相关产品推荐更多 >
万千商家帮你免费找货
0 人在求购买到急需产品
- 详细信息
- 文献和实验
- 技术资料
- 免疫原:
A synthetic peptide from the internal region of EGFR which includes the mutation of L858R, human origin.
- 亚型:
IgG1
- 形态:
液体
- 保存条件:
-20℃
- 克隆性:
单克隆
- 标记物:
FITC
- 适应物种:
脊椎动物
- 保质期:
24个月
- 抗原来源:
蛋白
- 目录编号:
TD-26082
- 级别:
科研级
- 库存:
999
- 供应商:
武汉天德
- 宿主:
Mouse
- 应用范围:
ELISA, WB, IF, IHC
- 浓度:
1mg/ml
- 靶点:
L858R
- 抗体英文名:
Anti EGFR(L858R) Mouse Monoclonal Antibody
- 抗体名:
EGFR(L858R)
- 规格:
100 μL
EGFR(L858R)
| Cat. #: TD-26082 |
| Gene Symbol: EGFR/HER1/ERBB1 |
| Description: Anti-EGFR(L858R) Mouse Monoclonal Antibody |
| Background: EGFR is a receptor tyrosine kinase binding ligands of the EGF family and activating several signaling cascades to convert extracellular cues into appropriate cellular responses. It activates at least 4 major downstream signaling cascades including the RAS-RAF-MEK-ERK, PI3 kinase-AKT, PLC gamma-PKC and STATs modules. Defects in EGFR are associated with lung cancer (LNCR). |
| Immunogen: A synthetic peptide from the internal region of EGFR which includes the mutation of L858R, human origin. |
| Applications: ELISA, WB, IF, IHC |
| Recommended Dilutions: ELISA: 1:1000-1:5000 WB: 1:1000-1:5000 IHC: 1:50-1:100 |
| Concentration: 1 mg/ml |
| Host Species: Mouse |
| Format: Liquid |
| Clonality: Monoclonal |
| Isotype: IgG1 |
| Purity: Purified from ascites |
| Preservative: No |
| Constituents: PBS (without Mg2+ and Ca2+), pH 7.4, 150 mM NaCl, 50% glycerol |
| Species Reactivity: Recognizes EGFR(L858R), but not wild type EGFR from vertebrates. |
| Storage Conditions: Store at -20°C. Avoid repeated freezing and thawing. |
Western blot:

Immunofluorescence:

Immunofluorescence of cells expressing EGFR proteins with anti EGFR(L858R) antibody. HEK293T cells were transfected with pCDNA3-GFP-EGFR (WT) plasmid (left column) or pCDNA3-GFP-EGFR L858R) plasmid (right column), then fixed and stained with anti- EGFR(L858R) monoclonal antibody (Cat. # TD-26082).
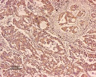
Immunohistochemistry:

Immunohistochemical analysis of paraf\fin-embedded human NSCLC tissue with anti-EGFR(L858R) monoclonal antibody (Cat. #TD-26082). Tissue samples were fixed with formaldehyde and blocked with 1% serum for 15 min at 37 °C. Antigen retrieval was by heat mediation in citrate buffer (pH6). Samples were then incubated with primary antibody (1:400) overnight at 4°C. A HRP-conjugated Goat anti-mouse IgG (dilution 1:100) was used as secondary antibody.
风险提示:丁香通仅作为第三方平台,为商家信息发布提供平台空间。用户咨询产品时请注意保护个人信息及财产安全,合理判断,谨慎选购商品,商家和用户对交易行为负责。对于医疗器械类产品,请先查证核实企业经营资质和医疗器械产品注册证情况。
文献和实验厦门大学的研究团队评估了 EGFR 作为三阴乳腺癌免疫治疗靶点的可能性,通过体内实验和体外实验的结果得出,EGFR CAR-T 细胞展示出对三阴乳腺癌细胞强大的杀伤效果和潜力,提出 EGFR CAR-T 可以进一步向临床方向进行探索,获益更多的患者。 三阴乳腺癌(TNBC)以其侵袭性强、复发快速和预后效果差而闻名。目前以嵌合抗原受体 T (CAR-T)细胞为首的免疫疗法,已经成为治疗 TNBC 的一种有效工具,而其中肿瘤特异性抗原的选择和 CAR 结构的设计成为 CAR-T 治疗的挑战。 中国
。在中国 NSCLC 患者中,EGFR 突变率约为 30%,其中腺癌患者的突变率高达 50% 左右。研究发现,EGFR-T790M 突变小鼠以及 EGFR-L858R-T790M 突变小鼠比 EGFR-L858R 单突变小鼠的肿瘤潜伏期要更长,更适适用于耐药性机制研究[4]。 图 3. EGFR 相关信号通路 集萃药康针对 EGFR 突变靶点也做了相应的布局,包括 20 号外显子 T790M 点突变,C797S 突变及 21 号外显子 L858R 突变小鼠模型,与组织特异性 cre 鼠配繁
Clinical Advancement of EGFR Inhibitors in Cancer Therapy
The epidermal growth factor receptor (EGFR) represents one of the most promising molecular targets in cancer therapeutics. An array of EGFR inhibitory drugs have been developed that are progressing rapidly in oncology clinical trials
技术资料暂无技术资料 索取技术资料










