
2h极速WB即用型全流程试剂盒(WB检测试剂盒)(Weste
rn Blot Kit)研选同类产品更多 >
万千商家帮你免费找货
0 人在求购买到急需产品
- 详细信息
- 用户评价
- 文献和实验
- 技术资料
- 库存:
999
- 英文名:
2-Hour Fast Western Blot Ready-to-Use Complete Workflow Kit
- 保质期:
蛋白上样缓冲液及预染Marker在-20℃保存、其他试剂4℃保存,有效期1年;本套试剂盒全部试剂若在4℃保存,有效期至少3个月。
- 供应商:
武汉恩玑生命科技有限公司
- 保存条件:
按有效期提示各试剂分开保存
- 规格:
15T/30T/90T
| 规格: | 15T | 产品价格: | ¥420.0 |
|---|---|---|---|
| 规格: | 30T | 产品价格: | ¥500.0 |
| 规格: | 90T | 产品价格: | ¥1200.0 |
EnkiLife 2h极速WB即用型全流程试剂盒 | Western Blot
即用型Western Blot解决方案,实验时间缩短至2小时,重复性优异,结果稳定可靠
产品概述
Western Blot (WB) 作为免疫学核心实验,常因流程复杂、结果不稳定成为科研痛点。EnkiLife全新推出的2h极速WB即用型全流程试剂盒,不仅将实验时间缩短至2小时,更通过创新设计确保结果高度可重复。
本试剂盒采用标准化预制胶和优化配方,避免批次差异,保证实验间一致性。同时包含完整实验所需绝大部分试剂与耗材,用户仅需自备水、乙醇/甲醇、常用抗体及相关设备。
产品特性
- 极速高效:完整Western Blot流程仅需约2小时,相比传统方法提速5-10倍
- 全流程优化:从样本处理到显色曝光一体化解决方案,无需额外试剂
- 结果可靠:优异重复性和批次一致性,CV值<5%,实验间差异极小
- 快速孵育技术:专有快速封闭液和抗体稀释液,封闭仅10分钟,一抗15分钟,二抗5分钟
- 即用型设计:预制胶、即用Marker和预配颗粒,开盒即用,简化实验准备
- 实验安全:即用预制胶,无异味缓冲液,避免接触Acrylamide等有毒试剂
卓越的重复性与一致性:
- 批次间一致性高,严格质控确保不同批次试剂盒性能一致,CV值<5%
- 条带一致性优异:优化预制胶技术,显著降低边缘效应,条带更整齐
- 标准化操作流程:简化操作步骤,减少人为误差,结果更可靠
- 严格质控标准:每批次产品均通过Western Blot性能验证
重复性对比:条带强度变异系数(CV)
- 传统WB方案:15-25%
- EnkiLife 2h极速试剂盒:3-5%
安全特性详解
- 即用预制胶:预制胶采用安全聚合技术,无需接触Acrylamide、TEMED等神经毒性试剂
- 无异味缓冲液:蛋白上样缓冲液去除β-巯基乙醇等刺激性成分,实验室空气更清新
- 避免有毒试剂:全流程设计避免接触Acrylamide、TEMED等传统WB中的有毒试剂
- 健康保障:降低实验人员接触有害化学品的风险,创造更安全的实验环境
产品组分
| 试剂盒组分 | 产品规格(90T) | 产品规格(30T) | 产品规格(15T) |
|---|---|---|---|
| 蛋白上样缓冲液(5X) | 0.5ml | 0.2ml | 0.1ml |
| 预染Marker(10-180kDa) | 30ul | 10ul | 8ul |
| 预制胶 (Bis-Tris, 4-20%,15孔) | 6块 | 2块 | 1块 |
| 电泳缓冲液颗粒 | 6袋(500ml/袋) | 2袋(500ml/袋) | 1袋(500ml/袋) |
| PVDF膜(0.45um) | 6片 | 2片 | 1片 |
| 免滤纸转膜海绵垫 | 12片 | 4片 | 2片 |
| 快速转膜液颗粒 | 3袋(1L/袋) | 1袋(1L/袋) | 1袋(1L/袋) |
| 无蛋白快速封闭液 | 60ml | 20ml | 10ml |
| 快速抗体稀释液 | 40ml | 16ml |
8ml |
| 快速洗涤液(10X) | 40ml | 14ml | 7ml |
| ECL发光液A | 3.5ml | 1.2ml | 0.6ml |
| ECL发光液B | 3.5ml | 1.2ml | 0.6ml |
存储说明:蛋白上样缓冲液及预染Marker在-20℃保存、其他试剂4℃保存,有效期1年;全套试剂若均在4℃保存,有效期至少3个月。
一致性保障:所有组分均通过严格质控,确保批次间稳定性,CV值<5%
耗时对比
| 操作内容 | 传统WB | 2h极速WB试剂盒 | 时间节省 |
|---|---|---|---|
| 总时长 | 1-2天 | 约2小时 | 90%以上 |
| 电泳 | 90min | 45min | 50% |
| 转膜 | 90min | 25min | 72% |
| 封闭时间 | 60min/过夜 | 10min | 83% |
| 一抗孵育 | 120min/过夜 | 15min | 88% |
| 二抗孵育 | 60min | 5min | 92% |
| 洗涤与显色 | 60min | 10min | 83% |
验证数据


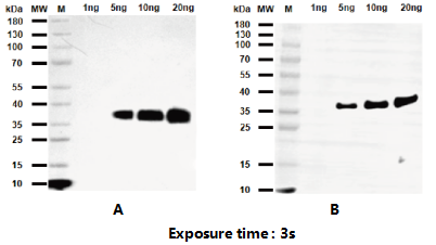
样本: 重组His-METRNL蛋白(30.7kDa) | 上样量: 80ng、20ng、10ng、5ng、1ng
实验说明:
- A组:我司试剂盒测试结果(三次重复实验)
- B组:某品牌试剂盒测试结果(三次重复实验)
- 实验由第三方开展以保证公平性
- 实验步骤均参考各自试剂盒说明书进行
结论:
- A组背景更干净,B组均有轻微背景
- A组Marker条带更锐利清晰
- A组灵敏度更高,可检测更低丰度样本
- A组三次重复实验条带强度CV值仅3.8%
核心优势
- 实验效率提升:将传统1-2天的实验缩短至2小时,加速科研进程,提高实验室产出
- 结果可重复性:CV值低于5%,实验间差异极小,确保结果可靠性和论文数据质量
- 实验安全提升:避免接触Acrylamide等有毒试剂,创造更安全的实验环境
- 综合成本降低:减少试剂消耗和设备占用时间,降低实验室整体运营成本
风险提示:丁香通仅作为第三方平台,为商家信息发布提供平台空间。用户咨询产品时请注意保护个人信息及财产安全,合理判断,谨慎选购商品,商家和用户对交易行为负责。对于医疗器械类产品,请先查证核实企业经营资质和医疗器械产品注册证情况。
用户评价
暂无用户评价
文献和实验[1] Lu, J., Jin, K., Chen, B., Wang, R., Hu, F., Hu, S., Zhong, D., Li, X., & Zhou, M. (2026). A Synergistic Hydrogel-Microalgae Platform for Dual-Targeting of Intestinal and Neuroimmune Dysfunction in Inflammatory Bowel Disease. Advanced Science, 1–51.

llh刘丽华 请教高手我最近做western blot,结果总是不理想,目的条带总是很淡,上样量已经是60ug了,封闭用的是5%脱脂奶粉,我还应该怎么改进哦?下面是我的结果,采用的是ECL化学发光,凝胶成像系统拍照,下面一条是我的目的条带。 麻烦各位帮帮忙吧! Mostino 转膜应充分,并提高第一抗体的使用量! 成其瑞 用好点的抗体 volano
anlise 刚做的western,跑分离胶时发现mark的条带被拖长了,原来的线性条带变成了长方形。 考虑哪些方面的原因呢? selleckchemcials 1. 可能是电流太强了, 可以考虑把电压调低一点~ 2. 分离胶浓度有点低,可以考虑把换成高浓度的胶~ 做实验的时候,为了得到漂亮的图,一定不要介意多花时间~我有的时候为了让条带好看,170KD的蛋白都用12%的胶,跑上3小时呢~
zhuhuachao 请问各位战友, western-blot法测得的结果是你所要检测蛋白的总蛋白还是只包括游离的蛋白?或者说该目标蛋白与其他蛋白结合以后,western-blot法结果上是否有所反应? amygdala 一般来说,western blot检测到的是包括游离态和聚合态的总蛋白,目标蛋白与其他蛋白结合的情况下也能检测出来。能否检测取决于抗体的识别位点是否存在,通常情况下目标蛋白的抗体识别位点不会受其形成复合物影响










