相关产品推荐更多 >
万千商家帮你免费找货
0 人在求购买到急需产品
- 详细信息
- 文献和实验
- 技术资料
- 供应商:
上海联祖
- 库存:
53
- 规格:
1*125ml 500ml
| 产品名称 | 规格 | 货号 |
| SK-MES-1 细胞专用培养基 | 1*125ml 500ml | LZ-PX11126 |
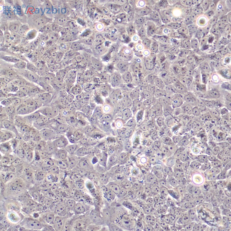
SK-MES-1细胞专用培养基由团队精心优化,经过长期测试,本产品可保持SK-MES-1细胞最佳的生长状态。
本产品中已包含 SK-MES-1 细胞生长所需的各种成分,无需添加任何成分,可直接用于SK-MES-1细胞的培养。
产品主要成分
MEM 基础培养基 445ml
特级胎牛血清 50 ml
P/S青霉素-链霉素 5 ml
运输和保存
运输:放置于含有生物冰袋的保温箱中低温运输
保存方法:2℃~8℃,避光,保存2个月;-20℃,避光,保存6个月。
干冰运输及复苏好存活细胞
(1)1mL冻存管包装干冰运输,收到后-80度冰箱保存过夜后转入液氮或直接复苏,若发现干冰已挥发干净、冻存管瓶盖脱落、破损及细胞有污染,请立即与我们联系。
(2)T25瓶复苏的存活细胞常温发货,收到后按照细胞接收后的处理方法操作。
| Anti-Influenza A Virus Hemagglutinin 甲型流感病毒血凝素抗体Multi-class antibodies规格: 0.1ml | Anti-STAT4 /FITC 荧光素标记信号转导和转录激活因子4抗体IgGMulti-class antibodies规格: 0.2ml |
| Anti-BCHE/FITC 荧光素标记丁酰胆碱脂酶抗体(C端)IgGMulti-class antibodies规格: 0.2ml | FCGR2B Others Cynomolgus 食蟹猴 CD32b / FCGR2B 人细胞裂解液 (阳性对照) |
| Butyrylcholinesterase (NT): 丁酰胆碱酯酶抗体(N端) 0.1ml | RK1 Others Canine 狗 kA / RK1 人细胞裂解液 (阳性对照) |
| Rhesus antibody Rh ADCY3 腺苷酸环化酶3抗体 规格 0.2ml | CDCP1 Others Mouse 小鼠 CDCP1 人细胞裂解液 (阳性对照) |
| Rhesus antibody Rh IL-20R alpha/IL20RA 白介素20受体α链抗体 规格 0.2ml | CLPS Others Human 人 CLPS / Colipase 杆状病毒-昆虫细胞裂解液 (阳性对照) |
| Telomerase (TE) 端粒酶(催化亚单位)(多肽抗原) 0.5mg | 人主动脉平滑肌细胞 (HASMC)( 5×105 ) HK-2, 人肾皮质近曲小管上皮细胞 Human |
| MYL3: 肌球蛋白轻链3抗体 0.2ml | HA Others H3N2 甲型流感 H3N2 (A/Brisbane/10/2007) 血凝素 (Hemagglutinin / HA) 人细胞裂解液 (阳性对照) |
| Nociceptin 孤菲肽(痛敏肽)(抗原)Multi-class antibodies规格: | A172(人脑胶质瘤细胞) 5×106cells/瓶×2 CM-H107人软骨细胞完全培养基100mL 人胚肾二倍体细胞;CCC-HEK-1 |
| LTB(Human heat-labile enterotoxin B subunit) ELISA Kit 人不耐热肠毒素B亚单位Multi-class antibodies规格: 48T | ENG Others Mouse 小鼠 Endoglin / ENG / CD105 人细胞裂解液 (阳性对照) |
| IRF7: 干扰素调节因子7抗体 0.1ml | PANC-1 人胰腺癌细胞 |
| Rhesus antibody Rh FES 原癌基因酪氨酸蛋白激酶FES抗体 规格 0.2ml | 膀胱上皮细胞Many types of cells包装:5 × 105次方(1ml) |
| IgM/Alexa Fluor 350 Alexa Fluor 350标记的兔抗马IgM 0.1ml | 人前列腺平滑肌细胞完全培养基 100mL |
| SK-MES-1 细胞专用培养基SHBG ELISA Kit 大鼠性激素结合球蛋白 96T | 少突胶质细胞培养基OM |
| Rhesus antibody Rh IgG-Fc/Cy7 Cy7标记的兔抗小鼠IgG-Fc 规格 0.1ml | CL-0291MKN-28(人胃癌高转移细胞)5×106cells/瓶×2 |
| Anti-Cytochrome C/FITC 荧光素标记细胞色素 C抗体IgGMulti-class antibodies规格: 0.2ml | 体外管腔形成分析试剂盒IVTFA |
风险提示:丁香通仅作为第三方平台,为商家信息发布提供平台空间。用户咨询产品时请注意保护个人信息及财产安全,合理判断,谨慎选购商品,商家和用户对交易行为负责。对于医疗器械类产品,请先查证核实企业经营资质和医疗器械产品注册证情况。
文献和实验相关实验
体,后续培养后收集的细胞上清中的外泌体不确定是从细胞分泌的还是血清中来的,影响结果的准确性。 2. 营养:细胞培养是需要一定的营养的,那么如果不加血清,单独只用基础培养基,就会导致细胞处于饥饿状态,严重影响细胞生长,甚至出现吞噬外泌体的现象,影响实验结果。 3. 杂蛋白:去外泌体胎牛血清可以很好地解决 1、2 中涉及的问题,但还会存在杂蛋白影响蛋白定量结果,导致数据偏高,影响后续实验的准确性。如果使用外泌体专用无血清培养基(专门针对外泌体获取的培养基,化学成分明确,类似于完全培养基的一种
树突状细胞培养操作步骤 准备补充剂 将补充剂混合物在 15~25℃ 解冻。在无菌条件下用移液枪小心地将补充剂混合物混匀。然后,把补充剂混合物全部加到基础培养基中。盖上瓶子,轻轻混匀直到形成均一的混合物。DC生成培养基所附带的相应的细胞因子组合包含有成分A和B,它们都是以100X 的原液状态运输的。 注意:此时不要将化合物B加入培养基中。 DC基础培养基不带细胞因子,因此使用时必须另外自行添加。 新鲜分离的单核 DC 细胞的传代 对于新鲜分离自外
细胞培养的基本步骤都有哪些?复苏、传代、冻存的基本操作是什么样的?如果你刚刚开始细胞培养实验,想要建立稳定的细胞培养流程,快来听Dr. 赛的讲解吧。
技术资料暂无技术资料 索取技术资料
SK-MES-1 细胞专用培养基
¥3000 - 6900










