相关产品推荐更多 >
万千商家帮你免费找货
0 人在求购买到急需产品
- 详细信息
- 文献和实验
- 技术资料
- 库存:
大量现货
- 英文名:
Solvent Red 27
- 保质期:
1年
- 供应商:
上海经科化学科技有限公司
- 保存条件:
室温保存
- 规格:
100ml

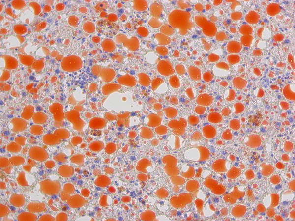
油红O又名苏丹红5B,是一种脂溶性偶氮染料。该染料能特异性使细胞或组织内的甘油三脂等中性脂质着色,对于磷脂和类固醇等染色较弱,基本原理是油红O溶于脂质中使脂质呈现红色至橘红色。本产品饱和油红O染液,是油红O的饱和溶液,使用前经蒸馏水稀释后,可用于组织切片或细胞的染色,染色后组织内的脂滴呈红色至橘红色。
储存与运输
常温避光保存与运输,有效期12个月。
使用方法
l 配制工作液:临用前,6份饱和油红O染液与4份蒸馏水充分混合均匀,置于60-70℃水浴30 min,自然冷却后用定性滤纸过滤,得到油红O工作液。需现配现用。另外,需自备60%异丙醇。
l 样本准备
1. 对于细胞:吸弃细胞培养液,向孔板边缘缓慢加入PBS简单清洗细胞。加入4%多聚甲全固定液室温固定8-10 min,PBS漂洗2次。
2. 对于冰冻切片:切片从-20℃取出后室温静置5-10 min恢复至常温。
l 染色步骤
1. 对于细胞
(1)向孔板内加入少量60%异丙醇覆盖细胞15-20 s,吸弃60%异丙醇,稍微晾干水分。
(2)向孔板内加入油红O工作液覆盖细胞,室温避光染色30 min,去除染色液。
(3)加入60%异丙醇快速分化3-5 s,纯水洗3次,每次5 min。
(4)(可选)加入苏木素染液对细胞核进行染色,水洗,返蓝再水洗。
(5)加入PBS覆盖细胞后显微镜观察。如果是细胞爬片,可用甘油明胶封片剂封片。
2. 对于冰冻切片
(1) 恢复至室温的冰冻切片轻轻浸入油红O工作液浸染8-10 min(加盖避光)。
(2) 取出切片,停留3 s后依次浸入两缸60%异丙醇分化3-5 s。
(3) 切片依次浸入两缸纯水中浸洗,每次10 s。
(4) (可选)切片浸入苏木素染液对细胞核进行染色,水洗,返蓝再水洗,稍微晾干水分后滴加甘油明胶封片剂封片。
注意事项
1. 如果是新鲜组织冰冻切片,需要对切片先固定后再染色。
2. 油红O工作液必须现配现用。加热过程中一定要密封,防止溶剂挥发。
3. 整个操作过程中注意动作轻缓,以免脂肪丢失或者移位。
4. 油红O染色后的样本不能长期保存,应尽快观察及拍照。
5. 用甘油明胶封片剂封片时需注意,尽量避免产生气泡,如果封片后有气泡不能按压玻片或强行撕扯盖玻片,否则会造成脂肪移位。可将玻片浸入50-60℃温水中,让盖玻片自行脱落,然后重新封片。
6. 为了您的安全和健康,操作时请穿实验服并佩戴一次性手套。
风险提示:丁香通仅作为第三方平台,为商家信息发布提供平台空间。用户咨询产品时请注意保护个人信息及财产安全,合理判断,谨慎选购商品,商家和用户对交易行为负责。对于医疗器械类产品,请先查证核实企业经营资质和医疗器械产品注册证情况。
文献和实验of complex and protein alone with the naked eye or a light microscope, crystals of covalently Cy5?labeled DNA can be directly used for X?ray diffraction data collection. Curr. Protoc. Nucleic Acid Chem. 46:7.15.1?7.15.8. © 2011 by John Wiley & Sons
。 ·所有染液使用后立即放回到搁板上防止混乱。 ·始终使用干净的玻璃器皿。 ·清楚天平、pH表等是否准确。 ·下列化学 试剂 应该冷藏保存: 对苯二酚(氢醌、几奴尼) 三聚乙醛(放于冰冻冷搁内保存,它会被冻成固体,但在室温下很容易被融化) 磷钼酸 强蛋白银(Protargol S) 硝酸银和含有硝酸银的液体
a subset of genomic DNA sequences of type 5'-(NNN )3 -3', whereas the 6ZF library would recognize a subset of genomic sequences of type 5'-(NNN )6 -3'. Given the zinc-finger domains used, both libraries were more likely to recognize (RNN)x -type sequences
技术资料








