相关产品推荐更多 >
万千商家帮你免费找货
0 人在求购买到急需产品
- 详细信息
- 文献和实验
- 技术资料
- 库存:
大量
- 供应商:
深圳欣博盛生物科技有限公司
- 检测范围:
300 pg/mL MuLV p30
- 检测方法:
enzyme immunoassay
- 规格:
96 assays
Murine leukemia viruses (MuLVs or MLVs) are retroviruses known for their ability to infect and cause cancer in murine hosts and other vertebrates. Moloney murine leukemia virus-based retroviral vectors are widely used for gene transfer to various target cells. Recently discovered in humans, xenotropic murine leukemia virus-related virus (XMRV) is closely related to murine leukemia viruses (e.g. Gag p30 core antigens share 96% identity). Early studies have linked XMRV to prostate cancer and chronic fatigue sydrome; however, new findings have disputed these claims. Introduction
Cell Biolabs’ QuickTiter™ MuLV Core Antigen ELISA Kit is an enzyme immunoassay developed for detection and quantitation of the MuLV core antigen protein (Gag p30). The kit has a detection sensitivity limit of 300 pg/mL MuLV p30. Each kit provides sufficient reagents to perform up to 96 assays including standard curve and MuLV samples.
MuLV Core Antigen标准曲线:

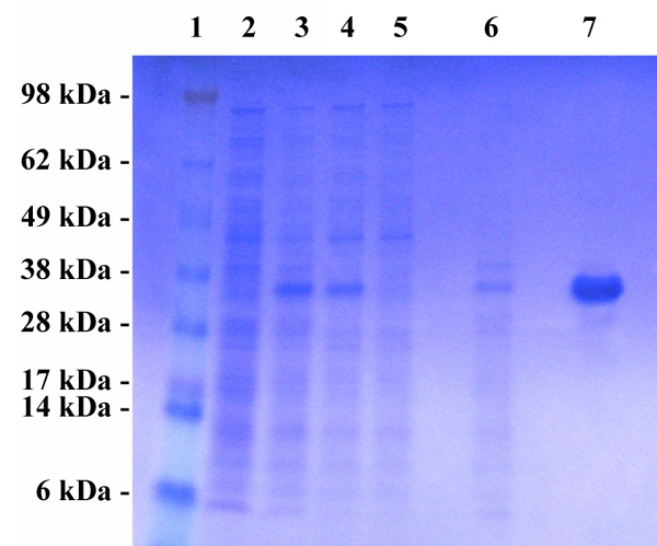
重组MuLV-p30蛋白的纯化:Lane 1: MW STDs; Lane 2: E.Coli Whole Lysate (-IPTG); Lane 3: E.Coli Whole Lysate (+IPTG); Lane 4: Crude Lysate; Lane 5: Lysate after Ni-NTA beads; Lane 6: Bead Wash; Lane 7: Elution Fraction for Recombinant MuLV p30 Standard.

关于Cell Biolabs
风险提示:丁香通仅作为第三方平台,为商家信息发布提供平台空间。用户咨询产品时请注意保护个人信息及财产安全,合理判断,谨慎选购商品,商家和用户对交易行为负责。对于医疗器械类产品,请先查证核实企业经营资质和医疗器械产品注册证情况。
文献和实验All-in-One Kit for Immunohistochemical Staining for Tissues with Antibodies
Brief protocol using Digest-All™ Kit is described below. The Digest-All™ is a flexible and standardized system for tissue digestion and contains trypsin, ficin, and pepsin proteolytic enzymes. The degree of digestion is based on a standardized 10 minute
以更少量的样本完成对更多生物标志物的分析。由卓越的免疫试剂供应商开发,用于 Luminex® 平台,ProcartaPlex 使您可以在 25-50μL 的样本(血浆、血清、细胞培养上清液以及其他体液)。实现在 25-50μL 的样本中同时对多达 50 种因子进行检测与定量。该技术在多通道「类 ELISA」分析中,为每种靶标使用了经不同染色处理的捕获微球。相比于传统的三明治 ELISA 而言,ProcartaPlex 免疫分析可以在使用样本量少而时间相同的情况下,分析多达 50 倍
Antigen Design Sera Purification Tech Sheet
, which has a high molar ratio of peptide antigen to core molecule and therefore does not require the use of a carrier protein to induce an antibody response. Each core molecule may contain four identical peptides. In theory, MAP has an advantage when compared
技术资料暂无技术资料 索取技术资料









