相关产品推荐更多 >
万千商家帮你免费找货
0 人在求购买到急需产品
- 详细信息
- 文献和实验
- 技术资料
- 品系:
详见说明书
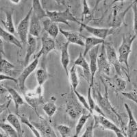
- 细胞类型:
科研细胞
- 肿瘤类型:
详见说明书
- 供应商:
上海晅科生物科技有限公司
- 库存:
100
- 英文名:
mREC
- 生长状态:
贴壁
- 年限:
详询
- 运输方式:
根据客服要求
- 器官来源:
详见说明书
- 是否是肿瘤细胞:
详询
- 细胞形态:
上皮样
- 免疫类型:
详见说明书
- 物种来源:
视网膜;内皮细胞
- 相关疾病:
详见说明书
- 组织来源:
视网膜
适用范围:
本产品仅限于科学研究,绝不可作为人类或者动物疾病的治疗产品使用。
细胞特性:
1) 规格:T25瓶或者1mL冻存管包装
2) 含量:>1x10^6
3) 污染:支原体、细菌、酵母和真菌检测为阴性
4) 来源:见说明
5) 形态:请直接向我司客服索取
1)运输和保存
可选择干冰运输及发送复苏存活细胞方式:
1.干冰运输,收到后立即转入液氮或者-80度冰箱冻存或直接复苏;
2.存活细胞,收到后应继续生长,传代达到细胞生长状态良好时,再进行冻存。具体操作见细胞培养步骤。
3.收到细胞后请拍照,3天内如果发现污染,请及时拍照与我们联系。
2) 细胞传代:如果细胞密度达80%-90%,即可进行传代培养。
对于贴壁细胞,传代可参考以下方法:
1.弃去培养上清,用不含钙、镁离子的PBS润洗细胞1-2次。
2.加2ml消化液(0.25%Trypsin-0.53mM EDTA)于培养瓶中,置于37℃培养箱中消化1-2分钟,然后在显微镜下观察细胞消化情况,若细胞大部分变圆并脱落,迅速拿回操作台,轻敲几下培养瓶后加少量培养基终止消化。
3.按6-8ml/瓶补加培养基,轻轻打匀后吸出,在1000RPM条件下离心4分钟,弃去上清液,补加1-2mL培养液后吹匀。
4.将细胞悬液按1:2到1:5的比例分到新的含8ml培养基的新皿中或者瓶中。
细胞接受后的处理:
1) 收到细胞后,请检查是否漏液,如果漏液,请拍照片发给我们。
2) 请先在显微镜下确认细胞生长状态,去掉封口膜并将T25瓶置于37℃培养约2-3h。
3) 弃去T25瓶中的培养基,添加6ml新的的完全培养基。
4) 如果细胞长满(90%以上)请及时进行细胞传代。
5) 接到细胞次日,请检查细胞是否污染,若发现污染或疑似污染,请及时与我们取得联系。
1,细胞冻存时,弃去培养基后,PBS清洗一遍后加入1ml胰酶,细胞变圆脱落后,加入1ml含血清的培养基终止消化,可使用血球计数板计数。
2,4min 1000rpm 离心去掉上清。加1ml血清重悬细胞,根据细胞数量加入血清和DMSO,轻轻混匀,DMSO终浓度为10%,细胞密度不低于1x10E6/ml,每支冻存管冻存1ml细胞悬液,注意冻存管做好标识。
3,将冻存管置于程序降温盒中,放入-80度冰箱,至少2个小时以后转入液氮灌储存。记录冻存管位置以便下次拿取。
ATCC是全球首屈的生物材料资源和标准组织,其使命主要集中在标准参考微生物,细胞系和其他材料的获取,鉴定,生产,保存,开发和分销。在保持传统收集材料的同时,ATCC开发出高质量的产品,标准和服务,以支持改善全球人口健康的科学研究和突破。
晅科生物致力于为国内科研用户提供Z优质的产品,最完善的服务。帮助您实验顺利。
如需订购mREC 小鼠视网膜内皮细胞,请联系我们,此外公司还提供:
| 人慢性B细胞白血病细胞 |
| 人NK/T细胞淋巴瘤细胞 |
| 正常人皮肤黑色素细胞 |
| 人视网膜色素上皮细胞 |
| 人视网膜色素上皮细胞 |
| 人卵巢癌细胞 |
| 猪回肠上皮细胞 |
| 大鼠神经雪旺氏细胞 |
| 人脐静脉血管内皮细胞 |
| 人绒毛膜滋养层细胞 |
| 人急性骨髓白血病细胞 |
| 人急性髓细胞性白血病细胞 |
| 小鼠脑微血管内皮细胞 |
| 人前列腺癌细胞 |
| 人前列腺癌细胞 |
| 人口腔黏膜癌前病变细胞 |
| 人舌磷癌细胞 |
风险提示:丁香通仅作为第三方平台,为商家信息发布提供平台空间。用户咨询产品时请注意保护个人信息及财产安全,合理判断,谨慎选购商品,商家和用户对交易行为负责。对于医疗器械类产品,请先查证核实企业经营资质和医疗器械产品注册证情况。
文献和实验小鼠视网膜铺片及免疫荧光染色 在研究血管性视网膜疾病时,由于小鼠眼球较小,不便于进行眼底血管的直接观察。病理切片染色是诊断及评判的金标准,但该方法只能观察切面形态。视网膜铺片是研究血管性视网膜疾病的常用方法。 下面介绍详细操作流程: 第一步:心脏灌流固定 小鼠麻醉后,仰卧位固定小鼠四肢, 剪开胸腔,充分暴露心脏,在心尖左旁2 mm处用输液针头刺入并剪开右心耳, 迅速灌注生理盐水100mL, 肝肠变白表明灌注成功, 旋转输液开关, 再灌入多聚甲醛溶液100 mL, 小鼠四
内皮细胞分布于整个循环系统,从心脏到最小的毛细血管。在这个步骤中,气管的活力很非常重要。取出器官和开始消化之间的时间越短将提高细胞更有活力的产出及不在含氧量低的条件下太久。小鼠的数量需要:小鼠应该是5~6周大小。年龄大的小鼠内皮细胞的产出会少些。最少5个小鼠可以得到很好的产出。 一、材料和试剂 1. 内皮细胞生长添加剂(ECGS)(Sigma,catalognumber:E2759) 2. 胶原酶I(Invitrogen,Catalognumber:17100-017
视频包括剥离小鼠胚胎视网膜、出生后的视网膜以及成年视网膜,在类似体内环境下器官型培养视网膜全胚胎,以及视网膜全胚胎的离解和细胞离心涂片等内容。0:00 在类似体内环境下器官型培养小鼠视网膜全胚胎0 0:21 内容订阅21 0:35 内容简介35 1:50 摘除小鼠眼睛并剥离视网膜110 4:02 小鼠胚胎视网膜、出生后的视网膜以及成年视网膜的剥离242 11:40 小鼠器官型视网膜全胚胎培养700 14:10 解剖培养的视网膜全胚胎850 19:35 清洗










