相关产品推荐更多 >
万千商家帮你免费找货
0 人在求购买到急需产品
- 详细信息
- 文献和实验
- 技术资料
- 免疫原:
Prokaryotic recombinant protein corresponding to the external domain of the CD16 molecule, common to both the transmembrane form and the GPI-linked form.
- 亚型:
IgG2a
- 形态:
Liquid
- 保存条件:
Store as concentrated solution. Centrifuge briefly prior to opening vial. Store at 4ºC. DO NOT FREEZE.
- 克隆性:
Monoclonal
- 标记物:
Unconjugated
- 适应物种:
Human
- 保质期:
12 months from the shipping date of the product.
- 抗原来源:
Human
- 目录编号:
GTX75391
- 级别:
Primary Antibodies
- 库存:
Available
- 供应商:
GeneTex
- 宿主:
Mouse
- 应用范围:
IHC-P
- 浓度:
>18 μg/ml (Please refer to the vial label for the specific concentration.)
- 靶点:
CD16
- 抗体英文名:
CD16 antibody [2H7]
- 抗体名:
CD16 抗体 [2H7]
- 规格:
500 μl
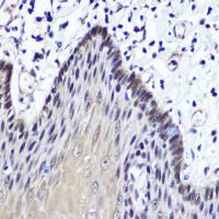
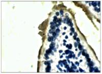
IHC-P analysis of human colon, ulcerative colitis tissue using GTX75391 CD16 antibody [2H7]. Note intense membrane staining of infiltrating natural killer cells, granulocytes and activated macrophages.
风险提示:丁香通仅作为第三方平台,为商家信息发布提供平台空间。用户咨询产品时请注意保护个人信息及财产安全,合理判断,谨慎选购商品,商家和用户对交易行为负责。对于医疗器械类产品,请先查证核实企业经营资质和医疗器械产品注册证情况。
文献和实验HIV-1-Specific Antibody-Dependent Cellular Cytotoxicity (ADCC)
-1-infected cells thereby decreasing viral load (1 –5 ) . The effector cells for ADCC are natural killer (NK) cells, that mediate lysis in a non-MHC restricted fashion. NK cells expressing CD16+ low affinity Fc-receptors bind to antibody which specifically
Methods for Measuring Antibody-Dependent Cell-Mediated Cytotoxicity In Vitro
Antibody-dependent cell-mediated cytotoxicity (ADCC) is a relevant characteristic to measure for a number of therapeutic monoclonal antibodies (mAbs) under development. ADCC is a mechanism by which antibody-opsonized, infected, or cancerous
到的细胞类型表达FcR,同时反应抗体含有Fc段,都应该考虑进行Fc 阻断,来确保实验的特异性,减少非特异的产生。 那么,具体哪些细胞类型需要做Fc阻断? 首先,按FcR所结合的Ig种类不同可将其分为五类,即IgG(FcγR)、IgE(FcεR)、IgA(FcαR)、IgM(FcμR)和IgD(FcδR)。 IgG类型抗体的Fc受体是FcγR,依据和Fc片段亲和力的强弱,FcγR又可以被分为三个亚家族:FcγRI(CD64)、FcγRII(CD32)和FcγRIII(CD16)以及进一步还可以分为不同
技术资料暂无技术资料 索取技术资料






![TLE4 antibody [C1C3]](https://img1.dxycdn.com/2022/0328/852/9424867704790300453-14.jpg!wh200)
![DKK3 antibody [4G7]](https://img1.dxycdn.com/2022/0328/399/4295124778867500453-14.jpg!wh200)
![NF-H antibody [NEFL.H/2324R]](https://img1.dxycdn.com/2022/0328/605/4203482868259700453-14.jpg!wh200)

