万千商家帮你免费找货
0 人在求购买到急需产品
- 详细信息
- 文献和实验
- 技术资料
- 供应商:
上海晅科生物科技有限公司
- 库存:
100
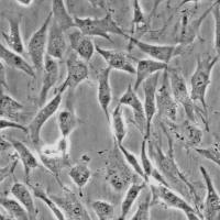
- 英文名:
SCC-15
- 运输方式:
复苏
适用范围:
本产品仅限于科学研究,绝不可作为人类或者动物疾病的治疗产品使用。
细胞特性:
1) 规格:T25瓶或者1mL冻存管包装
2) 含量:>1x10^6
3) 污染:支原体、细菌、酵母和真菌检测为阴性
4) 来源:见说明
5) 形态:请直接向我司客服索取
1)运输和保存
可选择干冰运输及发送复苏存活细胞方式:
1.干冰运输,收到后立即转入液氮或者-80度冰箱冻存或直接复苏;
2.存活细胞,收到后应继续生长,传代达到细胞生长状态良好时,再进行冻存。具体操作见细胞培养步骤。
3.收到细胞后请拍照,3天内如果发现污染,请及时拍照与我们联系。
2) 细胞传代:如果细胞密度达80%-90%,即可进行传代培养。
对于贴壁细胞,传代可参考以下方法:
1.弃去培养上清,用不含钙、镁离子的PBS润洗细胞1-2次。
2.加2ml消化液(0.25%Trypsin-0.53mM EDTA)于培养瓶中,置于37℃培养箱中消化1-2分钟,然后在显微镜下观察细胞消化情况,若细胞大部分变圆并脱落,迅速拿回操作台,轻敲几下培养瓶后加少量培养基终止消化。
3.按6-8ml/瓶补加培养基,轻轻打匀后吸出,在1000RPM条件下离心4分钟,弃去上清液,补加1-2mL培养液后吹匀。
4.将细胞悬液按1:2到1:5的比例分到新的含8ml培养基的新皿中或者瓶中。
细胞接受后的处理:
1) 收到细胞后,请检查是否漏液,如果漏液,请拍照片发给我们。
2) 请先在显微镜下确认细胞生长状态,去掉封口膜并将T25瓶置于37℃培养约2-3h。
3) 弃去T25瓶中的培养基,添加6ml新的的完全培养基。
4) 如果细胞长满(90%以上)请及时进行细胞传代。
5) 接到细胞次日,请检查细胞是否污染,若发现污染或疑似污染,请及时与我们取得联系。
1,细胞冻存时,弃去培养基后,PBS清洗一遍后加入1ml胰酶,细胞变圆脱落后,加入1ml含血清的培养基终止消化,可使用血球计数板计数。
2,4min 1000rpm 离心去掉上清。加1ml血清重悬细胞,根据细胞数量加入血清和DMSO,轻轻混匀,DMSO终浓度为10%,细胞密度不低于1x10E6/ml,每支冻存管冻存1ml细胞悬液,注意冻存管做好标识。
3,将冻存管置于程序降温盒中,放入-80度冰箱,至少2个小时以后转入液氮灌储存。记录冻存管位置以便下次拿取。
ATCC是全球首屈的生物材料资源和标准组织,其使命主要集中在标准参考微生物,细胞系和其他材料的获取,鉴定,生产,保存,开发和分销。在保持传统收集材料的同时,ATCC开发出高质量的产品,标准和服务,以支持改善全球人口健康的科学研究和突破。
晅科生物致力于为国内科研用户提供Z优质的产品,最完善的服务。帮助您实验顺利。
如需订购SCC-15 人舌磷癌细胞,请联系我们,此外公司还提供:
| 人卵巢癌细胞 |
| 人胚胎眼巩膜成纤维细胞 |
| 人卵巢透明细胞癌细胞 |
| 人乳腺管癌细胞 |
| 人舌鳞癌细胞 |
| 小鼠脑瘤细胞 |
| 人急性髓系白血病细胞 |
| 人小细胞肺癌细胞 |
| 小鼠肺癌细胞 |
| 人急性髓系白血病细胞 |
| 人急性髓系白血病细胞 |
| 人B淋巴细胞 |
| 人乳腺管癌细胞 |
| 小鼠鳞状细胞癌细胞 |
| 人舌鳞癌细胞 |
| 人肺腺鳞癌细胞 |
| 人乳腺癌细胞 |
| 人前列腺上皮细胞 |
风险提示:丁香通仅作为第三方平台,为商家信息发布提供平台空间。用户咨询产品时请注意保护个人信息及财产安全,合理判断,谨慎选购商品,商家和用户对交易行为负责。对于医疗器械类产品,请先查证核实企业经营资质和医疗器械产品注册证情况。
文献和实验15 秒止血!MIT 赵选贺团队受自然启发,研制出如此神奇的
Biomed Eng主要研究内容藤壶胶样的生物粘合剂及其止血性能该生物粘合剂由疏水的油性基质和生物黏合剂微粒组成,它们分别与藤壶胶中富含脂质的基质和黏附蛋白具有相似的功能。其形态为可注射的膏状物,借助温和的压力,疏水的油性基质能够排斥血液,从而使压实的生物黏合剂微粒相互作用,并与组织表面彼此交联,在 15 秒内形成牢固的黏附,而不需要额外的辅助。这种排斥交联机制使藤壶胶生物黏合剂具有快速和不依赖体内凝血系统的止血能力。图片来源:Nat Biomed Eng为了研究疏水的油性基质和生物黏合剂微粒对止血的作用
【求助】STAT3在人舌癌细胞株Tca8113中是否高表达?
ykzj1981 请教各位,我曾查阅文献,有人已经证实口腔鳞癌中存在STAT3的高表达,但Tca8113中是否存在,至今未查到相关文献,是Tca8113中不存在,还是没有人做,请教各位! qingguyouquan Tca8113是国产口腔癌肿瘤细胞株,好像是二医的,国外认可度低,楼主用它做实验效果可能不太好,并且最多发国内期刊。 http://www.ncbi.nlm.nih.gov/sites/entrez
【求助】请问大家一下stk15这个基因一般都是做的那些位点啊
duanshengyu0223 请问大家一下stk15这个基因一般都是做的那些位点啊 侠骨仁医 stk15应该就是Aurora Kinase,目前做的比较多的多态性是T91A F31I Phe31Ile,但是在不同肿瘤和STK15多态性的关联是不一样的,关键看你的研究目的。建议楼主自己好好复习文献,应该可以得到不少启发,附上两篇相关我文献。 duanshengyu0223 嗯,谢谢
技术资料暂无技术资料 索取技术资料









