相关产品推荐更多 >
万千商家帮你免费找货
0 人在求购买到急需产品
- 详细信息
- 文献和实验
- 技术资料
- 免疫原:
Purified recombinant fragment of human THAP11 expressed in E. Coli.
- 亚型:
IgG1
- 形态:
Liquid
- 保存条件:
Store as concentrated solution. Centrifuge briefly prior to opening vial. For short-term storage (1-2 weeks), store at 4ºC. For long-term storage, aliquot and store at -20ºC or below. Avoid multiple freeze-thaw cycles.
- 克隆性:
Monoclonal
- 标记物:
Unconjugated
- 适应物种:
Human
- 保质期:
12 months from the shipping date of the product.
- 抗原来源:
Human
- 目录编号:
GTX82796
- 级别:
Primary Antibodies
- 库存:
Available
- 供应商:
GeneTex
- 宿主:
Mouse
- 应用范围:
WB, ICC/IF, IHC-P, FACS, ELISA
- 靶点:
THAP11
- 抗体英文名:
THAP11 antibody [3F3]
- 抗体名:
THAP11 抗体 [3F3]
- 规格:
100 μl
FACS analysis of HeLa cells using GTX82796 THAP11 antibody [3F3].
Green : THAP11
Purple : negative control
WB analysis of HeLa (1) and NTERA-2 (2) cell lysate using GTX82796 THAP11 antibody [3F3].
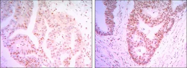
IHC-P analysis of colon cancer tissue (left) and ovary cancer tissue (right) using GTX82796 THAP11 antibody [3F3].
ICC/IF analysis of NTERA-2 cells using GTX82796 THAP11 antibody [3F3].
Green : THAP11
Red: Actin filaments
风险提示:丁香通仅作为第三方平台,为商家信息发布提供平台空间。用户咨询产品时请注意保护个人信息及财产安全,合理判断,谨慎选购商品,商家和用户对交易行为负责。对于医疗器械类产品,请先查证核实企业经营资质和医疗器械产品注册证情况。
文献和实验ELISPOT (Enzyme-linked ImmunoSPOT)
A 88-7370 eBio17CK15A5 eBio17B7 TNF-α 88-7328 1F3F3D4 mAb Cocktail Table 2: Human ELISPOT Ready-Set-Go! Sets & Antibody Selection Quick Guide
[资源] 所有的看家基因(housekeeping genes)列表+引物设计服务
sapiens synaptogyrin 2 (SYNGR2), mRNA 1414 NM_001127 Homo sapiens adaptor-related protein complex 1, beta 1 subunit (AP1B1), transcript variant 1, mRNA 873 NM_002107 Homo sapiens H3 histone, family 3A (H3F3A), mRNA 9328 NM_003899 Homo sapiens Rho
技术资料暂无技术资料 索取技术资料








