相关产品推荐更多 >
万千商家帮你免费找货
0 人在求购买到急需产品
- 详细信息
- 文献和实验
- 技术资料
- 免疫原:
Synthetic peptide conjugated to KLH derived from within residues 150 - 200 of Human active Caspase 3.
- 亚型:
IgG
- 形态:
Liquid
- 保存条件:
Store as concentrated solution. Centrifuge briefly prior to opening vial. For short-term storage (1-2 weeks), store at 4ºC. For long-term storage, aliquot and store at -20ºC or below. Avoid multiple freeze-thaw cycles.
- 克隆性:
Polyclonal
- 标记物:
Unconjugated
- 适应物种:
Human
- 保质期:
12 months from the shipping date of the product.
- 抗原来源:
Human
- 目录编号:
GTX49360
- 级别:
Primary Antibodies
- 库存:
Available
- 供应商:
GeneTex
- 宿主:
Rabbit
- 应用范围:
WB, IHC-P
- 浓度:
1 mg/ml (Please refer to the vial label for the specific concentration.)
- 靶点:
Actived-Caspase-3 p17 pAb detects endogenous levels of Actived-Caspase-3 p17 protein.
- 抗体英文名:
Caspase 3 p17 subunit antibody
- 抗体名:
Caspase 3 p17 subunit 抗体
- 规格:
100 μl
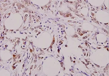
Immunohistochemistry (IHC) analyzes of Actived-Caspase-3 p17 pAb in paraffin-embedded human breast carcinoma tissue at 1:100.
Western blot (WB) analysis of Actived-Caspase-3 p17 pAb at 1:500 dilution. Lane1:Hela whole cell lysate(40ug). Lane2:Hela treated with H2O2 (100nmol/ml, 25min, phostop) whole cell lysate (40ug). Lane3:Hela treated with H2O2 (100nmol/ml, 25min, λ-ppase)
风险提示:丁香通仅作为第三方平台,为商家信息发布提供平台空间。用户咨询产品时请注意保护个人信息及财产安全,合理判断,谨慎选购商品,商家和用户对交易行为负责。对于医疗器械类产品,请先查证核实企业经营资质和医疗器械产品注册证情况。
文献和实验olivial 最近想做caspase-3的WB,但关于caspase-3的活化有一个问题一直没弄明白,想请教。 在没受刺激前,细胞内的caspase-3以procaspase的形式存在,当受到内外源性刺激时,被活化成异二聚体,该异二聚体由p12和p17两个亚基组成。但procaspase是怎样变成异二聚体的呢?是self-cleavage,还是上游信号如caspase-8、9裂解的? selenium
[3] 。但据报道,MCF-7 人乳腺癌细胞系中,因在 CASP-3 基因 exon 3 中存在 47bp 的缺失而不表达 caspase 3 蛋白[4] 。前体形式的 caspase-3 由一个前端功能区(prodomain)和一大一小两个催化亚单位构成。在特定的刺激比如配体受体互作、生长因子匮乏和细胞功能抑制剂等的作用下,未活化的酶原形式的 caspase-3 在 Asp-28/Ser-29(N 端功能前区)以及 Asp-175/Ser-176(大小亚基之间)被剪切活化,转变为活化的 p17 大亚
我准备做凋亡过程中CASPASE 3的变化,用WESTERN检测。我准备买SANTA CRUZ的抗体。有两种,一种是单抗,另一种是多抗。具体如下: 1.caspase-3 (E-8): sc-7272 SOURCE Caspase-3 (E-8) is a mouse monoclonal IgG2a antibody corresponding to amino acids 1-277 representing the full length precursor form
技术资料暂无技术资料 索取技术资料







![Insulin antibody [GT1229]](https://img1.dxycdn.com/2022/0328/953/7554099225199700453-14.jpg!wh200)
![p63 antibody [rTP40/3690]](https://img1.dxycdn.com/2022/0328/220/3802005432099700453-14.jpg!wh200)


