相关产品推荐更多 >
万千商家帮你免费找货
0 人在求购买到急需产品
- 详细信息
- 文献和实验
- 技术资料
- 免疫原:
Carrier-protein conjugated synthetic peptide encompassing a sequence within the N-terminus region of human Bcl-2. The exact sequence is proprietary.
- 亚型:
IgG
- 形态:
Liquid
- 保存条件:
Store as concentrated solution. Centrifuge briefly prior to opening vial. For short-term storage (1-2 weeks), store at 4ºC. For long-term storage, aliquot and store at -20ºC or below. Avoid multiple freeze-thaw cycles.
- 克隆性:
Polyclonal
- 标记物:
Unconjugated
- 适应物种:
Human, Mouse, Rat, Zebrafish, Cat, Dog
- 保质期:
12 months from the shipping date of the product.
- 抗原来源:
Human
- 目录编号:
GTX100064
- 级别:
Primary Antibodies
- 库存:
Available
- 供应商:
GeneTex
- 宿主:
Rabbit
- 应用范围:
WB, ICC/IF, IHC-P
- 浓度:
0.2 mg/ml (Please refer to the vial label for the specific concentration.)
- 靶点:
Bcl-2
- 抗体英文名:
Bcl-2 antibody [N1N2], N-term
- 抗体名:
Bcl-2 抗体 [N1N2], N-term
- 规格:
100 μl/25 μl
| 规格: | 100 μl | 产品价格: | ¥4000.0 |
|---|---|---|---|
| 规格: | 25 μl | 产品价格: | ¥1700.0 |
Various whole cell extracts (30 μg) were separated by 12% SDS-PAGE, and the membrane was blotted with Bcl-2 antibody [N1N2], N-term (GTX100064) diluted at 1:500. The HRP-conjugated anti-rabbit IgG antibody (GTX213110-01) was used to detect the primary antibody.
Non-transfected (–) and transfected (+) 293T whole cell extracts (30 μg) were separated by 12% SDS-PAGE, and the membrane was blotted with Bcl-2 antibody [N1N2], N-term (GTX100064) diluted at 1:500. The HRP-conjugated anti-rabbit IgG antibody (GTX213110-01) was used to detect the primary antibody.
Rat tissue extract (50 μg) was separated by 12% SDS-PAGE, and the membrane was blotted with Bcl-2 antibody [N1N2], N-term (GTX100064) diluted at 1:1000. The HRP-conjugated anti-rabbit IgG antibody (GTX213110-01) was used to detect the primary antibody, and the signal was developed with Trident ECL plus-Enhanced.
Various whole cell extracts (30 μg) were separated by 12% SDS-PAGE, and the membrane was blotted with Bcl-2 antibody [N1N2], N-term (GTX100064) diluted at 1:500. The HRP-conjugated anti-rabbit IgG antibody (GTX213110-01) was used to detect the primary antibody. Corresponding RNA expression data for the same cell lines are based on Human Protein Atlas program.
Mouse tissue extract (50 μg) was separated by 12% SDS-PAGE, and the membrane was blotted with Bcl-2 antibody [N1N2], N-term (GTX100064) diluted at 1:1000. The HRP-conjugated anti-rabbit IgG antibody (GTX213110-01) was used to detect the primary antibody.
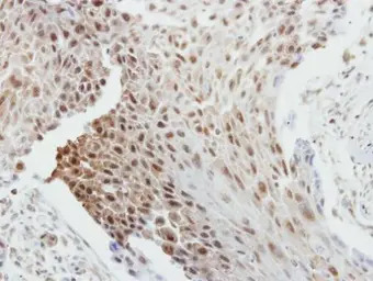
Bcl-2 antibody [N1N2], N-term detects Bcl-2 protein at cytoplasm in human squamous metaplasia of cervix by immunohistochemical analysis.
Sample: Paraffin-embedded human cervix.
Bcl-2 antibody [N1N2], N-term (GTX100064) diluted at 1:500.
Antigen Retrieval: Citrate buffer, pH 6.0, 15 min
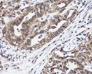
Immunohistochemical analysis of paraffin-embedded human breast cancer, using Bcl-2(GTX100064) antibody at 1:250 dilution.
Antigen Retrieval: Trilogy™ (EDTA based, pH 8.0) buffer, 15min
Bcl-2 antibody detects Bcl-2 protein at cytoplasm and nucleus by immunohistochemical analysis.
Sample: Paraffin-embedded dog skin.
Bcl-2 stained by Bcl-2 antibody (GTX100064) diluted at 1:500.
Antigen Retrieval: Citrate buffer, pH 6.0, 15 min
Whole cell extract (30 μg) was separated by 12% SDS-PAGE, and the membrane was blotted with Bcl-2 antibody (GTX100064) diluted at 1:1000. The HRP-conjugated anti-rabbit IgG antibody (GTX213110-01) was used to detect the primary antibody, and the signal was developed with Trident ECL plus-Enhanced.
PG-4 whole cell extract (30 μg) was separated by 12% SDS-PAGE, and the membrane was blotted with Bcl-2 antibody (GTX100064) diluted at 1:1000. The HRP-conjugated anti-rabbit IgG antibody (GTX213110-01) was used to detect the primary antibody, and the signal was developed with Trident ECL plus-Enhanced.
风险提示:丁香通仅作为第三方平台,为商家信息发布提供平台空间。用户咨询产品时请注意保护个人信息及财产安全,合理判断,谨慎选购商品,商家和用户对交易行为负责。对于医疗器械类产品,请先查证核实企业经营资质和医疗器械产品注册证情况。
文献和实验Wu DW et al., Oncogene 2013 (PMID:24096476)
Chen YW et al., Evid Based Complement Alternat Med 2013 (PMID:23573126)
Li CJ et al., Evid Based Complement Alternat Med 2012 (PMID:23091557)
Liu CH et al., J Ethnopharmacol 2011 (PMID:21708241)
CC Cho et al., ACS Chem Biol 2023 (PMID:37188336)
Kuo MY et al., Int J Mol Sci 2022 (PMID:36613579)
Zuo X et al., Oxid Med Cell Longev 2022 (PMID:36457727)
Li ZD et al., Cell Death Dis 2022 (PMID:36443285)
Chua HH et al., Cell Mol Gastroenterol Hepatol 2023 (PMID:36191855)
Tan L et al., J Transl Med 2022 (PMID:36514103)
Wang CH et al., J Am Heart Assoc 2022 (PMID:36314493)
Cao S et al., Front Pharmacol 2022 (PMID:36059980)
Zheng H et al., Cell Death Dis 2023 (PMID:36841833)
Shichao Li et al., Mol Neurobiol 2022 (PMID:35451738)
Meng-Hui Zhang et al., Bioengineered 2022 (PMID:35412944)
Zhen Tian et al., Cell Cycle 2021 (PMID:33910455)
Jianing Luo et al., Neurosci Bull 2021 (PMID:33111257)
Chiang-Wen Lee et al., Molecules 2022 (PMID:35056691)
Yuan-Kun Tu et al., Curr Neurovasc Res 2021 (PMID:34645375)
Yi-Chun Chao et al., Int J Mol Sci 2021 (PMID:34073318)
Shiau-Mei Chen et al., Biomolecules 2021 (PMID:34680107)
Hongzhi Hu et al., J Nanobiotechnology 2021 (PMID:34823543)
Yang C et al., Oncol Lett 2022 (PMID:35317026)
Yuan F et al., CNS Neurosci Ther 2022 (PMID:35212145)
Wang Y et al., Aging (Albany NY) 2020 (PMID:33099539)
Shehatta NH et al., Biomed Pharmacother 2021 (PMID:34968922)
Xu C et al., Oxid Med Cell Longev 2021 (PMID:34970414)
Lee CW et al., Molecules 2022;27(2)
Zuo Y et al., Oxid Med Cell Longev 2021 (PMID:34394837)
Tang J et al., Ecotoxicol Environ Saf 2021 (PMID:34303041)
Wu X et al., Chin Neurosurg J 2020 (PMID:32922930)
Du D. et al., Journal of Functional Foods 2021 84()
Lam HYP et al., PLoS Negl Trop Dis 2021 (PMID:34161342)
Zhang J et al., Mediators Inflamm 2021 (PMID:33958974)
Luo LF et al., Front Pharmacol 2021 (PMID:34108879)
Lam HYP et al., Biomolecules 2020 (PMID:32635653)
Wu YH et al., PLoS Pathog 2021 (PMID:33720996)
Li Y et al., Transl Lung Cancer Res 2021 (PMID:34012797)
Qi Y et al., Cancer Cell Int 2021 (PMID:33494783)
Huang SQ et al., World J Gastroenterol 2021 (PMID:33727772)
Jao TM et al., Cancer Lett 2021 (PMID:33271263)
Cui W et al., Cell Prolif 2021 (PMID:33314534)
Liu W et al., Oxid Med Cell Longev 2020 (PMID:32089770)
Wang J et al., Mol Neurobiol 2020 (PMID:33085047)
Wen Y et al., World J Gastroenterol 2020 (PMID:31933513)
Wu X et al., Cell Prolif 2020 (PMID:31922310)
Li M et al., Cancer Manag Res 2020 (PMID:33061608)
Zeng M et al., Cancer Manag Res 2020 (PMID:33061576)
Zaitone SA et al., Life Sci 2020 (PMID:32961236)
Jiao L et al., Cell Death Dis 2019 (PMID:31819041)
Huang YY et al., BMC Vet Res 2020 (PMID:32532319)
Lin CT et al., Elife 2020 (PMID:32589144)
Kuang Y et al., Mol Med Rep 2020 (PMID:32945364)
Chang YC et al., Front Cell Dev Biol 2020 (PMID:32695778)
Wu X et al., Neurosci Bull 2020 (PMID:32436179)
Huang WT et al., Front Pharmacol 2017 (PMID:29326587)
Lee S et al., CNS Neurosci Ther 2018 (PMID:29524300)
Chung YC et al., Eur J Clin Invest 2020 (PMID:32350854)
Chang JW et al., Cereb Cortex 2020 (PMID:32248223)
Luo C et al., Apoptosis 2020 (PMID:32100210)
Wang W et al., Hum Exp Toxicol 2020 (PMID:31971015)
Lu CC et al., Int J Oncol 2019 (PMID:30720062)
Wangta Liu et al., Oxidative Medicine and Cellular Longevity 2020 2020()
Kim SG et al., Korean J Physiol Pharmacol 2020 (PMID:31908576)
Yang K et al., Oncol Rep 2020 (PMID:32020210)
Gautam A et al., Front Immunol 2019 (PMID:31191534)
Yan L et al., Lab Invest 2019 (PMID:31558773)
Ding Y et al., Toxicology 2019 (PMID:31152848)
Kurniawan AL et al., Food Funct 2019 (PMID:31233037)
Wei GJ et al., AAPS J 2019 (PMID:31292765)
You BJ et al., Sci Rep 2019 (PMID:30824767)
Saat N et al., Biotech Histochem 2019 (PMID:31070494)
Li H et al., J Cell Physiol 2019 (PMID:31087336)
Wen Y et al., Oxid Med Cell Longev 2019 (PMID:31210840)
Dasgupta A et al., IUBMB Life 2019 (PMID:30977280)
Yuan F et al., Cancer Lett 2019 (PMID:30639532)
Batsaikhan B et al., Int J Mol Sci 2019 (PMID:30682785)
Yu H et al., Microcirculation 2019 (PMID:30801897)
Lee CW et al., J Cell Physiol 2018 (PMID:30549031)
Wang JP et al., Oncol Lett 2017 (PMID:28927105)
Si J et al., Toxicology 2018 (PMID:30321647)
Abdel-Daim MM et al., Sci Total Environ 2019 (PMID:30290348)
Wang TH et al., Int J Mol Sci 2018 (PMID:30201903)
Li J et al., Stem Cell Res Ther 2017 (PMID:28482861)
Lee CF et al., Biomedicine (Taipei) 2018 (PMID:30141402)
Jianghe Cui et al., Int J Clin Exp Med 2018;11(8)
Ho Y et al., Food Chem Toxicol 2018 (PMID:30026090)
Jui-Cheng Tsai et al., Journal of Functional Foods 2018 48()
Pengfei Deng et al., International Journal of Science 2018 5
In the field of therapeutic recombinant proteins, monoclonal antibodies (mAbs) have achieved a rising success with more than 30 mAbs that have reached the market in the past 20 years. From a structural standpoint, one of the most important
大鼠凋亡因子BCL-2(BCL-2)ELISA试剂盒 说明书
上海西唐生物科技有限公司 021-55229872, 65333639 www.westang.com 大鼠凋亡因子 BCL-2(BCL-2)ELISA 试剂盒 ( 用于血清、血浆、细胞培养上清液和生物体液内 ) 原理 本实验采用双抗体夹心 ABC-ELISA 法。用抗大鼠 BCL-2 单抗包被于酶标板上,标准品和样品中的 BCL-2 与单抗结合,加入生物素化的抗大鼠 BCL-2 ,形成免疫复合物连接
to protect the antibody. These should be stored in smaller aliquots (about 1 ml) and frozen for long term storage though the protected solution is also stable for months at four degrees. Ascites fluid: This is a bit more problematic as it may contain
技术资料暂无技术资料 索取技术资料





![GOSR1 antibody [HFD9-5]](https://img1.dxycdn.com/2022/0329/324/4325812433304020453-14.jpg!wh200)
![KDM3B antibody [C2C3], C-term](https://img1.dxycdn.com/2022/0328/314/1094222721661300453-14.jpg!wh200)

![CD19 antibody [LT19] (PE)](https://img1.dxycdn.com/2022/0328/338/2857117545428300453-14.jpg!wh200)

