相关产品推荐更多 >
万千商家帮你免费找货
0 人在求购买到急需产品
- 详细信息
- 技术资料
- 免疫原:
KLH conjugated synthetic peptide between 241-270 amino acids from the C-terminal region of human CD38.
- 亚型:
IgG
- 形态:
Liquid
- 保存条件:
Store as concentrated solution. Centrifuge briefly prior to opening vial. For short-term storage (1-2 weeks), store at 4ºC. For long-term storage, aliquot and store at -20ºC or below. Avoid multiple freeze-thaw cycles.
- 克隆性:
Polyclonal
- 标记物:
Unconjugated
- 适应物种:
Human
- 保质期:
12 months from the shipping date of the product.
- 抗原来源:
Human
- 目录编号:
GTX81962
- 级别:
Primary Antibodies
- 库存:
Available
- 供应商:
GeneTex
- 宿主:
Rabbit
- 应用范围:
WB, ICC/IF, IHC-P, FACS
- 浓度:
Batch dependent (Please refer to the vial label for the specific concentration.)
- 靶点:
CD38
- 抗体英文名:
CD38 antibody, C-term
- 抗体名:
CD38 抗体, C-term
- 规格:
400 μl
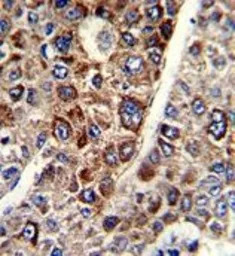
IHC-P analysis of human hepatocarcinoma using GTX81962 CD38 antibody, C-term.
ICC/IF analysis of HeLa cells using GTX81962 CD38 antibody, C-term.
Green : CD38
Blue : DAPI
WB analysis of 293 cell lysate (2 ug/lane) either nontransfected (Lane 1) or transiently transfected with the CD38 (Lane 2) using GTX81962 CD38 antibody, C-term.
Loading : 20ug
Dilution : 1:1000
IHC-P analysis of human hepatocarcinoma tissue using GTX81962 CD38 antibody, C-term.
Green : CD38
Red : Cell nuclear
Dilution : 0.05 mg/ml
WB analysis of RPMI8226 cell lysate using GTX81962 CD38 antibody, C-term.
Loading : 35ug
Dilution : 1:1000
FACS analysis of HepG2 cells using GTX81962 CD38 antibody, C-term.
Top histogram : negative control
Bottom histogram : HepG2 cells
风险提示:丁香通仅作为第三方平台,为商家信息发布提供平台空间。用户咨询产品时请注意保护个人信息及财产安全,合理判断,谨慎选购商品,商家和用户对交易行为负责。对于医疗器械类产品,请先查证核实企业经营资质和医疗器械产品注册证情况。
技术资料暂无技术资料 索取技术资料








![Integrin alpha 4 antibody [TA-2]](https://img1.dxycdn.com/2023/0711/451/6106825198874858761-14.jpg!wh200)
