相关产品推荐更多 >
万千商家帮你免费找货
0 人在求购买到急需产品
- 详细信息
- 文献和实验
- 技术资料
- 免疫原:
Purified ALK protein, human origin.
- 亚型:
lgG
- 形态:
液体
- 保存条件:
-20℃
- 克隆性:
多克隆
- 标记物:
FITC
- 适应物种:
脊椎动物
- 保质期:
24个月
- 抗原来源:
蛋白
- 目录编号:
TD-21280
- 级别:
科研级
- 库存:
999
- 供应商:
武汉天德
- 宿主:
兔
- 应用范围:
ELISA, WB, IHC
- 浓度:
0.2mg/ml
- 靶点:
ALK
- 抗体英文名:
Anti-ALK Rabbit polyclonal antibody
- 抗体名:
ALK Polyclonal Antibody
- 规格:
100 μL
ALK Polyclonal Antibody
| Cat. #: TD-21280 |
| Gene Symbol: ALK, CD246, NBLST3 |
| Description: Anti-ALK Rabbit Polyclonal Antibody |
| Background: Anaplastic lymphoma kinase (ALK) also known as ALK tyrosine kinase receptor or CD246 (cluster of differentiation 246) is a neuronal orphan receptor tyrosine kinase. ALK is essentially and transiently expressed in specific regions of the central and peripheral nervous systems and plays an important role in the genesis and differentiation of the nervous system. Abnormal ALK, by fusion with other genes, gaining additional gene copies or mutations, can be oncogenic. |
| Immunogen: Purified ALK protein, human origin. |
| Applications: ELISA, WB, IHC |
| Recommended Dilutions: ELISA: 1:1000-1:5000 WB: 1:100-1:1000 IHC: 1:50-1:200 |
| Concentration: 0.2 mg/ml |
| Host Species: Rabbit |
| Format: Liquid |
| Clonality: Polyclonal |
| Isotype: IgG |
| Purity: Purified from serum |
| Preservative: No |
| Constituents: PBS (without Mg2+ and Ca2+), pH 7.4, 150 mM NaCl, 50% glycerol |
| Species Reactivity: Recognizes ALK of vertebrates. |
| Storage Conditions: Store at -20°C. Avoid repeated freezing and thawing |
| Western blot:
Western blot analysis of recombinant ALK protein. Purified His-tagged ALK protein was blotted with Anti-ALK rabbit polyclonal antibody (Cat. #TD-21280).
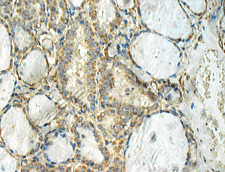
Immunohistochemical analysis of paraf\fin-embedded human thyroid cancer tissue with Anti-ALK polyclonal antibody (Cat. #TD-21280). Tissue samples were fixed with formaldehyde and blocked with 1% serum for 15 min at 37 °C. Antigen retrieval was by heat mediation in citrate buffer (pH6). Samples were then incubated with primary antibody (1:50 dilution) overnight at 4°C. A HRP-conjugated Goat anti-Rabbit IgG (1:50 dilution) was used as secondary antibody. |
风险提示:丁香通仅作为第三方平台,为商家信息发布提供平台空间。用户咨询产品时请注意保护个人信息及财产安全,合理判断,谨慎选购商品,商家和用户对交易行为负责。对于医疗器械类产品,请先查证核实企业经营资质和医疗器械产品注册证情况。
文献和实验Polyclonal Antibody Production
, if desired this is best accomplished by Protein A Affinity Chromatography. 上一篇:make an Antibody against a Peptides 下一篇:Immunization Protocol for Monoclonal Antibody Production
Polyclonal Antibody Production
Polyclonal Antibody Production Very useful for rapid and simple generation of antibodies for western blots, ELISA assays, and immunoprecipitation. Rabbit Immunization Initial Preparation Your antigen
Construction of Polyclonal Antibody Libraries Using Phage Display
Polyclonal antibody libraries (PCALs) are standardized mixtures of antibodies (Abs) specific for an antigen (Ag) or multi-Ag target (a poly-Ag). As the immunoglobulin (Ig) genes are cloned, the mixtures can be perpetuated, amplified
技术资料暂无技术资料 索取技术资料












