相关产品推荐更多 >
万千商家帮你免费找货
0 人在求购买到急需产品
- 详细信息
- 询价记录
- 文献和实验
- 技术资料
- 免疫原:
Carrier-protein conjugated synthetic peptide encompassing a sequence within the C-terminus region of human beta Actin. The exact sequence is proprietary.
- 亚型:
IgG
- 形态:
Liquid
- 保存条件:
Store as concentrated solution. Centrifuge briefly prior to opening vial. For short-term storage (1-2 weeks), store at 4ºC. For long-term storage, aliquot and store at -20ºC or below. Avoid multiple freeze-thaw cycles.
- 克隆性:
Polyclonal
- 标记物:
Unconjugated
- 适应物种:
Human, Mouse, Rat, Yeast, Sheep, Drosophila, Cat, Dog, Hamster, Chicken, Pig, Monkey, Caenorhabditis elegans, Candida albicans, E. coli, Horse, Rice, Xenopus, Treeshrew, Plant, Worm
- 保质期:
12 months from the shipping date of the product.
- 抗原来源:
Human
- 目录编号:
GTX109639
- 级别:
Primary Antibodies
- 库存:
Available
- 供应商:
GeneTex
- 宿主:
Rabbit
- 应用范围:
WB, ICC/IF, IHC-P, IHC-Fr, IP
- 浓度:
1.4 mg/ml (Please refer to the vial label for the specific concentration.)
- 靶点:
IP/MS validation was supported by references (PMID:30377395)
- 抗体英文名:
beta Actin antibody
- 抗体名:
beta Actin 抗体
- 规格:
100 μl/25 μl
| 规格: | 100 μl | 产品价格: | ¥4000.0 |
|---|---|---|---|
| 规格: | 25 μl | 产品价格: | ¥1700.0 |
Sample (30 μg of whole cell lysate)
A: 293T
B: NTH-3T3
C: mouse brain
D: PC-12
E: Rat brain
F: drosophila
10% SDS PAGE
GTX109639 diluted at 1:10000
The HRP-conjugated anti-rabbit IgG antibody (GTX213110-01) was used to detect the primary antibody.
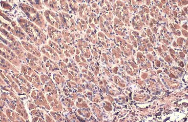
beta Actin antibody detects beta Actin protein at cell membrane and cytoplasm by immunohistochemical analysis.
Sample: Paraffin-embedded rat liver.
beta Actin stained by beta Actin antibody (GTX109639) diluted at 1:500.
Antigen Retrieval: Citrate buffer, pH 6.0, 15 min
Sample (30 μg of whole cell lysate)
A: Jurkat
B: Raji
C: 293T
D: A431
E: HeLa
F: HepG2
G: H1299
H: HCT116
I: MCF-7
J: NT2D1
K: PC-3
L: U87-MG
10% SDS PAGE
GTX109639 diluted at 1:10000
The HRP-conjugated anti-rabbit IgG antibody (GTX213110-01) was used to detect the primary antibody.
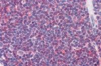
beta Actin antibody detects beta Actin protein at cytoplasm by immunohistochemical analysis.
Sample: Paraffin-embedded mouse stomach.
beta Actin stained by beta Actin antibody (GTX109639) diluted at 1:500.
Antigen Retrieval: Citrate buffer, pH 6.0, 15 min
beta Actin antibody detects beta Actin protein at cell membrane and cytoplasm by immunohistochemical analysis.
Sample: Paraffin-embedded mouse intestine.
beta Actin stained by beta Actin antibody (GTX109639) diluted at 1:500.
Antigen Retrieval: Citrate buffer, pH 6.0, 15 min
Sample (whole cell lysate)
A: Candida albicans (sc5314) 20ug
B: Candida albicans (sc5314) 40ug
10% SDS PAGE
GTX109639 diluted at 1:4000
The HRP-conjugated anti-rabbit IgG antibody (GTX213110-01) was used to detect the primary antibody.
beta Actin antibody detects ACTB protein by western blot analysis.
A. 30 μg PC-12 whole cell lysate/extract
B. 30 μg Rat-2 whole cell lysate/extract
10% SDS-PAGE
beta Actin antibody (GTX109639) dilution: 1:5000
The HRP-conjugated anti-rabbit IgG antibody (GTX213110-01) was used to detect the primary antibody.
Non-transfected (–) and transfected (+) 293T whole cell extracts (10 μg) were separated by 10% SDS-PAGE, and the membrane was blotted with beta Actin antibody (GTX109639) diluted at 1:15000. The HRP-conjugated anti-rabbit IgG antibody (GTX213110-01) was used to detect the primary antibody.
beta Actin antibody detects beta Actin protein at cytoskeleton by immunofluorescent analysis.
Sample: HeLa cells were fixed in ice-cold MeOH for 5 min.
Green: beta Actin stained by beta Actin antibody (GTX109639) diluted at 1:500.
Blue: Fluoroshield with DAPI (GTX30920).
Various whole cell extracts were separated by 10% SDS-PAGE, and the membrane was blotted with beta Actin antibody (GTX109639) diluted at 1:10000. The HRP-conjugated anti-rabbit IgG antibody (GTX213110-01) was used to detect the primary antibody.
风险提示:丁香通仅作为第三方平台,为商家信息发布提供平台空间。用户咨询产品时请注意保护个人信息及财产安全,合理判断,谨慎选购商品,商家和用户对交易行为负责。对于医疗器械类产品,请先查证核实企业经营资质和医疗器械产品注册证情况。
- 作者
- 内容
- 询问日期
文献和实验Su H et al., iScience 2023 (PMID:36968090)
Su YH et al., Oncotarget 2018 (PMID:29755667)
PL Hsu et al., Sci Adv 2023 (PMID:37043564)
Lai YH et al., FASEB J 2021 (PMID:33341997)
Kon T et al., Sci Rep 2023 (PMID:36806702)
Ito H et al., Sci Rep 2022 (PMID:36424497)
Hou CY et al., Int J Mol Sci 2022 (PMID:36292952)
Tsao CH et al., Front Med (Lausanne) 2022 (PMID:36237546)
Du M et al., Mol Psychiatry 2022 (PMID:35918398)
Hong SH et al., Genes (Basel) 2022 (PMID:35885994)
Doan LH et al., Front Pharmacol 2022 (PMID:35860023)
Xie T et al., Cardiovasc Ther 2022 (PMID:35812724)
Ren J et al., Acta Biochim Biophys Sin (Shanghai) 2022 (PMID:35130621)
Shen WC et al., Antioxidants (Basel) 2023 (PMID:36670987)
Hatori T et al., Mol Med Rep 2023 (PMID:36633137)
Jiang B et al., Mol Med Rep 2023 (PMID:36579660)
Hsueh YH et al., J Orthop Translat 2023 (PMID:36381245)
Ceja-Galicia ZA et al., Antioxidants (Basel) 2022 (PMID:36358567)
Liu L et al., Antioxidants (Basel) 2022 (PMID:36009179)
Chang YH et al., Sci Rep 2022 (PMID:35941273)
Wu SC et al., Nat Commun 2022 (PMID:35854007)
Lin YC et al., iScience 2023 (PMID:36876120)
Wu PR et al., Cell Death Dis 2023 (PMID:36681682)
Mat?a A et al., PLoS Pathog 2022 (PMID:36574441)
Zha Z et al., Oxid Med Cell Longev 2022 (PMID:36092158)
Akahori D et al., Int J Mol Sci 2022 (PMID:36012260)
Iori S et al., Toxins (Basel) 2022 (PMID:35878242)
Tien CF et al., iScience 2022 (PMID:35813875)
Tang YC et al., J Food Drug Anal 2021 (PMID:35649133)
Tsai CW et al., Neurotherapeutics 2022 (PMID:35229268)
Lin ZH et al., Int J Mol Sci 2022 (PMID:36614054)
Choi CHJ et al., Elife 2022 (PMID:36346018)
Stranieri C et al., Antioxidants (Basel) 2022 (PMID:36290778)
Fu J et al., Front Mol Neurosci 2022 (PMID:36157079)
Ngo NH et al., Front Cell Dev Biol 2022 (PMID:36120585)
Li F et al., Gut Microbes 2022 (PMID:35793266)
Lee WJ et al., J Food Drug Anal 2021 (PMID:35696218)
Ranferi Oca?a-Guzm?n et al., Cells 2022 (PMID:35626672)
Valeria Consoli et al., Int J Mol Sci 2022 (PMID:35628518)
Hsing-I Tseng et al., Mol Oncol 2022 (PMID:35298869)
Valeria Ciaffaglione et al., Molecules 2022 (PMID:35630697)
Wei-Chung Chiou et al., Nutrients 2022 (PMID:35684095)
Yu Fu et al., Evid Based Complement Alternat Med 2022 (PMID:35692570)
Peng-Hsiang Fang et al., Mol Med 2022 (PMID:35739477)
Hui-Fang Chang et al., RSC Adv 2018 (PMID:35547971)
Laurent Vergnes et al., J Biol Chem 2020 (PMID:32855239)
Enqing Zhuo et al., Oncol Lett 2020 (PMID:33193850)
Daisuke Torii et al., J Cell Physiol 2021 (PMID:33386632)
Kuo-Hao Ho et al., Neurotherapeutics 2021 (PMID:33410111)
Jenn-Haung Lai et al., iScience 2021 (PMID:34142025)
Yu-Jen Chiu et al., Oncol Rep 2021 (PMID:34013378)
Cuei-Jyuan Lin et al., Oncol Lett 2021 (PMID:34093772)
Yi-Chun Chao et al., Int J Mol Sci 2021 (PMID:34073318)
Yeu-Sheng Tyan et al., Biosci Rep 2021 (PMID:33974005)
Chi-Cheng Lu et al., Exp Ther Med 2021 (PMID:34131445)
Leandro M Velez et al., Elife 2022 (PMID:35416774)
Damian Ko?at et al., Cells 2022 (PMID:35563688)
Wan-Chen Kao et al., Oncol Lett 2022 (PMID:35572494)
Meiling Yan et al., Cell Death Discov 2022 (PMID:35538059)
Jia-Wei Chen et al., Front Cell Neurosci 2022 (PMID:35210991)
Yu-Tang Tung et al., Antioxidants (Basel) 2021 (PMID:35052549)
Xiaowei Song et al., Front Microbiol 2021 (PMID:35082770)
Shufeng Liu et al., J Virol 2022 (PMID:35080424)
Izabela Bary?a et al., Int J Mol Sci 2022 (PMID:35328751)
Yuan-Kun Tu et al., Curr Neurovasc Res 2021 (PMID:34645375)
Mariluz Soula et al., Nat Chem Biol 2020 (PMID:32778843)
Whitney E Heavner et al., Sci Signal 2021 (PMID:33947797)
Tianhao Shan et al., Front Microbiol 2021 (PMID:34354687)
Chun-Hsu Pan et al., Int J Mol Sci 2021 (PMID:34445528)
Wei-Chung Chiou et al., Front Pharmacol 2021 (PMID:34512347)
Chun-Min Hsu et al., Int J Mol Sci 2021 (PMID:34638975)
Shiau-Mei Chen et al., Biomolecules 2021 (PMID:34680107)
Caterina Franco et al., Int J Environ Res Public Health 2021 (PMID:34769857)
Yu-Tang Tung et al., Antioxidants (Basel) 2021 (PMID:34829565)
Chia-Jung Li et al., 2022 (PMID:34995407)
Hsu CW et al., Brain Sci 2021 (PMID:34942932)
Wang TH et al., Nat Commun 2022 (PMID:35264584)
Zhang Y et al., Biomed Pharmacother 2022 (PMID:35183007)
Le TT et al., Am J Cancer Res 2022 (PMID:35141012)
Li H et al., Cell Death Dis 2022 (PMID:35115487)
Matsuno Y et al., Biochem Biophys Res Commun 2022 (PMID:35066376)
Nonaka S et al., Neurochem Int 2022 (PMID:35032577)
Al Haq AT et al., Cell Death Dis 2022 (PMID:35017469)
Yamada A et al., J Reprod Dev 2022 (PMID:34980711)
Arciniega-Mart?nez IM et al., Mol Med Rep 2022 (PMID:34958108)
Xu J et al., Bioengineered 2021 (PMID:34895074)
Chen YA et al., Sci Rep 2021 (PMID:34789743)
Chen WT et al., J Biomed Sci
Anticardiolipin Antibody and Anti-beta 2 Glycoprotein I Antibody Assays
) antibodies and anti-beta 2 glycoprotein I (β2-GPI) antibodies. Other autoantibodies, such as those directed against anionic phospholipids, can also be assayed; however they are not of clinical significance. Participation in a quality assurance
beta actin is a type of cell skeleton protein.Its gene is a house keeping gene.In most of cells,beta actin,such as human skeleton,is expressed in a certain level.THat is the reason that people use beta-actin as the criteria of cell numbers
【求助】细胞里的beta catenin 好检测吗?? 用 western blot
antonio2001 细胞里的beta catenin 好检测吗?? 用 western blot 和免疫细胞化学 ?? 2008851029 细胞里的beta-actin非常好检测(我用的是ST的抗体) littlebee83325 什么细胞呢?胞浆蛋白么? magichunter beta catenin 好检测,细胞全蛋白裂解液上样20uL(15
技术资料暂无技术资料 索取技术资料







![Hepatocyte Specific Antigen antibody [MSVA-OCE5] HistoMAX](https://custom.dxycdn.com/trademd/upload/pic/2013/11/12/A1383891150.jpg!small.t.1)


