相关产品推荐更多 >
万千商家帮你免费找货
0 人在求购买到急需产品
- 详细信息
- 文献和实验
- 技术资料
- 形态:
Liquit
- 保存条件:
-20℃
- 克隆性:
单克隆
- 适应物种:
Human,(predicted:Mouse,Rat,)
- 保质期:
1年
- 抗原来源:
peptiede
- 目录编号:
TDCTM-0233
- 级别:
科研级
- 库存:
88
- 供应商:
武汉天德
- 宿主:
鼠
- 浓度:
1mg/ml
- 抗体英文名:
Topoisomerase TOPIIα
- 抗体名:
Topoisomerase TOPIIα
- 规格:
1ml工作液

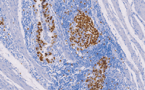
TOPIIα鼠抗人拓扑异构酶α单克隆抗体
Topollα(Topoisomerase 1alpha) 是一种分子量为 170kDa的细胞核基质蛋白,位于染色体 17q21.3,具磷酸二面酶活性,能够与DNA形成稳定的共价复合物,在细胞增殖期含量增高,在体细胞核中能调节核酸空间构象的动态变化,对DNA解链、断裂和DNA复制后断端连接和复位起关键作用。TopoII 的表达水平与肿瘤患者的预后有密切相关性,直接影响化疗药物的选择,表达水平的降低会导致TopoI抑制剂药物的耐药性产生。多用于多药耐药判断的指标及作为抗癌药物的靶点研究。
- 货号:TDCTM-0233
- 克隆号:C4E3
- 阳性部位:胞核
- 适用组织:石蜡切片
- 预处理:热修复
风险提示:丁香通仅作为第三方平台,为商家信息发布提供平台空间。用户咨询产品时请注意保护个人信息及财产安全,合理判断,谨慎选购商品,商家和用户对交易行为负责。对于医疗器械类产品,请先查证核实企业经营资质和医疗器械产品注册证情况。
文献和实验抗体使用小技巧_技术资料_丁香通 (biomart.cn)
为催化 DNA拓扑学异构体相互转变的酶之总称。催化 DNA链断开和结合的偶联反应,为了分析体外反应机制,用环状 DNA为底物。在闭环状双链 DNA的拓扑学转变中,要暂时的将 DNA的一个链或两个链切断,根据异构体化的方式而分为二个型。切断一个链而改变拓扑结构的称为Ⅰ型拓扑异构酶( top- oisomeraseⅠ),通过切断二个链来进行的称为Ⅱ型拓扑异构酶( topoisomeraseⅡ)。属于Ⅰ型的拓扑异构酶,有大肠杆菌的ω蛋白(ω -protein,由分子量 11万
HLA Ⅱ类基因区 HLAⅡ类基因区位于HLA复合体的着丝粒端,即从DRA到HLA-DPA3的一段区域,长度为0.9Mb,包含34个基因座位,其中16个为表达基因,3个后选基因,15个假基因。在16个表达基因中除了BRD2(原名RING3)外均有免疫学功能。Ⅱ类区域内至少含有DR、DQ、DP、DOA、IX)B和DM六个亚区。 (1)HLA-DR亚区:DR亚区有1个DRA基因及9个DRB基因。DRA基因不具多态性,其产物为DR分子的。链。9个DRB基因分别命名为DRBl~
抗体 - 抗原 - 酶标抗体复合物 ,经过彻底洗涤后 加 底物TMB 显色。 TMB 在 HRP 酶的催化下转化成蓝色,并在酸的作用下转化成最终的黄色。颜色的深浅和样品中的 5α - 还原酶Ⅱ 呈正相关。用酶标仪在 450 nm波长下测定吸光度( OD 值), 通过标准曲线 计算样品 中大鼠5 α - 还原酶Ⅱ 浓度。 试剂盒组成 : 试剂盒组成 48孔配置
技术资料暂无技术资料 索取技术资料










