建立大鼠胃溃疡模型的方法已有许多种,如:幽门]结扎法、水浸拘束法、冰 醋酸法、磷酸组胺法、消炎痛法、利血平法、乙醇法等。其中冰 醋酸诱导大鼠胃溃疡模型方法可靠,重复性好,溃疡深而太,与人类的慢性胃溃疡极为相似,在筛选治疗慢性溃疡药物、观察药物治疗效果方面应用广泛,是实验研究中较常用的造模方法。
材料和方法:
SD大鼠(雄性, 6-8周龄)
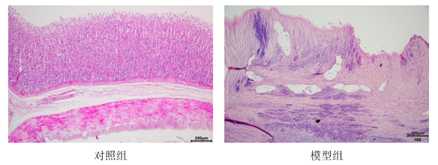
造模方法:胃大弯两侧多点注射冰 醋酸,3天后成功制备慢性胃溃疡模型。
评价指标: HE染色
验证:
胃组织HE染色

武汉贝赛模式生物科技有限公司
慢性胃溃疡模型构建
商家面议

风险提示:丁香通仅作为第三方平台,为商家信息发布提供平台空间。用户咨询产品时请注意保护个人信息及财产安全,合理判断,谨慎选购商品,商家和用户对交易行为负责。对于医疗器械类产品,请先查证核实企业经营资质和医疗器械产品注册证情况。
技术资料暂无技术资料 索取技术资料
