相关产品推荐更多 >
万千商家帮你免费找货
0 人在求购买到急需产品
- 详细信息
- 文献和实验
- 技术资料
- 免疫原:
Recombinant protein of human EPO
- 亚型:
IgG
- 形态:
Liquid
- 保存条件:
Store as concentrated solution. Centrifuge briefly prior to opening vial. For short-term storage (1-2 weeks), store at 4ºC. For long-term storage, aliquot and store at -20ºC or below. Avoid multiple freeze-thaw cycles.
- 克隆性:
Monoclonal
- 标记物:
Unconjugated
- 适应物种:
Human, Cat, Dog
- 保质期:
12 months from the shipping date of the product.
- 抗原来源:
Human
- 目录编号:
GTX637446
- 级别:
Primary Antibodies
- 库存:
Available
- 供应商:
GeneTex
- 宿主:
Rabbit
- 应用范围:
WB, IHC-P, ELISA, Sandwich ELISA
- 浓度:
1 mg/ml (Please refer to the vial label for the specific concentration.)
- 靶点:
EPO
- 抗体英文名:
EPO antibody [HL1794]
- 抗体名:
EPO 抗体 [HL1794]
- 规格:
100 μl/25 μl
| 规格: | 100 μl | 产品价格: | ¥4000.0 |
|---|---|---|---|
| 规格: | 25 μl | 产品价格: | ¥1700.0 |
Escherichia coli expressed recombinant human EPO protein were separated by 12% SDS-PAGE, and the membrane was blotted with EPO antibody [HL1794] (GTX637446) diluted at 1:50000. The HRP-conjugated anti-rabbit IgG antibody (GTX213110-01) was used to detect the primary antibody, and the signal was developed with Trident ECL plus-Enhanced.
Indirect ELISA analysis was performed by coating the plate with recombinant E.coli expressed, full-length human EPO protein, His and GST tag (active) (GTX00422-pro) (500-7.81 ng/mL). Coated protein was probed with EPO antibody [HL1794] (GTX637446) (1 μg/mL). Goat anti-rabbit IgG antibody (HRP) (GTX213110-01) (1:10000) was used to detect the bound primary antibody.
Recombinant human EPO protein (CHO cells expressed) was separated by 12% SDS-PAGE, and the membrane was blotted with EPO antibody [HL1794] (GTX637446) diluted at 1:20000. The HRP-conjugated anti-rabbit IgG antibody (GTX213110-01) was used to detect the primary antibody.
HepG2 whole cell extract and conditioned medium (30 μg) were separated by 12% SDS-PAGE, and the membrane was blotted with EPO antibody [HL1794] (GTX637446) diluted at 1:2000. The HRP-conjugated anti-rabbit IgG antibody (GTX213110-01) was used to detect the primary antibody.
Indirect ELISA analysis was performed by coating the plate with recombinant CHO cells expressed, full-length human EPO protein (500-7.81 ng/mL). Coated protein was probed with EPO antibody [HL1794] (GTX637446) (1 μg/mL). Goat anti-rabbit IgG antibody (HRP) (GTX213110-01) (1:10000) was used to detect the bound primary antibody.
Sandwich ELISA detection of recombinant CHO cells expressed, full-length human EPO protein using antibodies as below.
Capture: EPO antibody [HL1794] (GTX637446) (5 μg/mL)
Detection: HRP-conjugated EPO antibody [HL1793] (GTX637445) (1 μg/mL)
Please notice that GTX637445 needs to be conjugated to HRP to function as the detection antibody when paired with GTX637446. Please contact us for custom HRP-conjugated antibody.
Sandwich ELISA detection of recombinant CHO cells expressed, full-length human EPO protein using antibodies as below.
Capture: EPO antibody [HL1793] (GTX637445) (5 μg/mL)
Detection: HRP-conjugated EPO antibody [HL1794] (GTX637446) (1 μg/mL)
Please notice that GTX637446 needs to be conjugated to HRP to function as the detection antibody when paired with GTX637445. Please contact us for custom HRP-conjugated antibody.
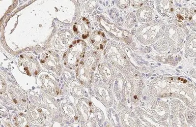
EPO antibody [HL1794] detects secreted EPO protein by immunohistochemical analysis.
Sample: Paraffin-embedded cat kidney.
EPO stained by EPO antibody [HL1794] (GTX637446) diluted at 1:100.
Antigen Retrieval: Citrate buffer, pH 6.0, 15 min
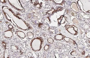
EPO antibody [HL1794] detects secreted EPO protein by immunohistochemical analysis.
Sample: Paraffin-embedded dog kidney.
EPO stained by EPO antibody [HL1794] (GTX637446) diluted at 1:100.
Antigen Retrieval: Citrate buffer, pH 6.0, 15 min
风险提示:丁香通仅作为第三方平台,为商家信息发布提供平台空间。用户咨询产品时请注意保护个人信息及财产安全,合理判断,谨慎选购商品,商家和用户对交易行为负责。对于医疗器械类产品,请先查证核实企业经营资质和医疗器械产品注册证情况。
文献和实验人促红细胞生成素 (EPO)ELISA 试剂盒 ( 用于血清、血浆、细胞培养上清液和其它生物体液内 ) 原理 本实验采用双抗体夹心 ABC-ELISA 法。用抗人 EPO 单抗包被于酶标板上,标准品和样品中的 EPO与单抗结合,加入生物素化的抗人 EPO ,形成免疫复合物连接在板上,辣根
上海西唐生物科技有限公司 021-55229872, 65333639 www.westang.com 大鼠促红细胞生成素 (EPO)ELISA 试剂盒 ( 用于血清、血浆、细胞培养上清液和其它生物体液内 ) 原理 本实验采用双抗体夹心 ABC-ELISA 法。用抗大鼠 EPO 单抗包被于酶标板上,标准品和样品中的 EPO 与单抗结合,加入生物素化的抗大鼠 EPO ,形成免疫复合物连接在板上,辣根
上海西唐生物科技有限公司 021-55229872, 65333639 www.westang.com 大鼠血小板生成素受体 (EPO R)ELISA 试剂盒 ( 用于血清、血浆、细胞培养上清液和其它生物体液内 ) 原理 本实验采用双抗体夹心 ABC-ELISA 法。用抗大鼠 EPO R 单抗包被于酶标板上,标准品和样品中的 EPO R 与单抗结合,加入生物素化的抗大鼠 EPO R ,形成免疫
技术资料暂无技术资料 索取技术资料









![MITF antibody [34CA5]](https://img1.dxycdn.com/2022/0328/997/7917115815097700453-14.jpg!wh200)
