用范围:
IHC-P
- 浓度:
1 mg/ml (Please refer to the vial label for the specific concentration.)
- 靶点:
Trace Amine receptor 4
- 抗体英文名:
Trace Amine receptor 4 antibody
- 抗体名:
Trace Amine receptor 4 抗体
- 规格:
25 μg
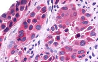
IHC-P analysis of human ovary, carcinoma tissue using GTX70803 Trace Amine receptor 4 antibody.
Antigen retrieval : Heat-induced antigen retrieval
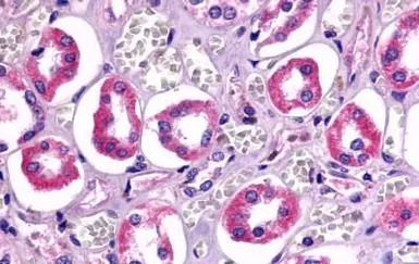
IHC-P analysis of human kidney, renal tubules tissue using GTX70803 Trace Amine receptor 4 antibody.
Antigen retrieval : Heat-induced antigen retrieval
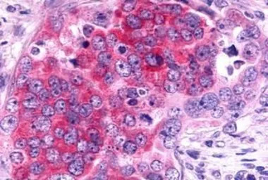
IHC-P analysis of human skin, melanoma tissue using GTX70803 Trace Amine receptor 4 antibody.
Antigen retrieval : Heat-induced antigen retrieval
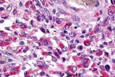
IHC-P analysis of human brain, glioblastoma tissue using GTX70803 Trace Amine receptor 4 antibody.
Antigen retrieval : Heat-induced antigen retrieval
风险提示:丁香通仅作为第三方平台,为商家信息发布提供平台空间。用户咨询产品时请注意保护个人信息及财产安全,合理判断,谨慎选购商品,商家和用户对交易行为负责。对于医疗器械类产品,请先查证核实企业经营资质和医疗器械产品注册证情况。
文献和实验BRET Approaches to Characterize Dopamine and TAAR1 Receptor Pharmacology and Signaling
It is evident that G protein-coupled receptors (GPCRs) such as D2 dopamine receptor and functionally related Trace Amine Associated Receptor 1 (TAAR1) can engage both in G protein-dependent (e.g., cAMP-mediated) and -independent β-arrestin
.7. Wang, X. et al. 2011. Study of two G-protein coupled receptor variants of human trace amine-associated receptor 5. Sci Rep1: 102 (DOI:10.1038/srep00102).8. Wang, X. and Zhang, S. 2011. Production of a bioengineered G-protein coupled receptor of human
缩写 全称 中文 AA autoantibody 自身抗体 AAF aminoacetylfluorescence 氨乙酰基荧光 Ab antibody 抗体 ABC avidin-biotin peroxidase complex 抗生物素(亲合素)-生物素-过氧化物酶复合物 ACh acetycholine 乙酰胆碱 AChR acetycholine receptor 乙酰胆碱受体 AChRAb acetycholine
技术资料暂无技术资料 索取技术资料









![nm23-H1 antibody [N1C3]](https://img1.dxycdn.com/2022/0328/976/7911363766259200453-14.jpg!wh200)

