现代研究证实,中医血热证动物模型具有较强的高黏滞血症、免疫活化及一般表现如皮肤紫斑、发热、烦躁、耳红、目赤、溲赤、便干等。先用免疫原性强的中药热性药物建立血热症动物模型,再以卵白蛋白诱导皮肤过敏,最肿建立过敏性紫癜模型。
材料和方法:
日本大耳白兔(雌雄不限,1.2~1.4kg)
造模方法:中药水煎剂灌胃3周后,腹腔注射卵白蛋白乳剂致敏,最后耳缘静脉注射卵白蛋白激发构建过敏性紫癜模型。
评价指标:ELISA检测、HE染色
验证:
ELISA检测

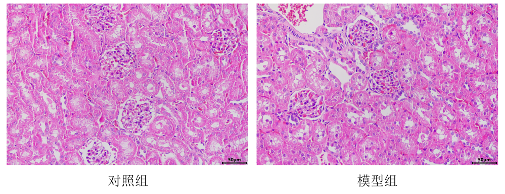
肾组织HE染色

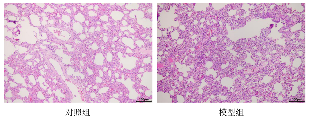
肺组织HE染色

武汉贝赛模式生物科技有限公司
过敏性紫癜模型构建
商家面议
ELISA检测

肾组织HE染色

肺组织HE染色

风险提示:丁香通仅作为第三方平台,为商家信息发布提供平台空间。用户咨询产品时请注意保护个人信息及财产安全,合理判断,谨慎选购商品,商家和用户对交易行为负责。对于医疗器械类产品,请先查证核实企业经营资质和医疗器械产品注册证情况。
文献和实验过敏性紫癜又称出血性毛细血管中毒症,是一种较为常见的微血管变态反应性出血性疾。本病是一种全身性血管性疾病,是由于小动脉和毛细血管对某些物质发生过敏反应。其基本病变是广泛的毛细血管及小动脉无菌性炎症反应,引起血管壁通透性增高及渗出性出血和水肿。临床上以皮肤紫癜最多见,可伴胃肠道、关节及肾脏等器官的症状,因此临床上将过敏性紫癜分为单纯皮肤型、关节型、腹型、过敏性紫癜合并肾炎型及混合型。 本病发病率不一,可以发病于各年龄组,一般以儿童和青少年较多见,约占70-80%,男性稍多于女性
大鼠麻醉后,背部脱毛,于 T9-T11 胸椎区域消毒,划约 2-3cm 纵行切口,咬除椎板,暴露硬脊膜,将大鼠固定于多功能鼠固定台,应用脊髓打击器撞击骨髓(打击高度 12mm,重量 10g)大鼠出现尾部痉挛性摆动,表明造模成功。造模后,对各组大鼠进行脊髓损伤的行为学评分,利用斜板实验评测动物脊髓损伤后神经功能恢复情况,分析在脊髓损伤不同时期的变化规律。
的毒副作用,如别嘌呤醇会导致体内脂质过氧化损伤,对肾脏、肝脏及皮肤黏膜都有较大的损害。因此,对高尿酸血症治疗新靶点和新药物的研究获得了广泛的关注,而建立稳定持续的高尿酸血症模型则是研究的重要前提。 图 1. 尿酸代谢途径[1] 尿酸是大多数动物体内嘌呤代谢的终产物,由黄嘌呤氧化酶(xanthine oxidase,XOD)将次黄嘌呤(hypoxanthine,HX)、黄嘌呤(xanthine)等尿酸前体物质氧化而成。人体内 80% 的尿酸是由体内氨基酸等其他小分子化合物合成尿酸或分解代谢而来;20
技术资料暂无技术资料 索取技术资料
