相关产品推荐更多 >
万千商家帮你免费找货
0 人在求购买到急需产品
- 详细信息
- 文献和实验
- 技术资料
- 免疫原:
Synthetic peptide of human Adenosine A1 Receptor.
- 亚型:
IgG
- 形态:
Liquid
- 保存条件:
Store as concentrated solution. Centrifuge briefly prior to opening vial. For short-term storage (1-2 weeks), store at 4ºC. For long-term storage, aliquot and store at -20ºC or below. Avoid multiple freeze-thaw cycles.
- 克隆性:
Monoclonal
- 标记物:
Unconjugated
- 保质期:
12 months from the shipping date of the product.
- 抗原来源:
Human
- 目录编号:
GTX638758
- 级别:
Primary Antibodies
- 库存:
Available
- 供应商:
GeneTex
- 宿主:
Rabbit
- 应用范围:
WB, IHC-P
- 浓度:
1 mg/ml (Please refer to the vial label for the specific concentration.)
- 抗体英文名:
Adenosine A1 Receptor antibody [HL2442]
- 抗体名:
Adenosine A1 Receptor 抗体 [HL2442]
- 规格:
100 μl/25 μl
| 规格: | 100 μl | 产品价格: | ¥4000.0 |
|---|---|---|---|
| 规格: | 25 μl | 产品价格: | ¥1700.0 |
Non-transfected (–) and transfected (+) HepG2 whole cell extracts (30 μg) were separated by 15% SDS-PAGE, and the membrane was blotted with Adenosine A1 Receptor antibody [HL2442] (GTX638758) diluted at 1:3000. The HRP-conjugated anti-rabbit IgG antibody (GTX213110-01) was used to detect the primary antibody.
Non-transfected (–) and transfected (+) MCF-7 whole cell extract (30 μg) were separated by 10% SDS-PAGE, and the membrane was blotted with Adenosine A1 Receptor antibody [HL2442] (GTX638758) diluted at 1:1000. The HRP-conjugated anti-rabbit IgG antibody (GTX213110-01) was used to detect the primary antibody.
Boiled and unboiled SH-SY5Y whole cell and membrane extracts (30 μg) were separated by 15% SDS-PAGE, and the membrane was blotted with Adenosine A1 Receptor antibody [HL2442] (GTX638758) diluted at 1:1000. The HRP-conjugated anti-rabbit IgG antibody (GTX213110-01) was used to detect the primary antibody.
Adenosine A1 Receptor antibody [HL2442] detects Adenosine A1 Receptor protein at cell membrane by immunohistochemical analysis.
Sample: Paraffin-embedded rat cerebellum.
Adenosine A1 Receptor stained by Adenosine A1 Receptor antibody [HL2442] (GTX638758) diluted at 1:100.
Antigen Retrieval: Citrate buffer, pH 6.0, 15 min
SH-SY5Y whole cell and membrane extracts (30 μg) were separated by 15% SDS-PAGE, and the membrane was blotted with Adenosine A1 Receptor antibody [HL2442] (GTX638758) diluted at 1:1000. The HRP-conjugated anti-rabbit IgG antibody (GTX213110-01) was used to detect the primary antibody.
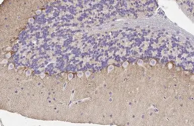
Adenosine A1 Receptor antibody [HL2442] detects Adenosine A1 Receptor protein at cell membrane by immunohistochemical analysis.
Sample: Paraffin-embedded mouse cerebellum.
Adenosine A1 Receptor stained by Adenosine A1 Receptor antibody [HL2442] (GTX638758) diluted at 1:200.
Antigen Retrieval: Citrate buffer, pH 6.0, 15 min
Adenosine A1 Receptor antibody [HL2442] detects Adenosine A1 Receptor protein at cell membrane by immunohistochemical analysis.
Sample: Paraffin-embedded mouse cerebellum.
Adenosine A1 Receptor stained by Adenosine A1 Receptor antibody [HL2442] (GTX638758) diluted at 1:100.
Antigen Retrieval: Citrate buffer, pH 6.0, 15 min
Adenosine A1 Receptor antibody [HL2442] detects Adenosine A1 Receptor protein at cell membrane by immunohistochemical analysis.
Sample: Paraffin-embedded rat tissue.
Adenosine A1 Receptor stained by Adenosine A1 Receptor antibody [HL2442] (GTX638758) diluted at 1:100.
Antigen Retrieval: Citrate buffer, pH 6.0, 15 min
Whole cell extract (30 μg) was separated by 15% SDS-PAGE, and the membrane was blotted with Adenosine A1 Receptor antibody [HL2442] (GTX638758) diluted at 1:1000. The HRP-conjugated anti-rabbit IgG antibody (GTX213110-01) was used to detect the primary antibody, and the signal was developed with Trident ECL plus-Enhanced.
风险提示:丁香通仅作为第三方平台,为商家信息发布提供平台空间。用户咨询产品时请注意保护个人信息及财产安全,合理判断,谨慎选购商品,商家和用户对交易行为负责。对于医疗器械类产品,请先查证核实企业经营资质和医疗器械产品注册证情况。
文献和实验Use of Affinity Chromatography in Purification of A1 Adenosine Receptors from Rat Brain Membranes
Purification of receptor proteins has always been an important and challenging task in advancing the structural characterization and also in providing sequence data for the molecular cloning of the recep- tors. Some of the difficulties
Characterization of P1 (Adenosine) Purinoceptors
adenosine (ADO) is an important modulator of cellular function in mammalian tissues, modulating cellular function and neuronal excitability via interactions with different cell surface receptor subtypes that are heterogeneously distributed
Overview of Receptor Allosterism
of the binding of the agonist, [3 H] N6 ‐cyclohexyladenosine ([3 H]CHA) by the modulator PD 81,723 at the A1 adenosine receptor in rat brain membranes. Data taken from Bruns and Fergus (). (C ) Simulations based on a model of concomitant orthosteric
技术资料暂无技术资料 索取技术资料









![VLDL Receptor antibody [VLDLR/1337]](https://img1.dxycdn.com/2022/0328/566/0915949845141700453-14.jpg!wh200)

