万千商家帮你免费找货
0 人在求购买到急需产品
- 详细信息
- 文献和实验
- 技术资料
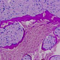
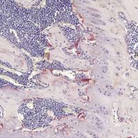
IHC免疫组化染色(石蜡切片)上海达为科力于临床前药效学CRO实验,多年的IHC免疫组化染色石蜡切技术服务经验,为广大药效学实验提供保障。可提供IHC免疫组化染色石蜡切技术服务。
风险提示:丁香通仅作为第三方平台,为商家信息发布提供平台空间。用户咨询产品时请注意保护个人信息及财产安全,合理判断,谨慎选购商品,商家和用户对交易行为负责。对于医疗器械类产品,请先查证核实企业经营资质和医疗器械产品注册证情况。
文献和实验HE染色实验技术服务业务介绍:
免疫组化(Immunohistonchemistry)是应用免疫学基本原理——抗原抗体反应,即抗原与抗体特异性结合的原理,通过化学反应使标结合的原理,通过化学反应使标记抗体的显色剂(荧光素、酶、金属离子、同位素)显色来确定组织细胞内抗原(多肽和蛋白质),对其进行定位、定性及定量的研究。
常用免疫组织化学方法的原理:
1. 免疫荧光细胞化学技术将已知抗体标上荧光素,以此作为探针检查细胞或组织内的相应抗原,在荧光显微镜下观察.当抗原抗体复合物中的荧光素受激发光的照射后会发出一定波长的荧光,从而可以确定组织中的抗原定位或定量。
2. 免疫酶细胞化学技术是免疫组织化学研究中非常常见的技术.基本原理是先以酶标记的抗体与组织或细胞作用,然后加入酶的底物,生成有色的不溶性产物或具有一定电子密度的颗粒,通过光镜或电镜,对细胞或组织内的相应抗原进行定位或定性研究。
科研实验服务:
1.基因组学:基因芯片、SNP检测、DNA甲基化检测、生物信息学分析
2.转录组学:microRNA芯片、LncRNA芯片、表达谱芯片、RNA-seq
3.蛋白质组学:2D-DIGE、SILAC、iTRAQ、TMT、Label-free、MRM
4.基因检测:DNA/RNA提取、RT-PCR、Real-timePCR
5.蛋白质检测:Western blot、Co-ip EMSA、CHIP、免疫荧光、ELISA
6.病理检测:HE染色、特殊染色、组织切片、免疫组化、流式细胞分选
7.代谢组学:GC-MS、LC-MS、NMR
免疫组织化学(Immunohistochemistry,IHC)是利用抗原与抗体特异性结合的原理,通过化学反应使标记抗体的显色剂(荧光素、酶、金属离子、同位素)显色来确定组织细胞内抗原(多肽和蛋白质),对其进行定位、定性及定量的一项技术。 IHC 的实验流程和方法总体不难,但做出漂亮的染色结果却不容易,所谓“细节决定成败”,也正是IHC 实验中尤为重要的关键点。那么“细节”主要是哪一些呢?下面就为您一一道来。(以石蜡组织切片为例介绍) 标本固定 固定的目的除了使细胞内的蛋白质凝固,减少
所有用于免疫组化/免疫细胞化学实验的样本都必须进行固定,以保持组织形态并保留靶分子的抗原性。固定会改变组织的化学成分,通常需要在保持组织结构和保留抗原表位之间做出权衡。细胞或组织固定不完全(固定不足)可能导致组织内靶蛋白快速蛋白水解降解,从而降低特异性免疫反应性。然而,过度固定(固定过量)可能导致抗原表位被掩盖或产生强烈的非特异性背景染色,从而掩盖特异性标记。固定方法和时间的选择必须结合样本制备进行考虑。此外,固定时间、温度和pH值都会影响固定程度。 甲醛 甲醛是用于保存组织和细胞内蛋白质靶
技术资料暂无技术资料 索取技术资料








