相关产品推荐更多 >
万千商家帮你免费找货
0 人在求购买到急需产品
- 详细信息
- 技术资料
- 免疫原:
Full length human recombinant protein of human CBWD1 (NP_060961) produced in HEK293T cell.
- 亚型:
IgG2b
- 形态:
Liquid
- 保存条件:
Store as concentrated solution. Centrifuge briefly prior to opening vial. For short-term storage (1-2 weeks), store at 4ºC. For long-term storage, aliquot and store at -20ºC or below. Avoid multiple freeze-thaw cycles.
- 克隆性:
Monoclonal
- 标记物:
Unconjugated
- 适应物种:
Human, Rat, Dog, Monkey
- 保质期:
12 months from the shipping date of the product.
- 抗原来源:
Human
- 目录编号:
GTX84728
- 级别:
Primary Antibodies
- 库存:
Available
- 供应商:
GeneTex
- 宿主:
Mouse
- 应用范围:
WB, IHC-P, FACS
- 浓度:
0.6 mg/ml (Please refer to the vial label for the specific concentration.)
- 靶点:
CBWD1
- 抗体英文名:
CBWD1 antibody [4E8]
- 抗体名:
CBWD1 抗体 [4E8]
- 规格:
100 μl
FACS analysis of Jurkat cells using GTX84728 CBWD1 antibody [4E8].
Red : Primary antibody
Blue : Negative control antibody
WB analysis of various cell lines using GTX84728 CBWD1 antibody [4E8].
Loading : 35 ug per lane
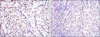
IHC-P analysis of human lymph node tissue using GTX84728 CBWD1 antibody [4E8].
WB analysis of HEK293T cells transfected with CBWD1 plasmid (Right) or empty vector (Left) for 48 hrs using GTX84728 CBWD1 antibody [4E8].
Loading : 5 ug per lane
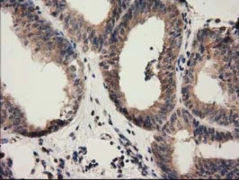
IHC-P analysis of human endometrium adenocarcinoma tissue using GTX84728 CBWD1 antibody [4E8].
FACS analysis of HEK293T cells transfected with either CBWD1 plasmid(Red) or empty vector control plasmid(Blue) using GTX84728 CBWD1 antibody [4E8].
FACS analysis of HeLa cells using GTX84728 CBWD1 antibody [4E8].
Red : Primary antibody
Blue : Negative control antibody
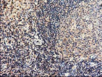
IHC-P analysis of human bladder carcinoma tissue using GTX84728 CBWD1 antibody [4E8].
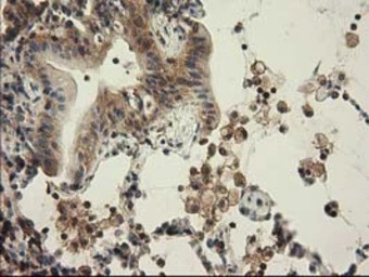
IHC-P analysis of human lung carcinoma tissue using GTX84728 CBWD1 antibody [4E8].
风险提示:丁香通仅作为第三方平台,为商家信息发布提供平台空间。用户咨询产品时请注意保护个人信息及财产安全,合理判断,谨慎选购商品,商家和用户对交易行为负责。对于医疗器械类产品,请先查证核实企业经营资质和医疗器械产品注册证情况。
技术资料暂无技术资料 索取技术资料


![CBWD1 antibody [4E8]](https://img1.dxycdn.com/2022/0328/267/3761126335478500453-14.jpg)


![CREB antibody [5G3]](https://img1.dxycdn.com/2022/0328/702/9681635607192500453-14.jpg!wh200)

![CA19-9 antibody [GT8510]](https://img1.dxycdn.com/2022/0329/437/5821124007178020453-14.jpg!wh200)

![Pumilio 1 antibody [C2C3], C-term](https://img1.dxycdn.com/2022/0328/629/7641559287501300453-14.jpg!wh200)
