相关产品推荐更多 >
万千商家帮你免费找货
0 人在求购买到急需产品
- 详细信息
- 文献和实验
- 技术资料
- 免疫原:
Recombinant protein
- 亚型:
IgG
- 形态:
Liquid
- 保存条件:
Store as concentrated solution. Centrifuge briefly prior to opening vial. For short-term storage (1-2 weeks), store at 4ºC. For long-term storage, aliquot and store at -20ºC or below. Avoid multiple freeze-thaw cycles.
- 克隆性:
Monoclonal
- 标记物:
Unconjugated
- 适应物种:
Human
- 保质期:
12 months from the shipping date of the product.
- 抗原来源:
Human
- 目录编号:
GTX01143
- 级别:
Primary Antibodies
- 库存:
Available
- 供应商:
GeneTex
- 宿主:
Rabbit
- 应用范围:
WB, ICC/IF, IHC-P, FACS
- 浓度:
1 mg/ml (Please refer to the vial label for the specific concentration.)
- 靶点:
CDC2
- 抗体英文名:
CDC2 antibody [SM01-44]
- 抗体名:
CDC2 抗体 [SM01-44]
- 规格:
100 μl
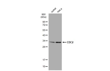
Various whole cell extracts (30 μg) were separated by 12% SDS-PAGE, and the membrane was blotted with CDC2 antibody [SM01-44] (GTX01143) diluted at 1:500. The HRP-conjugated anti-rabbit IgG antibody (GTX213110-01) was used to detect the primary antibody.
IHC-P analysis of human tonsil tissue section using GTX01143 CDC2 antibody [SM01-44].
ICC/IF analysis of PFA-fixed HeLa cells using GTX01143 CDC2 antibody [SM01-44].
Red : primary antibody
Blue : DAPI
Permeabilization : 0.25% Triton X-100 in PBS
ICC/IF analysis of PFA-fixed HepG2 cells using GTX01143 CDC2 antibody [SM01-44].
Red : primary antibody
Blue : DAPI
Permeabilization : 0.25% Triton X-100 in PBS
ICC/IF analysis of PFA-fixed HepG2 cells using GTX01143 CDC2 antibody [SM01-44].
Red : primary antibody
Blue : DAPI
Permeabilization : 0.25% Triton X-100 in PBS
FACS analysis of Jurkat cells using GTX01143 CDC2 antibody [SM01-44].
Red : primary antibody
Black : unlabelled control
Dilution : 1:50
风险提示:丁香通仅作为第三方平台,为商家信息发布提供平台空间。用户咨询产品时请注意保护个人信息及财产安全,合理判断,谨慎选购商品,商家和用户对交易行为负责。对于医疗器械类产品,请先查证核实企业经营资质和医疗器械产品注册证情况。
文献和实验1843-1865 See reference HeLa-S3 Mammalian septin (MSF) (44) AF189712 472-492 See reference HeLa Methyl-CpG-binding protein 2 (MeCP2) (19) AAGCAUGAGCCCGUGCAGCCA Hep3B Methyl-CpG binding domain protein 2 (MBD2) (19) AAGAGGAUGGAUUGCCCGGCC Hep
判定葡萄球菌凝固酶;试管法有1株菌鉴定假阴性;玻片法有8株菌假定假阳性,2株假阴性;乳胶血凝法有2株假阳性。试管法、玻片法、乳胶血凝法的敏感性分别为98.53%、97.30%和100%;特异性分别为100%、77.78%和94.44%。玻片法鉴定葡萄球菌凝固酶有9.01%的错误。结论:乳胶血凝法和试管法敏感性和特异性较高,是鉴定葡萄球菌凝固酶试验的好方法,玻片法的特异性较差,可能是由于人血浆中产生的葡萄球菌抗体所致。 [关键词] 葡萄球菌;鉴定方法;凝固
of First Hospital of Harbin Medical University. RPMI 1640 was purchased from GIBCO. Propidium iodide and Rnase were from Sigma Chemical Co. A murine monoclonal antibody against human Bcl-2 and Bax oncoprotein and antimi ce rabbit polyclonal antibody were purchased
技术资料暂无技术资料 索取技术资料





![THAP11 antibody [3F3]](https://img1.dxycdn.com/2023/0711/451/6106825198874858761-14.jpg!wh200)


