相关产品推荐更多 >
万千商家帮你免费找货
0 人在求购买到急需产品
- 详细信息
- 文献和实验
- 技术资料
- 免疫原:
Recombinant full-length human MiTF protein
- 亚型:
IgG1
- 形态:
Liquid
- 保存条件:
Store as concentrated solution. Centrifuge briefly prior to opening vial. For short-term storage (1-2 weeks), store at 4ºC. For long-term storage, aliquot and store at -20ºC or below. Avoid multiple freeze-thaw cycles.
- 克隆性:
Monoclonal
- 标记物:
Unconjugated
- 适应物种:
Human, Dog
- 保质期:
12 months from the shipping date of the product.
- 抗原来源:
Human
- 目录编号:
GTX34844
- 级别:
Primary Antibodies
- 库存:
Available
- 供应商:
GeneTex
- 宿主:
Mouse
- 应用范围:
IHC-P
- 浓度:
0.2 mg/ml (Please refer to the vial label for the specific concentration.)
- 靶点:
We do not recommend use of this product for Mouse,Rat.
- 抗体英文名:
MITF antibody [MITF/915]
- 抗体名:
MITF 抗体 [MITF/915]
- 规格:
100 μg
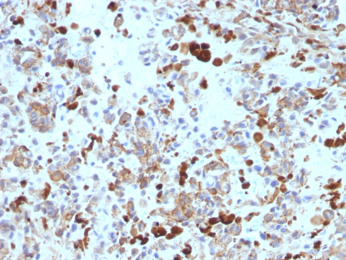
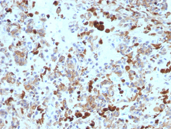
IHC-P analysis of human melanoma tissue using GTX34844 MITF antibody [MITF/915].
风险提示:丁香通仅作为第三方平台,为商家信息发布提供平台空间。用户咨询产品时请注意保护个人信息及财产安全,合理判断,谨慎选购商品,商家和用户对交易行为负责。对于医疗器械类产品,请先查证核实企业经营资质和医疗器械产品注册证情况。
文献和实验三句话读懂一篇 CNS:睡眠不足导致身心健康恶化;移植瘦子肠道菌群改善胖子健康……
pigmentation via a UVB- and MITF-independent mechanism。该研究发现线粒体内膜的蛋白-NNT(nicotinamide nucleotide transhydrogenase)通过调节线粒体的氧化还原水平,进而影响色素合成与沉积。图 6:来源 Cell7. Annals of Behavioral Medicine: 连续 3 日睡眠时间少于 6 小时,使身心健康恶化成年人群普遍睡眠不足。2021 年 7 月 6 日,美国南佛罗里达大学 Soomi Lee 助理
v468. chapter 4 WNT 细胞通路 检测细胞GSK3活性与表达水平
consists of 5% (w/v) dried skim milk in Trisbufferedsaline/Tween-20 (TBS-T) buffer (50 mM Tris-HCl,pH 7.5, 150 mM NaCl, and 0.05% (v/v) Tween-20). 4. All antibodies are diluted 1:1,000 in 1% (w/v) dried skim milkin TBS-T, except the CRMP2 antibody (1:250
a subset of genomic DNA sequences of type 5'-(NNN )3 -3', whereas the 6ZF library would recognize a subset of genomic sequences of type 5'-(NNN )6 -3'. Given the zinc-finger domains used, both libraries were more likely to recognize (RNN)x -type sequences
技术资料暂无技术资料 索取技术资料





![S100P antibody [S100P/4386R]](https://img1.dxycdn.com/2022/0328/839/6935318200949700453-14.jpg!wh200)

![TORC1 antibody [1B5]](https://img1.dxycdn.com/2022/0328/374/3484284068727500453-14.jpg!wh200)



