万千商家帮你免费找货
0 人在求购买到急需产品
- 详细信息
- 文献和实验
- 技术资料
- 提供商:
上海达为科生物科技有限公司
- 服务名称:
TUNEL检测实验
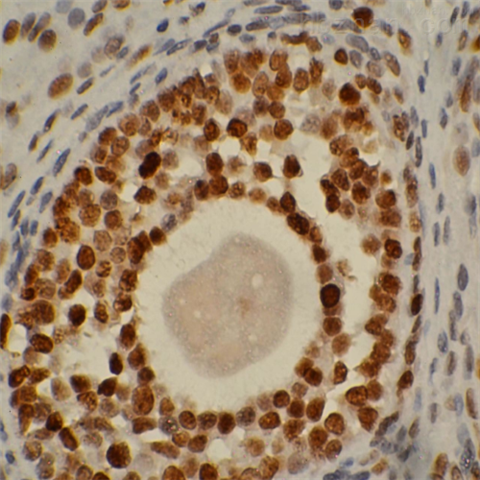
一、定义与原理
TUNEL(Terminal deoxynucleotidyl transferase dUTP nick end labeling)检测是一种用于检测细胞凋亡(程序性细胞死亡)的分子生物学技术。其核心原理基于凋亡过程中DNA断裂形成的3'-羟基(3'-OH)末端。通过末端脱氧核苷酸转移酶(TdT)的催化作用,荧光素或酶标记的dUTP被连接到DNA断裂处,从而实现凋亡细胞的标记。
关键点:
- 特异性标记:正常细胞或增殖细胞的DNA断裂极少,因此TUNEL可特异性地标记凋亡细胞。
- 检测方式:标记后的细胞可通过荧光显微镜(如FITC标记)、流式细胞仪(定量分析)或酶标仪(如HRP显色)进行检测。
二、实验步骤(以贴壁细胞和组织切片为例)
贴壁细胞检测流程:
- 固定:使用4%duo聚甲醛固定细胞30-60分钟,避免过度固定导致抗原遮蔽。
- 通透:0.1% Triton X-100处理2分钟,增加细胞膜通透性。
- 标记:加入TUNEL反应混合液(含TdT酶和标记dUTP),37℃避光孵育60分钟。
- 清洗与核染色:PBS清洗后,使用DAPI复染细胞核,封片后荧光显微镜观察。
组织切片检测流程:
- 脱蜡与水化:石蜡切片需经二甲苯脱蜡及梯度乙醇水化,冰冻切片直接固定。
- 蛋白酶处理:20 μg/mL蛋白酶K孵育15-30分钟,暴露DNA断裂位点。
- 标记与显色:TUNEL反应后,DAB显色(酶标记法)或荧光检测,结合苏木素复染观察。
注意事项:
- 对照设置:阳性对照(如DNase I处理诱导DNA断裂)、阴性对照(不加TdT酶)是验证实验可靠性的关键。
- 避光操作:荧光标记步骤需严格避光,防止淬灭。
三、应用场景
- 基础研究:
- 发育生物学:胚胎发育中的程序性细胞死亡定位。
- 神经科学:神经退行性疾病(如阿尔茨海默病)中神经元凋亡评估。
- 疾病机制与治疗:
- 肿瘤学:评估化疗药物诱导的癌细胞凋亡效率。
- 心血管疾病:心肌缺血再灌注损伤中的细胞死亡分析。
- 药物筛选:高通量检测候选药物的促凋亡或抗凋亡效应。
四、优缺点分析
优势:
- 高灵敏度:可检测单个凋亡细胞,适用于低凋亡率样本。
- 多平台兼容:兼容荧光显微镜、流式细胞仪等多种检测设备。
- 原位检测:保留组织或细胞形态,便于观察凋亡空间分布。
局限性:
- 假阳性风险:坏死细胞或机械损伤导致的DNA断裂可能被误判为凋亡。
- 无法区分凋亡阶段:主要标记晚期凋亡(DNA断裂阶段),早期凋亡(如膜磷脂外翻)需结合Annexin V检测。
- 操作复杂性:组织切片需严格脱蜡和蛋白酶处理,否则影响标记效率。

风险提示:丁香通仅作为第三方平台,为商家信息发布提供平台空间。用户咨询产品时请注意保护个人信息及财产安全,合理判断,谨慎选购商品,商家和用户对交易行为负责。对于医疗器械类产品,请先查证核实企业经营资质和医疗器械产品注册证情况。
文献和实验一、TUNEL法的实验原理 细胞发生凋亡时, 染色体DNA双链或单链断裂产生大量的粘性3'-OH末端,可在脱氧核糖核苷酸末端转移酶(TdT)的作用下,将脱氧核糖核苷酸和荧光素、过氧化物酶、碱性磷酸酶或生物素形成的衍生物标记到DNA的3'-末端,从而可进行凋亡细胞的检测,这类方法称为脱氧核糖核苷酸末端转移酶介导的缺口末端标记法(terminal -deoxynucleotidyl transferase mediated nick end labeling, TUNEL)。由于正常的或正在增殖
roy2929 小弟新手 实验等等都不怎么懂,希望高手们帮忙。 做TUNEL检测凋亡,除了本身没有发生凋亡和实验操作原因,还有什么可能会没有信号?比如通过其他不能用TUNEL检测到的方式发生了凋亡? 不胜感激 qwer_214 TUNEL是一种很特异的检测凋亡的方式,它主要检测DNA特异性的断裂,恕我资历比较浅,我到目前还没有发现其他用TUNEL检测到的方式发生了凋亡。 roy2929
用了许多方法检测小鼠的肝脏、脑部、睾丸等组织的细胞凋亡,其中 TUNEL 法做的最多,我购买的试剂盒主要是 roche、 promega 公司,结果大多数成功,偶尔也有失败,下面我把实验中的关键问题与大家共享一下,同时也希望能对初学者有所帮忙。 TUNEL 法的实验原理 基本原理:对不同组织切片先增加细胞膜通透性,然后让 rTDT 和生物标记的 dTUTP 进入细胞内,在 rTDT 的辅助下 dTUTP 与核断裂的 DNA 3』-OH 结合,再用 HRP 标记的链霉
技术资料暂无技术资料 索取技术资料










