万千商家帮你免费找货
0 人在求购买到急需产品
- 详细信息
- 技术资料
- 提供商:
上海研匠生物科技有限公司
- 服务名称:
小动物B超
- 规格:
一次
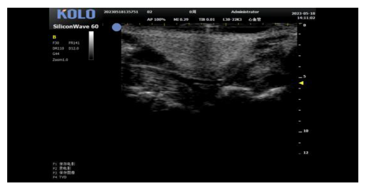
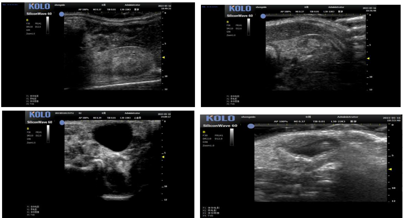
基于全球领先的CMUT 半导体超声技术,集成多项发明专利,珂纳医疗精心研发出 SiliconWave 60 超高频小动物超声成像系统。该系统微米级的超高清分辨率,8-62 MHz 超宽频段和丰富灵敏的彩色多普勒功能为临床前科研用户观察小动物的心血管、腹部脏 器、浅表组织及胚胎等提供了清晰多彩的超声图像。系统的实时无创操作也为科研实验 的反复验证,长期动态观察等提供了极大的便利性。
二、研究案例
1. 小鼠心脏研究---左心室(长+短轴+M 超)

2. 小鼠心脏研究---四腔心(长轴+血流测速)

3、小鼠血管方面研究
3.1 腹主动脉(长+短轴+管壁距离测量+血流流速)

3.2 颈动脉(长轴)

4、内脏测量

5肿瘤测量(肿瘤大小精确测量)

二、提供的服务:
1. B超成像和数据分析
三、实验流程:
1. 客户提供:实验动物
2.确认荧光信号—气麻—开机检测—提供实验报告
3.实验周期:3个工作日
风险提示:丁香通仅作为第三方平台,为商家信息发布提供平台空间。用户咨询产品时请注意保护个人信息及财产安全,合理判断,谨慎选购商品,商家和用户对交易行为负责。对于医疗器械类产品,请先查证核实企业经营资质和医疗器械产品注册证情况。
技术资料暂无技术资料 索取技术资料
小动物B超
¥600










