万千商家帮你免费找货
0 人在求购买到急需产品
- 详细信息
- 文献和实验
- 技术资料
- 供应商:
上海联祖
- 库存:
21
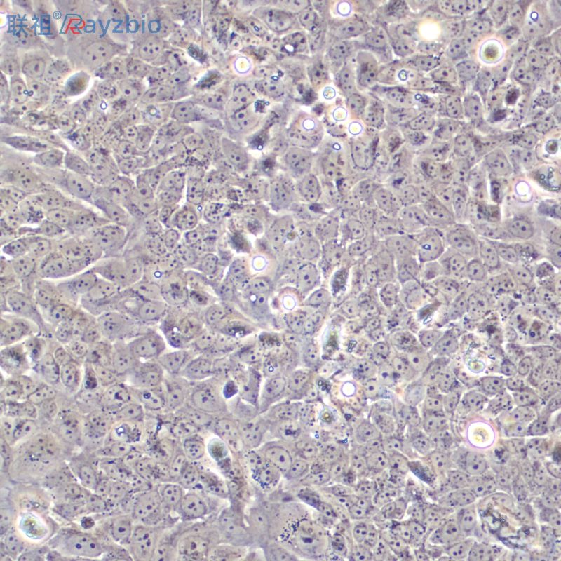
- 英文名:
MDCK II
- 是否是肿瘤细胞:
否
- 规格:
T25培养瓶
| 产品名称 | 规格 | 货号 |
| MDCK II细胞 | T25瓶 | LZ-X8895 |
含量:>1x10^6 细胞数
规格:T25瓶
用途:仅供科研使用。
干冰运输及复苏好存活细胞
(1)1mL冻存管包装干冰运输,收到后-80度冰箱保存过夜后转入液氮或直接复苏,若发现干冰已挥发干净、冻存管瓶盖脱落、破损及细胞有污染,请立即与我们联系。
(2)T25瓶复苏的存活细胞常温发货,收到后按照细胞接收后的处理方法操作。
1) 收到细胞后,75%酒精消毒瓶壁将T25瓶置于37℃培养箱放置约2-3h,若发现培养瓶破损、有液溢出及细胞有污染,请拍照后及时联系我们。
2)请在4或5X显微镜下确认细胞状态,同时给刚收到的细胞拍照(10×,20×)各2-3张以及培养瓶外观照片一张留存,作为售后时收到时细胞状态的依据。
3) 悬浮细胞:T25瓶置于37℃培养箱放置约2-3h,然后抽出瓶中的培养基和细胞1000rpm离心5分钟,弃去上清重悬后接种到新的培养瓶中(加入按照说明书细胞培养条件新配制的完全培养基)。
4)备注:运输用的培养基(灌液培养基)不能再用来培养细胞,请换用按照说明书细胞培养条件新配制的完全培养基来培养细胞。 收到细胞后第一次传代建议T25培养瓶1:2传代 。 一.培养基及培养冻存条件准备:
1) 准备培养基;优质胎牛血清,10%;双抗,1%。备注:该细胞为悬浮并部分聚团生长
2) 培养条件: 气相:空气,95%;二氧化碳,5%。 温度:37摄氏度,培养箱湿度为70%-80%。
3) 冻存液:90%血清,10%DMSO,现用现配。
二. 细胞处理:
1) 冻存细胞的复苏:
将含有1mL细胞悬液的冻存管在37℃水浴中迅速摇晃解冻,加入到含4-6mL完全培养基的离心管中混合均匀。在1000RPM条件下离心3-5min,弃去上清液,完全培养基重悬细胞。然后将细胞悬液加入含6-8ml完全培养基的培养瓶(或皿)中37℃培养过夜。第二天显微镜下观察细胞生长情况和细胞密度。
2) 细胞传代:如果细胞密度达80%-90%,即可进行传代培养。
对于悬浮细胞,传代可参考以下方法:
悬浮状态下生长的细胞,可以通过向培养瓶中添加完全培养基来维持细胞的生长状态,一般情况下细胞密度维持在1×105~1×10^6个/mL(不同细胞对密度要求不同,)可以维持细胞的正常生长。如需分瓶可以将细胞悬液收集到离心管中1000rpm,离心5min,弃去上清,补加1-2mL培养液后重悬混匀后将细胞悬液按1:2的比例分到新T25瓶中,添加6-8ml按照说明书要求配置的新的完全培养基以保持细胞的生长活力,后续传代根据实际情况按1:2~1:5的比例进行。
3) 细胞冻存: 收到细胞后建议在培养前3代时冻存一批细胞种子以备后续实验使用。
下面T25瓶为例;
1. 细胞冻存时按照细胞传代的过程收集消化好的细胞到离心管中,可使用血球计数板计数,来决定细胞的冻存密度。一般细胞的推荐冻存密度为1×10^6~1×107个活细胞/ml.
2. 1000rpm离心3-5min,去掉上清。用配制好的细胞冻存液重悬细胞 ,按每1ml冻存液含1×10^6~1×107个活细胞/ml分配到一个冻存管中将细胞分配到冻存管中,标注好名称、代数、日期等信息。
3. 将要冻存的细胞置于程序降温盒中,-80度冰箱中过夜,之后转入液氮容器中储存。同时记录好冻存管在液氮容器中的位置以便后续查阅和使用。
| PrimaCell™小鼠腹腔巨噬细胞试剂盒 | PARP3 Others Human 人 PARP-3 / PARP3 杆状病毒-昆虫细胞裂解液 (阳性对照) 2,6-二溴蒽醌(>95.0%(HPLC))质量规格:>95.0%(HPLC)2,6-Dibromoanthraquinone |
| PrimaCell™小鼠内皮祖细胞试剂盒 | 恒河猴皮肤细胞;RM-S1O-苄基-L-酪氨酸苄酯盐酸盐O-Benzyl-L-tyrosine benzyl ester hydrochloride质量规格:0.985 |
| 人口腔角质细胞cDNAHOK cDNA94-13-34-羟基本酯;对羟基安息香酸酯; 尼泊金酯Propyl 4-xy7noxybenzoate;Propylparaben;Propyl parasept;4-xy7noxybenzoic acid propyl ester; | REG3A Others Human 人 REG3A / HIP 人细胞裂解液 (阳性对照) 甲环酸 Tranexamic acid,97% 1197-18-8 5G 标准品 |
| 大鼠食管上皮细胞【Rat Esophagus: Normal Esophageal Epithelial Cells】 | 615小鼠前胃癌瘤株;Fc盐酸奥昔布宁(标准品)质量规格:含量测定Oxybutynin HCl |
| 小鼠小神经胶质细胞(MM)(5×105)4,5-二氟酞腈(>95.0%(GC))质量规格:>95.0%(GC)4,5-Difluorophthalonitrile | SF9, 昆虫卵巢细胞 其它2,4-二氨基-6-二甲氨基-1,3,5-三嗪(>98.0%(T))2,4-Diamino-6-dimethylamino-1,3,5-triazine质量规格:>98.0%(T) |
| 人前列腺MatchPair: 前列腺上皮和肿瘤组织提取物【Prostate MatchPair: Normal Human Prostate Epithelial Derivatives and Prostate Tumor Derivatives】 | 非洲绿猴肾细胞系/HCV-C;Vero-HCV-C烟酸腺嘌呤二核苷酸钠盐Nicotinic acid adenine dinucleotide salt |
| A549/DDP, 人肺腺癌耐药细胞株 Human1,6-二氨基芘(>98.0%(HPLC)(N))质量规格:>98.0%(HPLC)(N)1,6-Diaminopyrene | ROS1728 大鼠成骨细胞 Osteoblasts of ROS1728 rats EMEM +10 FBS羟基积雪草酸Madecassic acid质量规格:HPLC≥80%,BR |
| 大鼠结肠上皮细胞【Rat Colon: Normal Colon Vein Endothelial Cells】 | SCGB1A1 Protein Mouse 重组小鼠 Uteroglobin / SCGB1A1 蛋白 (His 标签)黄藤素质量规格:≥97%,BRPalmatine |
| STIM1 Others Human 人 STIM1 / GOK 人细胞裂解液 (阳性对照) N-三(羟甲基)甲基-3-氨基丙磺酸钠质量规格:>99%,BRTAPS Salt | ADIPOQ Protein Mouse 重组小鼠 Adiponectin / Acrp30 / ADIPOQ 蛋白 (His 标签)舒洛芬Suprofen质量规格:>98% |
| PrimaCell™人肺动脉成纤维细胞试剂盒 | 表皮角化细胞Many types of cells包装:5 × 105方(1ml)3-O-b-D-糖( 1→4)-[ a -L-鼠李糖(1→2)]- a-L-阿拉伯糖 23-羟基羽扇豆20(29)-1-28–酸- 28-O-鼠李糖(1→4)糖(1→6)糖苷质量规格:HPLC≥98%,标准品V |
| NRK-52E 大鼠肾细胞阿昔洛韦单1酸盐Acyclovir Monophosphate | 人胚肺成纤维细胞;MRC-5L-天门冬酰胺酶,门冬酰胺酶Asparaginase质量规格:BR,>250IU/MG |
| HCH-c 人软骨细胞 500,000cells 人表皮角质细胞-HEK-a溴化新斯的明(标准品)质量规格:>98%,标准品Neostigmine bromide | 人异质性胞核核糖核蛋白A3酶联免疫试剂盒 |
| MDCK II细胞肺动脉成纤维细胞Many types of cells包装:5 × 105方(1ml)1-十二烷基磺酸钠[离子对色谱级]IPC-ALKS-12质量规格:离子对色谱用试剂 | 人羟脯氨酸酶联免疫试剂盒 |
| NCI-H1975 人肺腺癌细胞(化啶) | 人间α-胰蛋白酶抑制因子重链H1酶联免疫试剂盒 |
| TNFRSF12A Others Human 人 TNFRSF12A / FN14 / TWEAKR 人细胞裂解液 (阳性对照) 洛莫司汀(标准品)Lomustine质量规格:HPLC>98%,标准品 | 人八聚体转录因子酶联免疫试剂盒 |
风险提示:丁香通仅作为第三方平台,为商家信息发布提供平台空间。用户咨询产品时请注意保护个人信息及财产安全,合理判断,谨慎选购商品,商家和用户对交易行为负责。对于医疗器械类产品,请先查证核实企业经营资质和医疗器械产品注册证情况。
文献和实验一、目的MDCK细胞培养是分离流感病毒及相关研究实验的基本技术。疾控中心的所有技术人员,必须按照本文件相关的操作规程进行操作。二、适用范围适用于疾控中心所有技术人员 。三、程序(一)生物安全要求实验室生物安全级别:BSL-1所有操作必须在BSL-1实验室的生物安全柜里进行。(二)材料1. 生长成片的MDCK细胞2. 无菌的T25细胞培养瓶3. D-MEM培养液(含有L-谷氨酰胺)4. 青、链霉素母液(10000 U/mL青霉素G;10000µg/mL硫酸链霉素),分装后保存于-20
一、目的MDCK细胞培养是分离流感病毒及相关研究实验的基本技术。疾控中心的所有技术人员,必须按照本文件相关的操作规程进行操作。二、适用范围适用于疾控中心所有技术人员 。三、程序(一)生物安全要求实验室生物安全级别:BSL-1所有操作必须在BSL-1实验室的生物安全柜里进行。(二)材料1. 生长成片的MDCK细胞2. 无菌的T25细胞培养瓶3. D-MEM培养液(含有L-谷氨酰胺)4. 青、链霉素母液(10000 U/mL青霉素G;10000µg/mL硫酸链霉素),分装后保存于-20
一、目的流感病毒的MDCK细胞分离方法是流感实验的关键技术,用于流感病毒的分离、培养。本SOP是为确保MDCK细胞分离流感病毒的操作准确、规范和可靠而制定。二、范围适用于实验室所有技术人员进行流感病毒的MDCK细胞分离。三、程序(一)生物安全要求H5,H7亚型高致病性禽流感病毒,H2N2亚型流感病毒的MDCK细胞分离实验室生物安全级别:BSL-3。实验操作人员需进行BSL-3防护,具体详见“生物安全个人防护SOP”。H5,H7亚型高致病性禽流感病毒,H2N2亚型流感病毒的MDCK细胞分离操作
技术资料暂无技术资料 索取技术资料








![NCI-H378 [H378]细胞](https://img1.dxycdn.com/2023/0912/771/6125436676164041071-14.jpeg!wh200)

