万千商家帮你免费找货
0 人在求购买到急需产品
- 详细信息
- 技术资料
- 提供商:
武汉贝赛模式生物科技有限公司
- 服务名称:
急性肺损伤模型构建
- 规格:
商家面议
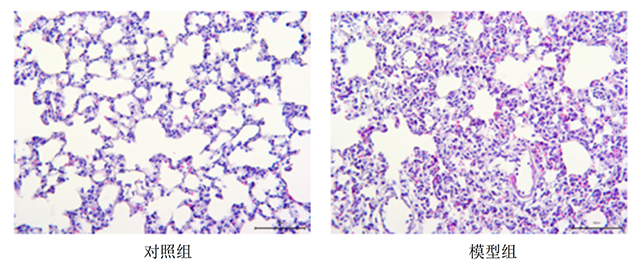
本司通过LPS尾静脉注射诱导急性肺损伤模型
背景:
尾静脉注射法是将L PS溶液注射进尾静脉,是通过LPS作用于免疫系统弓|起全身免疫反应,而肺易受炎症损伤从而达到建模的目的。全身给药法在早期的肺炎建模中常用,但由于其诱发全身兔疫反应较重,现也常用于建立急性呼吸窘迫综合症及脓毒症模型。
材料和方法:
SD大鼠(雄性, 100-300g)
造模方法:尾静脉注射LPS后3小时后成功制备急性肺伤模型。
评价指标:脏器干/湿重、HE染色
验证:
肺干/湿重

肺组织HE染色

风险提示:丁香通仅作为第三方平台,为商家信息发布提供平台空间。用户咨询产品时请注意保护个人信息及财产安全,合理判断,谨慎选购商品,商家和用户对交易行为负责。对于医疗器械类产品,请先查证核实企业经营资质和医疗器械产品注册证情况。
技术资料暂无技术资料 索取技术资料
急性肺损伤模型
询价










