相关产品推荐更多 >
万千商家帮你免费找货
0 人在求购买到急需产品
- 详细信息
- 文献和实验
- 技术资料
- 免疫原:
Purified recombinant fragment of human PI3 kinase p85 alpha (AA: 159-388) expressed in E. Coli.
- 亚型:
IgG1
- 形态:
Liquid
- 保存条件:
Store as concentrated solution. Centrifuge briefly prior to opening vial. For short-term storage (1-2 weeks), store at 4ºC. For long-term storage, aliquot and store at -20ºC or below. Avoid multiple freeze-thaw cycles.
- 克隆性:
Monoclonal
- 标记物:
Unconjugated
- 适应物种:
Human, Mouse
- 保质期:
12 months from the shipping date of the product.
- 抗原来源:
Human
- 目录编号:
GTX60633
- 级别:
Primary Antibodies
- 库存:
Available
- 供应商:
GeneTex
- 宿主:
Mouse
- 应用范围:
WB, ICC/IF, IHC-P, FACS, ELISA
- 浓度:
1 mg/ml (Please refer to the vial label for the specific concentration.)
- 靶点:
PI3 kinase p85 alpha
- 抗体英文名:
PI3 kinase p85 alpha antibody [6G10]
- 抗体名:
PI3 kinase p85 alpha 抗体 [6G10]
- 规格:
100 μg
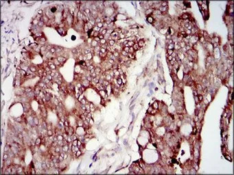
IHC-P analysis of rectum cancer tissue using GTX60633 PI3 kinase p85 alpha antibody [6G10].
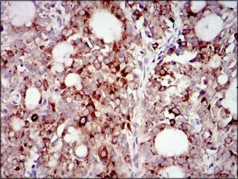
IHC-P analysis of cervical cancer tissue using GTX60633 PI3 kinase p85 alpha antibody [6G10].
ELISA analysis of antigen using GTX60633 PI3 kinase p85 alpha antibody [6G10].
Black : Control antigen 100ng
Purple : Antigen 10ng
Blue : Antigen 50ng
Red : Antigen 100ng
ICC/IF analysis of HepG2 cells using GTX60633 PI3 kinase p85 alpha antibody [6G10].
Green : PI3 kinase p85 alpha
Blue: DRAQ5 fluorescent DNA dye
Red: Actin filaments
FACS analysis of NIH3T3 cells using GTX60633 PI3 kinase p85 alpha antibody [6G10].
Green : PI3 kinase p85 alpha
Red : negative control
WB analysis of human PI3 kinase p85 alpha recombinant protein using GTX60633 PI3 kinase p85 alpha antibody [6G10].
ICC/IF analysis of HeLa cells using GTX60633 PI3 kinase p85 alpha antibody [6G10].
Green : PI3 kinase p85 alpha
Blue: DRAQ5 fluorescent DNA dye
Red: Actin filaments
风险提示:丁香通仅作为第三方平台,为商家信息发布提供平台空间。用户咨询产品时请注意保护个人信息及财产安全,合理判断,谨慎选购商品,商家和用户对交易行为负责。对于医疗器械类产品,请先查证核实企业经营资质和医疗器械产品注册证情况。
文献和实验Piva MBR et al., Cancers (Basel) 2017 (PMID:28926938)
PI3K ― Akt 信号通路PI3K是一个复杂的大家族,根据其结构可分为3类:I型、Ⅱ型、Ⅲ型。 I型PI3K又分为IA和IB两个亚型,他们分别从酪氨酸激酶连接受体和G蛋白连接受体传递信号,其作用是催化磷脂酰肌醇(P1)在D3位的磷酸化,把底物PIP2转化为PIP3。IA型P13K是由催化亚单位Pll0和调节亚单位P85所组成的二聚体蛋白,具有类脂激酶和蛋白激酶的双重活性。在正常细胞中,P13K的活性是受许多机制严格控制的。一般认为,在静息细胞中,无活性的P85―P1lo复合物普遍
的I型PI3K. 哺乳动物 细胞中Ι型PI3K又分为IA和IB两个亚型, 他们分别从酪氨酸激酶连接受体和G蛋白连接受体传递信号.IA 型PI3K是由催化亚单位p110和调节亚单位p85所组成的二聚体蛋白, 具有类脂激酶和蛋白激酶的双重活性.PI3K通过两种方式激活, 一种是与具有磷酸化酪氨酸残基的生长因子受体或连接蛋白相互作用, 引起二聚体构象改变而被激活; 另一种是通过Ras和p110直接结合导致PI3K的活化. PI3K激活的结果是在质膜上产生第二信使PIP3, PIP3与细胞内含有PH结构
-1000.htm 原理参见试剂盒说明书。 yys700714 谢谢,这个是测定活性的么?好做么?对样本要求如何?能否将您的体会详细告之。我是新手,不懂的好多。非常感谢!! yhwangcams 用这个试剂盒可以通过体外实验检测PI3-kinase的活性。 原理是首先利用免疫沉淀法得到PI3K复合物,然后用PI3K体外催化PIP2为PIP3,最后使用ELISA检测PIP3的水平,进而反映PI3-kinase的活性
技术资料暂无技术资料 索取技术资料






![c-Kit antibody [9D2]](https://img1.dxycdn.com/2022/0328/806/2831148850199400453-14.jpg!wh200)
![CD31 antibody [C31.10]](https://img1.dxycdn.com/2022/0328/637/8543868085099600453-14.jpg!wh200)


