搜索到 49 条记录

PLAT-E细胞 PLAT-E细胞 PLAT-E细胞
特别提醒:该产品仅限于实验室科学研究使用,不得用于其他用途 提供STR鉴定报告 细胞名称:PLAT-e细胞 人胚肾细胞组织来源:肾培养条件:DMEM +10% FBS;37℃,5% CO2形 态:贴壁;上皮细胞样 PubMed=31068700; DOI=10.1038/s415
文献支持品牌:GaiNing货号:CM-H010
¥2400

MEG-01 Cells
MEG-01 Cells 特性 1) 来源:巨核细胞母细胞;慢性骨髓性白血病(CML) 2) 形态:淋巴母细胞 3) 含量:1x106 个/mL 4) 污染:支原体、细菌、酵母和真菌检测为阴性 5) 规格:T25瓶或者1mL冻存管包装 中文名称 人成巨核细胞白血病细胞 英文名称
品牌:ATCC货号:H-MEG-01

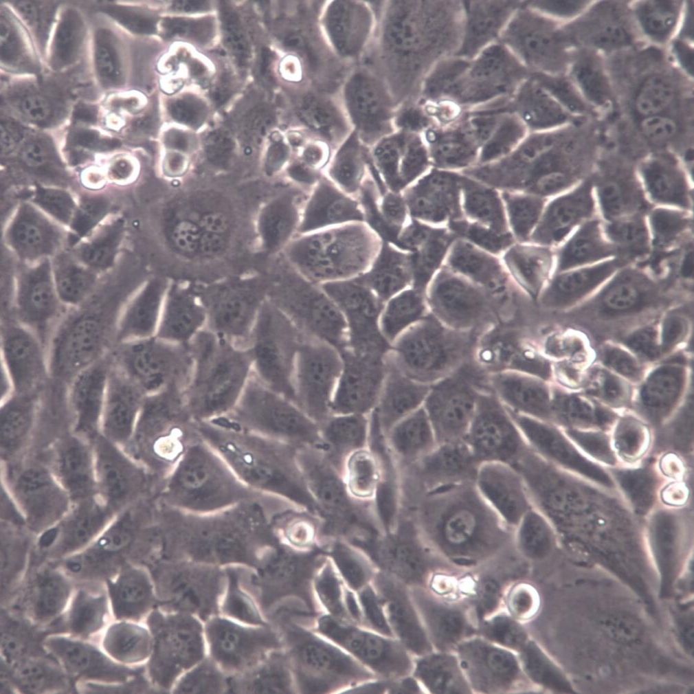
SN12C细胞 | SN12C细胞 | SN12-C细胞 | 人肾癌细胞 | STR鉴定
细胞特性 1) 来源:男性 肾 2) 形态:上皮细胞样 贴壁生长 3) 含量:1x10^6 细胞数 4) 规格:T25瓶或者1mL冻存管包装 5)用途:仅供科研使用。 一.培养基及培养冻存条件准备 1) 准备DMEM (推荐iCell-0001)培养基;优质胎牛血清,10%;双抗
文献支持品牌:iCell(赛百慷)货号:iCell-h580

H9c2(2-1)大鼠心肌细胞
产品名称:H9c2(2-1)大鼠心肌细胞产品规格:复苏发货,1×10^6/T25瓶细胞收到后处理:细胞在培养瓶中培养至良好状态后灌满完全培养液并封好瓶口是细胞运输的最好办法。收到细胞回到自己的实验室后,先打开外包装,用75%酒精喷洒整个瓶消毒后放到超净台内,严格无菌操作,培养箱静置
品牌:晶风生物货号:YS117C

RAW 264.7(单核巨噬细胞白血病)
RAW 264.7(单核巨噬细胞白血病): 细胞特性: 1) 来源:见说明 2) 形态:请直接向我司客服索取 3) 含量:1x10^6 细胞数 4) 规格:T25瓶或者1mL冻存管包装 5) 用途:仅供科研使用。 6) 污染:支原体、细菌、酵母和真菌检测为阴性 运输和保存 干冰
文献支持品牌:XKbio货号:XK-xb0204

ARPE-19/HPV-16人视网膜上皮细胞(附STR鉴定报告)、ARPE-19/HPV-16细胞
产品名称:ARPE-19/HPV-16人视网膜上皮细胞、ARPE-19/HPV-16人视网膜上皮细胞、ARPE-19/HPV-16人视网膜上皮细胞、ARPE-19/HPV-16人视网膜上皮细胞细胞介绍 该细胞系源自于一名19岁车祸罹难的健康男性的视网膜组织,由Amy Aotaki-
品牌:南京万木春货号:WM-23XM091

细胞株STR Profiling
应用于生物医学研究领域的哺乳动物细胞被错误鉴定和交叉污染的问题,一直是普遍存在的一个突出问题。据统计,国外实验室有20%左右的细胞株被错误鉴定和交叉污染,NIH和ATCC近两年都对此发出呼吁,要求研究者对细胞进行鉴定。一些权威杂志在作者投稿时就要求提供细胞株的STR基因型鉴定证明
文献支持品牌:GTB货号:GTB-N

DMS114细胞,ATCCCRL-2066细胞,DMS114细胞,人小细胞肺癌细胞
DMS 114细胞ATCC CRL-2066标准细胞株基本信息 出品公司: ATCC 细胞名称: DMS 114细胞, ATCC CRL-2066细胞, DMS114细胞, 人小细胞肺癌细胞 细胞又名: DMS-114; DMS114 存储人: OS Pettengill, G
文献支持品牌:诺安基因货号:RN-15683

GC-1 spg细胞、GC-1 spg细胞株、GC-1 spg细胞系
PubMed=20215515; DOI=10.1158/0008-5472.CAN-09-3458Rothenberg S.M., Mohapatra G., Rivera M.N., Winokur D., Greninger P., Nitta M., Sadow P.M.
文献支持品牌:ATCC,ECACC,ScienCell, DSMZ, RIKEN 等货号:PT-M2046

永生化人卵巢癌相关成纤维细胞(人卵巢CAF)
永生化人卵巢癌相关成纤维细胞 产品编号:CL-559h 产品规格:5×10⁵cells 包装规格:1mL冻存细胞悬液或T-25培养瓶 一.细胞描述 卵巢是雌性动物的生殖器官。卵巢的功能是产生卵以及类固醇激素。卵巢左右各一,灰红色,质较韧硬,呈扁平的椭圆形,表面凸隆,幼女者表面平滑
品牌:SAIOS(赛奥斯)货号:CL-559h

QGY-7703细胞
细胞名称:QGY7703 人肝癌细胞 组织来源:肝 培养条件:1640 +10% FBS 形 态:贴壁;上皮细胞样 购买细胞注意事项: 1. 收到细胞后首先观察细胞瓶是否完好,培养液是否有漏液、浑浊等现象,若有上述现象发生请及时和我们联系。 2. 仔细阅读细胞说明书,了解细胞相关
品牌:ATCC,DSMZ, ECACC, RIKEN 等货号:CM-H373
¥600-2000

TM-31细胞(人乳腺癌细胞)
TM-31细胞(人乳腺癌细胞) 一、细胞基本属性 细胞名称 TM-31细胞(人乳腺癌细胞) 细胞别称 TM-31细胞 商品货号 HZ-51599HC 种属来源 人 年龄性别 42岁/女 组织来源 乳腺 生长特性 贴壁生长 细胞形态 成纤维细胞样 背景简介 TM-31细胞来源于一名
品牌:HZBIO/沪震实业货号:HZ-51599HC
¥8500

MLE-12 小鼠肺上皮细胞
肾细胞 MDCK[NBL-2] 狗肾上皮细胞 MDCK-EGFP-puro(慢病毒构建稳定株) 狗肾上皮细胞 MGC-803 人胃癌细胞 MHCC-97H 人肝癌细胞(高转移) MHCC-97L 人肝癌细胞(低转移) MIAPaca-2 人胰腺癌细胞 MKN-45 人胃癌细胞 ML
品牌:干细胞货号:MSC

ATCC
2006 年 8 月,中源公司正式成为 ATCC 在中国的指定授权经销商,承担中国的 ATCC 产品进口业务和销售业务。从此订购 ATCC产品不再困难。 关于ATCC (美国标准生物品收藏中心) ATCC的成立可追溯到1925年。而今,ATCC已经发展成了一个全球性的非营利性的生
品牌:ATCC货号:ATCC

人卵巢癌细胞SK-OV-3 (通过STR鉴定)
到冻存管中,注意冻存管做好标识。本公司按每个冻存管细胞数目大于1X106个细胞冻存。3.将冻存管置于程序降温盒中,放入-80度冰箱,至少2个小时以后转入液氮灌储存。记录冻存管位置以便下次拿取。 细胞运输: 干冰运输(2ml冻存管)或活细胞运输(T25细胞瓶) SK-OV-3 (人卵
文献支持品牌:FUYUBIO货号:FY-PRPR215

SERANA® 胎牛血清 (AD)级
SERANA®胎牛血清 货号:FBS-TZT018 常年热销款 肿瘤细胞的不二之选 产品信息: 货号:FBS-TZT018 是一款标准等级的血清 适用范围广,实验室内常见的各类肿瘤细胞培养传代,常规的癌细胞培养 产品特点: 》正规血源,可追溯 》全封闭心脏穿刺采血 》采用先进的高
品牌:SERANA®货号:FBS-TZT018
¥1999

HMEEC-1细胞株
传代方法:1:2传代 培养条件:MCDB 131基础培养基+10%胎牛血清+10 ng/mL表皮生长因子+1 pg/mL氢化可的松+2 mM mM L-内胺酷-谷气酷胺溶液+1%P/S 细胞接收后的处理: 1)收到细胞后,75%酒精消毒瓶壁将T25瓶置于37℃培养箱放置约2-3h
品牌:和序生物货号:HX-0344
询价

Loucy人淋巴白血病细胞
"细胞质检情况:不含细菌、真菌、支原体等微生物污染 传代建议:1:2~1:3传代,2~3天换液1次 特别提醒:签收细胞后,如细胞状态不佳,或培养中遇到问题,烦请当天尽快联系,以便处理。当天及时反馈细胞情况和细胞照片是售后跟踪处理重要的参考依据,请务必重视。 悬浮细胞接收后的操作流
品牌:ATCC,ECACC,ScienCell, DSMZ, RIKEN 等货号:JNO-20521

RAW 264.7-LUC-GFP-Puro【RAW264.7-LUC;RAW264.7-GFP;RAW 264.7-LUC;RAW 264.7-GFP】双标记的小鼠单核巨噬细胞白血病细胞
Raw264.7小鼠单核巨噬细胞白血病细胞(通过STR鉴定) 以上产品图片均为本公司细胞出入库时拍摄 培养条件: 培养基:DMEM,10%FBS,SP,NEAA; 气相:空气95%,二氧化碳5%; 温度:37℃培养 ATCC参考图片: BCRC参考图片: 描述:该细胞株建自Abe
品牌:澳音生物货号:SAc0326LG
¥3500

HMC-1 ;人肥大细胞HMC1
使用前请仔细阅读说明书,如有任何问题,请第一时间与销售人员联系!细胞名称HMC-1 人肥大细胞货 号XY-XH5987细胞来源国际引进细胞形态淋巴母细胞样生长方式悬浮生长描 述来源于一名 52 岁男性肥大细胞白血病患者的外周血样本。该细胞有多重亚型分别为:HMC-1 5C6,HM
品牌:ATCC、DSMZ、ECACC、RIKEN、promocell、ScienCell、ECACC、JCRB、KCLB、Asterand、ICLC以及少数国内外著名大学建系货号:XY-XH5987
¥9000-10000

人脐静脉内皮细胞HUVEC
产品名称:人脐静脉内皮细胞HUVEC 传代方法 第一次建议1:2传代 冻存条件 细胞库无血清冻存液 细胞描述 STR鉴定正确国内细胞库建系,可以提供STR检测,该细胞培养时可能会有部分漂浮凋亡现象。4-6天左右传一次,可以传20代左右本库的细胞仅用于科研工作,未经许可不得用于其他目
文献支持品牌:ATCC/DSMZ/中科院货号:YS908C



