间充质干细胞外泌体(MSC EXOs)近年来已经在伤口愈合、神经损伤、肝病以及新冠肺炎等领域被广泛研究应用。不少研究表明,在各种损伤和疾病模型中,MSC EXOs 可以作为间充质干细胞的替代选择。
第四军医大学去年就在干细胞领域权威期刊 Stem Cell Research & Therapy 发表文章 [1],发现 MSC EXOs 逆转肝纤维化,是间充质干细胞(MSCs)治疗肝脏疾病的重要机制。MSC EXOs 正逐渐成为再生医疗领域的「新武器」,也为临床疾病研究提供新思路。
如何通过高纯度外泌体?
加快研究速度
外泌体相关研究越来越热,赛道也愈发精细,如何巧用外泌体,并让它服务于自己的课题呢?不论是 MSC EXOs 还是其他外泌体,高纯度提取一直是实验的前提。
本文分享 3 个影响外泌体结果准确性的因素,并给到大家详细的培养操作步骤参考,并总结操作过程中的 4 个常见 QA 带你提升外泌体纯度。
01 3 个因素影响外泌体结果准确性
1. 血清:常规细胞培养使用胎牛血清 FBS + 基础培养基培养,但是胎牛血清中富含外泌体,后续培养后收集的细胞上清中的外泌体不确定是从细胞分泌的还是血清中来的,影响结果的准确性。
2. 营养:细胞培养是需要一定的营养的,那么如果不加血清,单独只用基础培养基,就会导致细胞处于饥饿状态,严重影响细胞生长,甚至出现吞噬外泌体的现象,影响实验结果。
3. 杂蛋白:去外泌体胎牛血清可以很好地解决 1、2 中涉及的问题,但还会存在杂蛋白影响蛋白定量结果,导致数据偏高,影响后续实验的准确性。如果使用外泌体专用无血清培养基(专门针对外泌体获取的培养基,化学成分明确,类似于完全培养基的一种介于血清和无血清之间的营养状态),满足肿瘤细胞和 T 细胞等细胞增殖的同时,可以降低杂蛋白等的影响,获取更高纯度的外泌体。
要提取外泌体,前期的细胞培养是研究的根基,样本准备是影响整个后续实验的关键所在。以下是「细胞上清外泌体提取操作指南」,助你提升外泌体提取纯度,优化实验数据。
02 外泌体提取操作指南
1. 细胞复苏及传代:细胞复苏后使用完全培养基培养 2~3 代至细胞生产状态正常;
2. 阶段培养一:待细胞汇合度约为 50% 时,移去原有完全培养基,添加新培养基(50% 外泌体专用无血清培养基 + 50% 完全培养基);
3. 阶段培养二:待细胞在梯度培养一中生长汇合度约为 70~80% 时,移去原有的 50% 外泌体专用无血清培养基 + 50% 完全培养基;
4. 使用 1X PBS 溶液将细胞润洗 2~3 次;
5. 加入外泌体专用无血清培养基继续培养 24~48 h,待细胞汇合度到 90%~100% 时收取细胞培养上清液,该上清液即可用于外泌体提取实验。
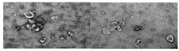
A:无外泌体血清组

B:正常血清组

C:外泌体专用无血清培养基组

图 1 三种不同的培养体系的外泌体 TEM 电镜图(Hela 细胞)
通过 TEM 电镜结果图可以简单评估外泌体纯度,背景越干净,外泌体呈现越清晰,说明本身提取的外泌体纯度越高。图 1 中使用三种不同的培养体系培养细胞后提取外泌体,其中专用无血清培养基组还是背景较干净,说明该组外泌体纯度最高。
03 4 个外泌体提取常见问题及解析
看来外泌体专用无血清培养基在实验过程中,起到关键作用,但在实际操作时依旧可能会发生「意外问题」,如:换液时间拿不定、专用无血清培养基使用时机不好把握等等,以下 4 个常见问题与解决方案带你「防患于未然」,更好地运用外泌体无血清培养基,让实验更顺利。
Q:用浓缩后的外泌体感染细胞,是否可以使用正常的培养基?感染后需要多久进行换液?
A:在外泌体和细胞共孵育实验过程中,建议使用无血清培养基来完成,4~6 小时进行换液。若使用高营养的血清培养基,可能存在其他物种外泌体的干扰,因为在高营养情况下,细胞对于目的外泌体的吸收能力可能会下降。
Q:外泌体专用无血清培养基使用时机,是在细胞诱导成模前,还是加药后?是否可以用本培养基配药?
A:1. 正式实验前先预实验检测实验细胞是否能在外泌体专用培养基中正常生长增殖。
2. 如果预实验结果没有问题,正式实验中,可以用外泌体专用培养基配药进行培养收集,可能问题是收集的培养上清中含药物,不清楚药物信息,不确定药物是否会影响外泌体提取的效果。
3. 外泌体专用培养基不适用于传代细胞培养,无促细胞贴壁因子。
4. 如果实验细胞不适应外泌体专用培养(营养成分不足,增殖不显著),则可选择去外泌体血清配置的培养基培养收集培养上清提取外泌体。
Q:外泌体专用培养基是否可用于重悬、接种以及继续培养细胞
A:不可以。不能在传代后就换此基础培养基(例如 DMEM、1640 等基础培养基),该培养基中没有促使细胞贴壁的因子。外泌体专用培养基可以维持细胞一定时间的生长,但无法替代完全培养基,也很难达到完全培养基的效果。
Q: 其他细胞能否用外泌体专用无血清培养基?
A:现已有用户将该培养基用于除肿瘤细胞和 T 细胞外的其他细胞并发表文章。保险起见,建议您在正式实验前先预实验检测实验细胞是否能在外泌体专用培养基中正常生长增殖。因为外泌体专用培养基不适用于传代细胞培养,无促细胞贴壁因子,如果实验细胞不适应外泌体专用培养(营养成分不足,增殖不显著),则可选择去外泌体血清配置的培养基培养收集培养上清提取外泌体。
想要数据准确,一定要选择有文献应用、验证可靠的培养基。上文实验方法和 QA,均基于使用下方两个好物的外泌体提取实验,多篇文献引用验证 [2,3],质量可靠,为你的实验保驾护航~
文献引用:
[1]. Tian, S., Zhou, X., Zhang, M. et al. Mesenchymal stem cell-derived exosomes protect against liver fibrosis via delivering miR-148a to target KLF6/STAT3 pathway in macrophages. Stem Cell Res Ther 13, 330 (2022). https://doi.org/10.1186/s13287-022-03010-y
[2]. Song, T.; Zhou, M.; Li, W.; Zheng, L.; Wu, J.; Zhao, M. Tripeptide Leu-Ser-Trp Regulates the Vascular Endothelial Cells Phenotype Switching by Mediating the Vascular Smooth Muscle Cells-Derived Small Extracellular Vesicles Packaging of miR-145. Molecules 2022, 27, 7025. https://doi.org/10.3390/molecules27207025
[3]. Yanglin Zhu, Hong Qin, Chenglu Sun, Bo Shao, Guangming Li, Yafei Qin, Dejun Kong, Shaohua Ren, Hongda Wang, Zhaobo Wang, Jingyi Zhang, Hao Wang, "Endometrial Regenerative Cell-Derived Exosomes Attenuate Experimental Colitis through Downregulation of Intestine Ferroptosis", Stem Cells International, vol. 2022, Article ID 3014123, 15 pages, 2022. https://doi.org/10.1155/2022/3014123











