相关产品推荐更多 >

MRPL21 Rabbit pAb, HRP conjugated(bs-17780R-HRP)-100ul
¥2980
Connexin 43 Rabbit pAb, APC conjugated(bs-0651R-APC)-100ul
¥2980
phospho-ITGB2 (Thr758) Rabbit pAb, BF750 conjugated(bs-10462R-BF750)-100ul
¥2980
OS9 Rabbit pAb(bs-5901R)-50ul/100ul/200ul
¥1180
MSX1 Rabbit pAb, RBITC conjugated(bs-8512R-RBITC)-100ul
¥2980
万千商家帮你免费找货
0 人在求购买到急需产品
- 详细信息
- 文献和实验
- 技术资料
- 应用范围:
产品信息以Bioss网站为准
- 规格:
50ul/100ul/200ul
| 规格: | 50ul | 产品价格: | ¥1180.0 |
|---|---|---|---|
| 规格: | 100ul | 产品价格: | ¥1980.0 |
| 规格: | 200ul | 产品价格: | ¥2800.0 |
| 产品编号 | bs-0199R |
| 英文名称 | GFAP Rabbit pAb |
| 中文名称 | 胶质纤维酸性蛋白抗体 |
| 英文别名 | Astrocyte Marker; FLJ45472; GFAP; Glial Fibrillary Acidic Protein; Intermediate filament protein; GFAP_HUMAN. |
| 产品应用 | IHC-P=1:200-1000, IHC-F=1:200-1000, IF=1:200-1000, Flow-Cyt=1μg/Test Not yet tested in other applications. |
| 交叉反应 | Human, Mouse, Rat (Dog, Pig, Cow, Rabbit, Sheep) |
| 抗体来源 | Rabbit |
| 免疫原 | KLH conjugated synthetic peptide derived from human GFAP |
| 亚型 | IgG |
| 性状 | Liquid |
| 纯化方法 | affinity purified by Protein A |
| 克隆类型 | Polyclonal |
| 理论分子量 | 48 kDa |
| 浓度 | 1mg/ml |
| 储存液 | 0.01M TBS (pH7.4) with 1% BSA, 0.02% Proclin300 and 50% Glycerol. |
| 研究领域 | Neuroscience > Cell Adhesion Proteins > Cytoskeletal Proteins > Intermediate Filaments Neuroscience > Cell Type Marker > Glia marker > Astrocyte marker Signal Transduction > Cytoskeleton / ECM > Cytoskeleton > Intermediate Filaments > Class II > GFAP Stem Cells > Neural Stem Cells > Glial Restricted Lineage > Astrocyte Tags & Cell Markers > Cell Type Markers > Neuroscience Markers > Glial |
| 亚基 | Interacts with SYNM. Isoform 3 interacts with PSEN1 (via N-terminus). |
| 亚细胞定位 | Cytoplasm. Note=Associated with intermediate filaments. |
| 组织特异性 | Expressed in cells lacking fibronectin. |
| 翻译后修饰 | Phosphorylated by PKN1. |
| 相似性 | Belongs to the intermediate filament family. |
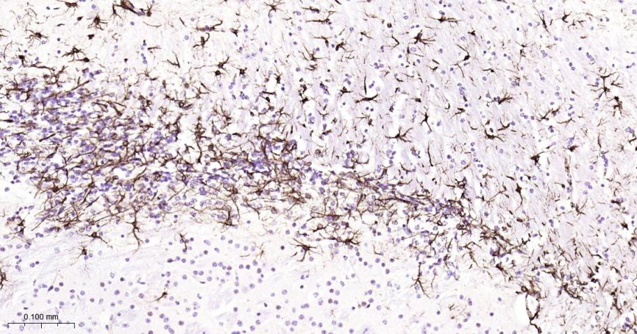
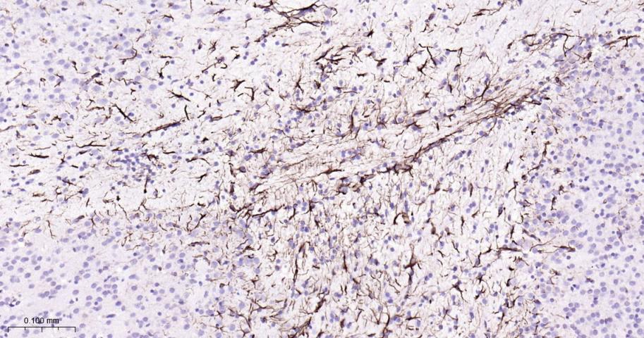
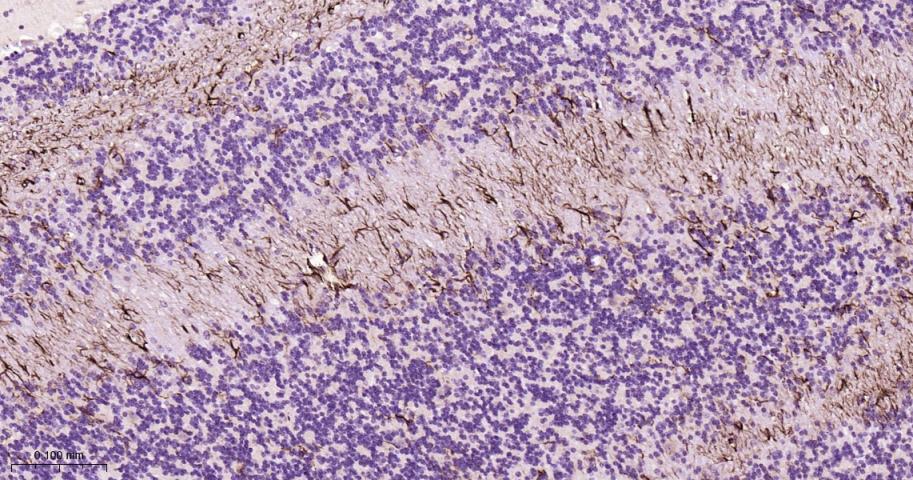
| 功能 | GFAP, a class-III intermediate filament, is a cell-specific marker that, during the development of the central nervous system, distinguishes astrocytes from other glial cells. |
| 保存条件 | Shipped at 4℃. Store at -20℃ for one year. Avoid repeated freeze/thaw cycles. |
| 注意事项 | This product as supplied is intended for research use only, not for use in human, therapeutic or diagnostic applications. |
| 背景资料 | This gene encodes one of the major intermediate filament proteins of mature astrocytes. It is used as a marker to distinguish astrocytes from other glial cells during development. Mutations in this gene cause Alexander disease, a rare disorder of astrocytes in the central nervous system. Alternative splicing results in multiple transcript variants encoding distinct isoforms. [provided by RefSeq, Oct 2008] |
| 应用 | 推荐稀释比例 |
| {IHC-P} | {1:200-1000} |
| {IHC-F} | {1:200-1000} |
| {IF} | {1:200-1000} |
| {Flow-Cyt} | {1μg/Test} |






Primary Antibody (green line): Rabbit Anti-GFAP antibody (bs-0199R)
Dilution: 1ug/Test;
Secondary Antibody : Goat anti-rabbit IgG-FITC
Dilution: 0.5ug/Test.
Protocol
The cells were fixed with 4% PFA (10min at room temperature)and then permeabilized with 90% ice-cold methanol for 20 min at -20℃.The cells were then incubated in 5%BSA to block non-specific protein-protein interactions for 30 min at room temperature .Cells stained with Primary Antibody for 30 min at room temperature. The secondary antibody used for 40 min at room temperature. Acquisition of 20,000 events was performed.




风险提示:丁香通仅作为第三方平台,为商家信息发布提供平台空间。用户咨询产品时请注意保护个人信息及财产安全,合理判断,谨慎选购商品,商家和用户对交易行为负责。对于医疗器械类产品,请先查证核实企业经营资质和医疗器械产品注册证情况。
文献和实验[IF={{ 9.995 }}] {Qian Fang. et al. YTHDF1 phase separation triggers the fate transition of spermatogonial stem cells by activating the IκB-NF-κB-CCND1 axis. CELL REP. 2023 Apr 14;42(4):112403} {IF} {Mouse}
[IF={{ 9.685 }}] {Jin, Lingting. et al. Astrocytic SARM1 promotes neuroinflammation and axonal demyelination in experimental autoimmune encephalomyelitis through inhibiting GDNF signaling. CELL DEATH DIS. 2022 Sep;13(9):1-13} {ICC,IF} {Mouse}
[IF={{ 9.587 }}] {Zhao, Chenxi. et al. Delayed administration of nafamostat mesylate inhibits thrombin-mediated blood–spinal cord barrier breakdown during acute spinal cord injury in rats. J NEUROINFLAMM. 2022 Dec;19(1):1-20} {IF} {Rat}
[IF={{ 9 }}] {Xu Zhenhua. et al. Deubiquitinase Mysm1 regulates neural stem cell proliferation and differentiation by controlling Id4 expression. CELL DEATH DIS. 2024 Feb;15(2):1-16} {WB} {Mouse}
[IF={{ 8.322 }}] {Li, Qian. et al. TRPV4-induced Müller cell gliosis and TNF-α elevation-mediated retinal ganglion cell apoptosis in glaucomatous rats via JAK2/STAT3/NF-κB pathway. J Neuroinflamm. 2021 Dec;18(1):1-22} {IHC} {Rat}
2PO4 西安化学试剂厂Na2HPO4.12H2O 西安化学试剂厂NaCL 西安化学试剂厂KCL 西安化学试剂厂抗-nestin mab chemicon抗-βtubulin mab chemicon抗- GFAP pab neomarker抗- GalC mab chemiconFITC 偶联荧光抗小鼠二抗 博士德3、主要仪器解剖剪 上海医疗仪器厂虹膜剪 上海医疗仪器厂眼科剪 上海医疗仪器厂离心机 上海医疗仪器厂自动双重纯水蒸馏器 教保处微孔滤膜滤器 教保处MCO
= NAL), appears to form upon oxidative cyclization of the nonfluorescent 2:1 lysine-HNE Michael adduct-Schiff base cross-link (Scheme 1). Polyclonal antibody (PAb) to the NAL-HNE fluorophore was raised in rabbit and found to be highly specific
GE Healthcare Benzamidine Sepharose™ 6B is p-aminobenzamidine covalently attached to Sepharose 6B by the epoxy coupling method. p-Aminobenzamidine (PAB), is a synthetic inhibitor of trypsin-like serine protease. Trypsin and trypsin
技术资料暂无技术资料 索取技术资料






