万千商家帮你免费找货
0 人在求购买到急需产品
- 详细信息
- 技术资料
- 提供商:
武汉贝赛模式生物科技有限公司
- 服务名称:
支气管肺发育不良模型构建
- 规格:
价格面议
本司通过LPS腹腔注射诱导支气管肺发育不良模型
背景:
支气管肺发育不良(bronchopulmonary dysplasia, BPD)是以肺泡简单化、肺血管发育迟缓,伴肺纤维化、肺不张及囊性变为病理特征的慢性肺部疾病,多见于早产儿,对早产儿心肺功能及神经发育的影响可延至成年。自1967年首次报道BPD以来,其发病率居高不下美国超早产及超低出生体重儿(出生胎龄<28周/出生体重<1000g) BPD的发生率约40% 且近20年未见明显下降;而我国,超早产及超低出生体重儿BPD发生率超过50%。
材料和方法:
SD幼鼠(雌雄不限,4日龄)
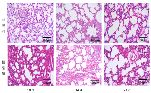
造模方法:腹腔注射LPS, 一段时间后成功制备支气管肺发育不良模型。
评价指标: HE染色
验证:
肺组织HE染色

风险提示:丁香通仅作为第三方平台,为商家信息发布提供平台空间。用户咨询产品时请注意保护个人信息及财产安全,合理判断,谨慎选购商品,商家和用户对交易行为负责。对于医疗器械类产品,请先查证核实企业经营资质和医疗器械产品注册证情况。
技术资料暂无技术资料 索取技术资料
支气管肺发育不良模型
询价










