相关产品推荐更多 >
万千商家帮你免费找货
0 人在求购买到急需产品
- 详细信息
- 文献和实验
- 技术资料
- 免疫原:
This affinity purified antibody was prepared from whole rabbit serum produced by repeated immunizations with a synthetic peptide corresponding to residues near Y449 of mouse IL-7 protein.
- 亚型:
IgG
- 形态:
Liquid
- 保存条件:
Store as concentrated solution. Centrifuge briefly prior to opening vial. For short-term storage (1-2 weeks), store at 4ºC. For long-term storage, aliquot and store at -20ºC or below. Avoid multiple freeze-thaw cycles.
- 克隆性:
Polyclonal
- 标记物:
Unconjugated
- 适应物种:
Human, Mouse, Rat
- 保质期:
12 months from the shipping date of the product.
- 抗原来源:
Mouse
- 目录编号:
GTX48714
- 级别:
Primary Antibodies
- 库存:
Available
- 供应商:
GeneTex
- 宿主:
Rabbit
- 应用范围:
WB, ELISA, IHC
- 浓度:
0.82 mg/ml (Please refer to the vial label for the specific concentration.)
- 靶点:
IL7 Receptor alpha (phospho Tyr449)
- 抗体英文名:
IL7 Receptor alpha (phospho Tyr449) antibody
- 抗体名:
IL7 Receptor alpha (phospho Tyr449) 抗体
- 规格:
50 μg
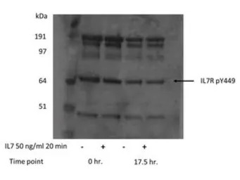
Western Blot of Rabbit anti- IL-7-Receptor-alpha-chain-pY449 antibody (GTX48714). Load: thymocyte D1 cells treated with or without IL-7 (50 ng/ml) for 20 min. Primary antibody: IL7pY449 antibody at 1:1000 for overnight at 4ºC. Secondary antibody: IRDye800™ rabbit secondary antibody at 1:10,000 for 45 min at RT. Block: 5% BLOTTO overnight at 4ºC. Predicted/Observed size: 55 kDa, ~64 kDa for IL7pY449. Other band(s): unspecifics.
Immunoprecipitation of Rabbit anti- IL-7-Receptor-alpha-chain-pY449 antibody. Lane 1: thymocyte D1 cells. Lane 2: thymocyte D1 cells treated with IL7 (50 ng/ml). IP: with anti-Phosphotyrosine conjugated to Protein G agarose. Primary antibody: IL7pY449 antibody at 1:10000 for overnight at 4ºC. Secondary antibody: HRP-conjugated goat anti-rabbit antibody at 1:10,000 for 45 min at RT and ECL detection. Block: 5% BLOTTO overnight at 4ºC. Predicted/Observed size: 55 kDa, ~64 kDa for IL7pY449. Other band(s): unspecifics.
风险提示:丁香通仅作为第三方平台,为商家信息发布提供平台空间。用户咨询产品时请注意保护个人信息及财产安全,合理判断,谨慎选购商品,商家和用户对交易行为负责。对于医疗器械类产品,请先查证核实企业经营资质和医疗器械产品注册证情况。
文献和实验kinase is KIR 3.1 and have developed a phospho-selective antibody against the Y12 motif of this channel. Much like KOR and p38 MAP kinase, phosphorylation of this potassium channel increases following repeated stress. The following chapter discusses
secondary antibody review -- data from 99 publications
cytometry used as a control to detect cell responses targeted antigen 7 Alexa Fluor 488 7 Cy3 8 goat IgG Alexa Fluor 488 1:2000 detect antibody binding in human embryonic kidney 293T cells Invitrogen 9 donkey
v468. chapter 4 WNT 细胞通路 检测细胞GSK3活性与表达水平
. Immunoblot using antibodies to phospho-Tyr279/216 can assess alterations in activity independent ofthe N-terminal phosphorylation, although phosphorylation atthis site is most likely to be constitutive (14) . 3. Immunoblot using antibodies to known
技术资料暂无技术资料 索取技术资料





![PSMA antibody [GCP-05]](https://img1.dxycdn.com/2023/0711/451/6106825198874858761-14.jpg!wh200)

![BCA1 antibody [N3C3]](https://img1.dxycdn.com/2023/0516/045/6925717576889828561-14.jpg!wh200)


