万千商家帮你免费找货
0 人在求购买到急需产品
- 详细信息
- 文献和实验
- 技术资料
- 免疫原:
A synthetic peptide from the C-terminal region of ERBB2, human origin.
- 亚型:
lgG
- 形态:
液体
- 保存条件:
-20℃
- 克隆性:
多克隆
- 标记物:
详询
- 适应物种:
脊椎动物
- 保质期:
24个月
- 抗原来源:
蛋白
- 目录编号:
TD-21200
- 级别:
科研级
- 库存:
999
- 供应商:
武汉天德
- 宿主:
兔
- 应用范围:
ELISA, WB, IHC
- 浓度:
0.1 mg/ml
- 靶点:
ERBB2
- 抗体英文名:
Anti-ERBB2 Rabbit polyclonal antibody
- 抗体名:
ERBB2 Polyclonal
- 规格:
100 μL
ERBB2 Polyclonal
| Cat. #: TD-21200 |
| Gene Symbol: ERBB2/HER2/Neu/c-Neu |
| Description: Anti-ERBB2 Rabbit polyclonal Antibody |
| Background: The HER-2/neu oncogene, a member of the epidermal growth factor receptor or erb-B gene-like family, encodes a transmembrane tyrosine kinase receptor that mediates extracellular signals activated by epidermal growth factors. Her2 abnormal has been strongly associated with many malignant tumors, especially with breast cancers. The expression level of Her2 is an important critiria in clinic evaluating of the progression of breast cancer. |
| Immunogen: A synthetic peptide from the C-terminal region of ERBB2, human origin. |
| Applications: ELISA, WB, IHC |
| Recommended Dilutions: ELISA: 1:1000-1:5000 WB: 1:100-1:1000 IHC: 1:50-1:100 |
| Concentration: 0.1 mg/ml |
| Host Species: Rabbit |
| Format: Liquid |
| Clonality: Polyclonal |
| Isotype: IgG |
| Purity: Purified from serum |
| Preservative: No |
| Constituents: PBS (without Mg2+ and Ca2+), pH 7.4, 150 mM NaCl, 50% glycerol |
| Species Reactivity: Recognizes Erb-B2 of vertebrates. |
| Storage Conditions: Store at -20°C. Avoid repeated freezing and thawing. |
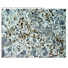
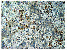
Immunohistochemistry:
|
风险提示:丁香通仅作为第三方平台,为商家信息发布提供平台空间。用户咨询产品时请注意保护个人信息及财产安全,合理判断,谨慎选购商品,商家和用户对交易行为负责。对于医疗器械类产品,请先查证核实企业经营资质和医疗器械产品注册证情况。
文献和实验to 50. If monoclonal antibodies are desired, once you have a "good" polyclonal and a reliable screening method proceed to the next step. Rabbits: Rabbits are immunized essentially as described above. Injections: First in Freund''s
Polyclonal and Monoclonal Antibodies
Polyclonal Antibody Immunization of Mice: Injections should be made at intervals of at least two weeks.. We have been using either of the two following adjuvants with success: Freund adjuvant and MPL+TDM adjuvant ( RIBI ImmunoChem
Polyclonal Antibody Production
Your antigen should at least have a molecular weight of 20 KDa for development of a strong immune response in animals. If it is a small protein , it can be linked to a larger protein by chemical methods
技术资料暂无技术资料 索取技术资料











