相关产品推荐更多 >
万千商家帮你免费找货
0 人在求购买到急需产品
- 详细信息
- 文献和实验
- 技术资料
- 免疫原:
Synthetic 20 amino acid peptide from C-terminus of human Adenosine A1 Receptor.
- 亚型:
IgG
- 形态:
Liquid
- 保存条件:
Store as concentrated solution. Centrifuge briefly prior to opening vial. For short-term storage (1-2 weeks), store at 4ºC. For long-term storage, aliquot and store at -20ºC or below. Avoid multiple freeze-thaw cycles.
- 克隆性:
Polyclonal
- 标记物:
Unconjugated
- 适应物种:
Human, Rat
- 保质期:
12 months from the shipping date of the product.
- 抗原来源:
Human
- 目录编号:
GTX77931
- 级别:
Primary Antibodies
- 库存:
Available
- 供应商:
GeneTex
- 宿主:
Rabbit
- 应用范围:
IHC-P
- 浓度:
1 mg/ml (Please refer to the vial label for the specific concentration.)
- 靶点:
Adenosine A1 Receptor
- 抗体英文名:
Adenosine A1 Receptor antibody
- 抗体名:
Adenosine A1 Receptor 抗体
- 规格:
25 μg
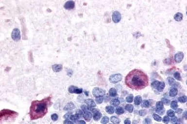
IHC-P analysis of rat brain, purkinje neurons tissue using GTX77931 Adenosine A1 Receptor antibody.
Antigen retrieval : Heat-induced antigen retrieval
风险提示:丁香通仅作为第三方平台,为商家信息发布提供平台空间。用户咨询产品时请注意保护个人信息及财产安全,合理判断,谨慎选购商品,商家和用户对交易行为负责。对于医疗器械类产品,请先查证核实企业经营资质和医疗器械产品注册证情况。
文献和实验Use of Affinity Chromatography in Purification of A1 Adenosine Receptors from Rat Brain Membranes
Purification of receptor proteins has always been an important and challenging task in advancing the structural characterization and also in providing sequence data for the molecular cloning of the recep- tors. Some of the difficulties
of neurotransmitters. Adenosine acts as a general depressant in the brain. In contrast, adenosine receptor antagonists show somnolytic and stimulant properties. Although purinergic psychopharmaceuticals are rare, the nonselective adenosine receptor antagonist caffeine
Characterization of P1 (Adenosine) Purinoceptors
adenosine (ADO) is an important modulator of cellular function in mammalian tissues, modulating cellular function and neuronal excitability via interactions with different cell surface receptor subtypes that are heterogeneously distributed
技术资料暂无技术资料 索取技术资料








