相关产品推荐更多 >
万千商家帮你免费找货
0 人在求购买到急需产品
- 详细信息
- 文献和实验
- 技术资料
- 免疫原:
Recombinant fusion protein containing a sequence corresponding to amino acids 128-427 of human FLOT1 (NP_005794.1).
- 亚型:
IgG
- 形态:
Liquid
- 保存条件:
Store as concentrated solution. Centrifuge briefly prior to opening vial. For short-term storage (1-2 weeks), store at 4ºC. For long-term storage, aliquot and store at -20ºC or below. Avoid multiple freeze-thaw cycles.
- 克隆性:
Polyclonal
- 标记物:
Unconjugated
- 适应物种:
Human, Mouse, Rat
- 保质期:
12 months from the shipping date of the product.
- 抗原来源:
Human
- 目录编号:
GTX54027
- 级别:
Primary Antibodies
- 库存:
Available
- 供应商:
GeneTex
- 宿主:
Rabbit
- 应用范围:
WB, ICC/IF, IHC-P, IP
- 浓度:
Batch dependent (Please refer to the vial label for the specific concentration.)
- 靶点:
Flotillin 1
- 抗体英文名:
Flotillin 1 antibody
- 抗体名:
Flotillin 1 抗体
- 规格:
100 μl
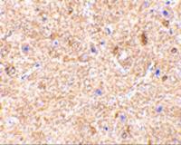
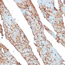
IHC-P analysis of rat heart tissue using GTX54027 Flotillin 1 antibody.
Dilution : 1:100
WB analysis of various sample lysates using GTX54027 Flotillin 1 antibody.
Dilution : 1:1000
Loading : 25μg per lane
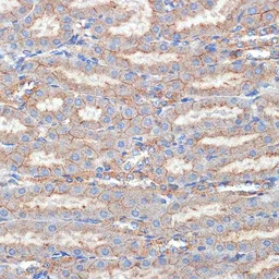
IHC-P analysis of mouse kidney tissue using GTX54027 Flotillin 1 antibody.
Dilution : 1:100
IP analysis of HeLa cell lysate using GTX54027 Flotillin 1 antibody.
Antibody amount : 3μg / 300μg lysate
Dilution : 1:1000
ICC/IF analysis of U2OS cells using GTX54027 Flotillin 1 antibody.
Blue : DAPI
风险提示:丁香通仅作为第三方平台,为商家信息发布提供平台空间。用户咨询产品时请注意保护个人信息及财产安全,合理判断,谨慎选购商品,商家和用户对交易行为负责。对于医疗器械类产品,请先查证核实企业经营资质和医疗器械产品注册证情况。
文献和实验Mapping of Protein Transduction Pathways with Fluorescent Microscopy
toxin (ambiguous marker for clathrin-, caveolin-, and flotillin-mediated, but also clathrin- and caveolin-independent endocytosis) to determine the role of the respective pathways during entry to cells, and to different intracellular targets
6.11 上海科技大学PNAS发现一种毒副作用较低、癌细胞清除彻底的新方法
途径,甚至可以用来对抗其它癌症。原文检索:Agonist antibody that induces human malignant cells to kill one another②双胞胎也能应用NIPT来筛查唐氏综合征对于单胎妊娠而言,无创产前检测技术(NIPT)能够有效地筛查21、18和13三体等疾病。不过,这种技术是否适用于双胎妊娠?最近的一项研究表明,对母体血液中的游离DNA进行分析,能够同样有效地筛查双胞胎的唐氏综合征(21三体)。伦敦国王学院医院Kypros Nicolaides领导的研究团队收集
技术资料暂无技术资料 索取技术资料






![CD8 alpha antibody [MSVA-008R] HistoMAX](https://custom.dxycdn.com/trademd/upload/pic/2013/11/12/A1383891150.jpg!small.t.1)
![Lamin A + C antibody [mab636]](https://img1.dxycdn.com/2023/0605/800/0698008456860755661-14.jpg!wh200)


