万千商家帮你免费找货
0 人在求购买到急需产品
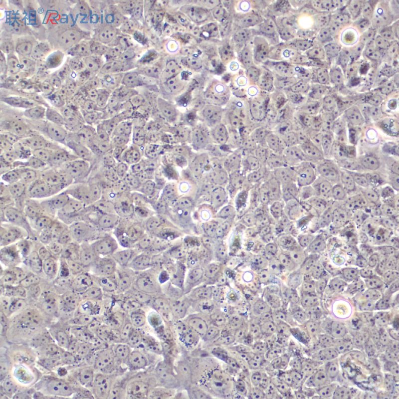
- 详细信息
- 文献和实验
- 技术资料
- 供应商:
上海联祖
- 库存:
24
- 英文名:
MS-1-L
- 是否是肿瘤细胞:
否
- 规格:
T25培养瓶
| 产品名称 | 规格 | 货号 |
| MS-1-L细胞 | T25瓶 | LZ-X8923 |
含量:>1x10^6 细胞数
规格:T25瓶
用途:仅供科研使用。
干冰运输及复苏好存活细胞
(1)1mL冻存管包装干冰运输,收到后-80度冰箱保存过夜后转入液氮或直接复苏,若发现干冰已挥发干净、冻存管瓶盖脱落、破损及细胞有污染,请立即与我们联系。
(2)T25瓶复苏的存活细胞常温发货,收到后按照细胞接收后的处理方法操作。
1) 收到细胞后,75%酒精消毒瓶壁将T25瓶置于37℃培养箱放置约2-3h,若发现培养瓶破损、有液溢出及细胞有污染,请拍照后及时联系我们。
2)请在4或5X显微镜下确认细胞状态,同时给刚收到的细胞拍照(10×,20×)各2-3张以及培养瓶外观照片一张留存,作为售后时收到时细胞状态的依据。
3) 悬浮细胞:T25瓶置于37℃培养箱放置约2-3h,然后抽出瓶中的培养基和细胞1000rpm离心5分钟,弃去上清重悬后接种到新的培养瓶中(加入按照说明书细胞培养条件新配制的完全培养基)。
4)备注:运输用的培养基(灌液培养基)不能再用来培养细胞,请换用按照说明书细胞培养条件新配制的完全培养基来培养细胞。 收到细胞后第一次传代建议T25培养瓶1:2传代 。 一.培养基及培养冻存条件准备:
1) 准备培养基;优质胎牛血清,10%;双抗,1%。备注:该细胞为悬浮并部分聚团生长
2) 培养条件: 气相:空气,95%;二氧化碳,5%。 温度:37摄氏度,培养箱湿度为70%-80%。
3) 冻存液:90%血清,10%DMSO,现用现配。
二. 细胞处理:
1) 冻存细胞的复苏:
将含有1mL细胞悬液的冻存管在37℃水浴中迅速摇晃解冻,加入到含4-6mL完全培养基的离心管中混合均匀。在1000RPM条件下离心3-5min,弃去上清液,完全培养基重悬细胞。然后将细胞悬液加入含6-8ml完全培养基的培养瓶(或皿)中37℃培养过夜。第二天显微镜下观察细胞生长情况和细胞密度。
2) 细胞传代:如果细胞密度达80%-90%,即可进行传代培养。
对于悬浮细胞,传代可参考以下方法:
悬浮状态下生长的细胞,可以通过向培养瓶中添加完全培养基来维持细胞的生长状态,一般情况下细胞密度维持在1×105~1×10^6个/mL(不同细胞对密度要求不同,)可以维持细胞的正常生长。如需分瓶可以将细胞悬液收集到离心管中1000rpm,离心5min,弃去上清,补加1-2mL培养液后重悬混匀后将细胞悬液按1:2的比例分到新T25瓶中,添加6-8ml按照说明书要求配置的新的完全培养基以保持细胞的生长活力,后续传代根据实际情况按1:2~1:5的比例进行。
3) 细胞冻存: 收到细胞后建议在培养前3代时冻存一批细胞种子以备后续实验使用。
下面T25瓶为例;
1. 细胞冻存时按照细胞传代的过程收集消化好的细胞到离心管中,可使用血球计数板计数,来决定细胞的冻存密度。一般细胞的推荐冻存密度为1×10^6~1×107个活细胞/ml.
2. 1000rpm离心3-5min,去掉上清。用配制好的细胞冻存液重悬细胞 ,按每1ml冻存液含1×10^6~1×107个活细胞/ml分配到一个冻存管中将细胞分配到冻存管中,标注好名称、代数、日期等信息。
3. 将要冻存的细胞置于程序降温盒中,-80度冰箱中过夜,之后转入液氮容器中储存。同时记录好冻存管在液氮容器中的位置以便后续查阅和使用。
| PrimaCell™大鼠血管内皮细胞试剂盒 | HT-29人结肠癌细胞 HT-29 human colon cancer cells McCoy's 5a+10%FBS姆沙伯 108 CHROMOSORB(R) 108 8902/8/6 |
| PrimaCell™大鼠子宫颈上皮细胞试剂盒 | IBRS-2(猪肾细胞) 5×106cells/瓶×2O-叔丁基-L-丝氨酸O-tert-Butyl-L-serine 质量规格:度98%,BR |
| 小鼠成纤维细胞(EGFP标记)2-氨基-6,8-二羟基嘌呤盐酸盐2-Amino-6,8-dihydroxypurine Hydrochloride | UMR-106大鼠骨肉瘤细胞 Osteosarcoma cells in UMR-106 rats DMEM培养基+10%FBS硬酯酸shēng huà shì jì容量:25克 |
| 大鼠小脑颗粒细胞【Rat Brain: Normal Cerebellar Granule Cells】 | KP-N-NS(人肾上腺神经母细胞瘤细胞(脑转移)) 5×106cells/瓶×2派洛宁B(Ind)质量规格:>30%,Ind GradePyronin B |
| NSC,大鼠神经干细胞 Rattus3-羌基-2-丁同;酰基醇;酰基醇;偶姻 3-xy7noxy-2-butcnonq;ccqtoin;2,3-Butcnolonq;DiMqthylkqtol;γ-xy7noxy-β-oxobutcnq 213-86-0 | 小鼠小脑星形胶质细胞(MA-c)(5×105)草酸钾一水(>98%,BC)Potassium oxalate, monohydrate质量规格:>98%,BC |
| 小鼠皮下脂肪组织提取物【Fat: Normal Mouse Subcutaneous Fat Derivatives】 | CL-0345HB611(人肝癌细胞)5×106cells/瓶×2L-甲状腺素钠;四代甲状腺素钠盐,T4质量规格:>98.5%,BRLevothyroxine |
| MG-63 人成骨肉瘤细胞顺式-β-羟基它莫西芬cis-β-Hydroxy Tamoxifen | 人真皮内皮细胞总RNAHDLEC NA1,4,7,10-四氮杂环十二烷四盐酸盐(>98.0%(N))1,4,7,10-Tetraazacyclododecane Tetrahydrochloride质量规格:>98.0%(N) |
| 大鼠肾小球内皮细胞提取物【Rat Kidney:Normal Glomerular Derivatives】 | SRPK3 Others Human 人 STK23 / MSSK1 / SRPK3 杆状病毒-昆虫细胞裂解液 (阳性对照) 维生素EVitamin E |
| KLE(人子宫内膜癌细胞) 5×106cells/瓶×2纺锤菌素二盐酸shēng huà shì jì容量:100克 | 大鼠气管和支气管上皮细胞完全培养基 100mL2,3-二丙磺酸钠DMPS质量规格:>95%,一水合物 |
| PrimaCell™大鼠肾小管上皮细胞试剂盒 | RAG(小鼠肾腺癌细胞) 5×106cells/瓶×2MITOMYCINC C超级灰色,紫色或蓝色粉末COLD不sigma |
| TNFSF9 Protein Mouse 重组小鼠 4-1BBL / CD137L / TNFSF9 蛋白 (His 标签)5(6)-FAM, SE; 5(6)-羧基荧光素琥珀酯质量规格:>90%5(6)-FAM, SE | EB病毒转化的人B细胞;KM933 人髂动脉内皮细胞完全培养基 100mL西红花苷II(标准品)Crocin II质量规格:HPLC≥98%,标准品 |
| 人脑微血管内皮细胞 Human毛兰素(标准品)3'-Hydroxy-3,4,4',5-tetraMethoxybibenzyl质量规格:供含量测定用 | 人胰岛细胞抗原2抗体/蛋白酪氨酸磷酸酶抗体酶联免疫试剂盒 |
| MS-1-L细胞人卵巢表层上皮细胞HOSEpiC地尔硫卓Diltiazem | 人皮动蛋白酶联免疫试剂盒 |
| 人侵袭性脉络膜色素瘤细胞;M619羟基纤维素shēng huà shì jì容量:500U | 人基质金属蛋白酶抑制因子2酶联免疫试剂盒 |
| IL12A Others Cynomolgus 食蟹猴 / 恒河猴 IL12A / NKSF1 人细胞裂解液 (阳性对照) 苯甲酰乌头原碱(标准品)Benzoylaconine质量规格:HPLC≥98%,标准品 | 人β淀粉样多肽42酶联免疫试剂盒 |
风险提示:丁香通仅作为第三方平台,为商家信息发布提供平台空间。用户咨询产品时请注意保护个人信息及财产安全,合理判断,谨慎选购商品,商家和用户对交易行为负责。对于医疗器械类产品,请先查证核实企业经营资质和医疗器械产品注册证情况。
文献和实验W. R. Earle( 1943)从正常雄 C3H/ Am系小白鼠的皮下组织分离出来的连续继代培养的成纤维细胞系。开始是用含马血清 30%、鸡胚浸出液( 1∶ 1) 20%、 Earle缓冲液 50%的培养液培养。不用胰蛋白酶处理,只用移液管即可分离出来,形成细胞悬浮液。因系 L实验组而命名,在 L之外无连续继代培养细胞系的报道。为最初现存的确立细胞株( Esta· blished cell line),与人子宫癌海拉( HeLa)细胞一起广泛应用于种种目的的实验。 L细胞
的PBS)终止红细胞裂解,300g离心细胞悬液5分钟,弃掉上清。 2.3 重复洗涤一次,加满细胞染色buffer(或含1%BSA的PBS)至15mL, 300g离心细胞悬液5分钟,弃掉上清。 2.4 细胞计数,用细胞染色buffer(或含1%BSA的PBS)将细胞制成1x107/mL悬液。将100μL细胞悬液加入2mL EP管中备用。 封闭Fc受体 封闭Fc受体能减少染色过程中的非特异性染色。 小鼠中,纯化的CD16/CD32单抗能和FcγRⅢ/Ⅱ结合,封闭非特异
人外周血单细胞悬液制备流程 1.采集人外周血样本于抗凝管中。 离心管内加入100 μL新鲜血和2 mL 1×红细胞裂解液,混匀,4℃裂解10 min。 300 g离心5 min(裂解完立即离心,防止时间过长损伤细胞),弃上清,得到白色细胞沉淀。 PBS洗涤一次。 加入100 μL细胞染色缓冲液重悬细胞,不用计数,即可进行后续流式抗体染色实验。按照100 μL新鲜血样本制备的单细胞悬液,加入1 Test对应的流式抗体混匀进行后续实验。 注意事项: 1. 采血用抗凝管,有肝素和EDTA两种
技术资料暂无技术资料 索取技术资料










