相关产品推荐更多 >
万千商家帮你免费找货
0 人在求购买到急需产品
- 详细信息
- 文献和实验
- 技术资料
- 免疫原:
A recombinant fragment (around aa 19-188) of human CD137 protein
- 亚型:
IgG2a
- 形态:
Liquid
- 保存条件:
Store as concentrated solution. Centrifuge briefly prior to opening vial. Store at 4ºC.
- 克隆性:
Monoclonal
- 标记物:
Unconjugated
- 适应物种:
Human
- 保质期:
12 months from the shipping date of the product.
- 抗原来源:
Human
- 目录编号:
GTX02726
- 级别:
Primary Antibodies
- 库存:
Available
- 供应商:
GeneTex
- 宿主:
Mouse
- 应用范围:
IHC-P
- 浓度:
200 μg/ml (Please refer to the vial label for the specific concentration.)
- 靶点:
CD137
- 抗体英文名:
CD137 antibody [r4-1BB/4603]
- 抗体名:
CD137 抗体 [r4-1BB/4603]
- 规格:
100 μg
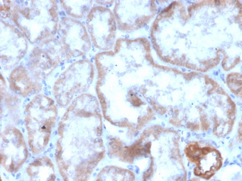
IHC-P analysis of human kidney tissue section using GTX02726 CD137 antibody [r4-1BB/4603].
风险提示:丁香通仅作为第三方平台,为商家信息发布提供平台空间。用户咨询产品时请注意保护个人信息及财产安全,合理判断,谨慎选购商品,商家和用户对交易行为负责。对于医疗器械类产品,请先查证核实企业经营资质和医疗器械产品注册证情况。
文献和实验人可溶性CD137 (4-1BB)ELISA 试剂盒 ( 用于血清、血浆、细胞培养上清液和其它生物体液内 ) 原理 本实验采用双抗体夹心 ABC-ELISA 法。用抗人 CD137/4-1BB/TNFRSF9 单抗包被于酶标板上,标准品和样品中的 4-1BB与单抗结合,加入生物素化的抗人 4-1BB ,形成免疫复合物连接在板上,辣根过氧化物酶标记的 Streptavidin 与生物素结合,加入
AntibodyCytokine Fusion Proteins with Members of the TNF-Family
. Here we describe the generation and characterization of two of these antibody–cytokine fusion proteins composed of a tumor specific scFv and the extracellular domain of CD95L (scFv-CD95L) or CD137L (scFv-CD137L), respectively. Protocols are indicated for cloning, expression
人sCD137配体(sCD137 Ligand)ELISA试剂盒 说明书
上海西唐生物科技有限公司 021-55229872, 65333639 www.westang.com 人s CD137 配体 (sCD 137 Ligand)ELISA 试剂盒 ( 用于血清、血浆、细胞培养上清液和其它生物体液内 ) 原理 本实验采用双抗体夹心 ABC-ELISA 法。用抗人 sCD137 Ligand 单抗包被于酶标板上,标准品和样品中的 sCD137
技术资料暂无技术资料 索取技术资料





![Splunc2 antibody [1F12]](https://img1.dxycdn.com/2022/0328/745/2071730365423500453-14.jpg!wh200)

![REG III alpha antibody [C1C3]](https://img1.dxycdn.com/2022/0328/073/0980985406427200453-14.jpg!wh200)
![SLC27A2 antibody [6B3A9]](https://img1.dxycdn.com/2022/0328/882/9943041501443500453-14.jpg!wh200)


