万千商家帮你免费找货
0 人在求购买到急需产品
- 详细信息
- 文献和实验
- 技术资料
- 提供商:
上海达为科生物科技有限公司
- 服务名称:
肿瘤细胞实验
一、实验原理与生物学意义
1. 核心机制
肿瘤细胞侵袭是转移的关键步骤,涉及以下过程:
- 基质降解:细胞分泌基质金属蛋白酶(MMPs)降解基底膜和细胞外基质(ECM)。
- 细胞迁移:通过趋化因子(如EGF、VEGF)介导的伪足形成和肌动蛋白重组,实现定向移动。
- 微环境重塑:整合素介导的细胞-基质黏附,调控肿瘤细胞与ECM的力学相互作用。
2. 实验设计目标
- 模拟体内侵袭:通过人工基质(如Matrigel)重建基底膜屏障。
- 定量分析能力:通过细胞计数、荧光标记或AI图像分析量化侵袭潜能。
- 多维度评估:结合分子机制(如TLR7信号通路)与形态学变化(如伪足形成)。
二、主流实验方法及技术对比
1. Transwell侵袭实验(最广泛应用)
- 原理:利用聚碳酸酯膜(孔径8 μm)分隔上下室,上室铺Matrigel模拟基底膜,下室添加趋化因子(如10% FBS),通过细胞穿膜数量评估侵袭能力。
- 关键参数:
- Matrigel浓度:1-2 mg/mL可平衡屏障强度与细胞穿透性。
- 趋化梯度:含10% FBS的培养基可诱导强趋化效应。
- 培养时间:48小时为常见周期(HCT116结肠癌细胞穿膜率约30%)。
2. 肿瘤球体侵袭实验(3D模型)
- 构建方法:
- U87-MG胶质瘤细胞在低黏附板中形成球体后,嵌入Matrigel观察细胞向外迁移。
- 实时成像追踪单细胞迁移轨迹,计算平均平方位移(MSD)量化运动特征。
- 优势:更接近体内三维微环境,可研究细胞间相互作用。
3. Boyden小室改良法
- 改进点:用Ⅰ型胶原(2 mg/mL)替代Matrigel,模拟特定ECM成分。
- 应用案例:酸性微环境(pH 6.5)可使MDA-MB-231乳腺癌细胞侵袭率提升2倍。
4. 体内侵袭模型
- 尾静脉注射:4T1乳腺癌细胞经尾静脉注入小鼠,72小时后肺转移灶计数评估侵袭能力。
- 原位移植:将患者来源肿瘤组织植入免疫缺陷小鼠乳腺脂肪垫,监测局部侵袭深度。
三、标准化操作流程(以Transwell为例)
1. 实验准备
- 材料:
- Transwell小室(Corning, 8 μm孔径)。
- Matrigel基质胶(BD Biosciences,4℃解冻)。
- 结晶紫染色液(0.5% w/v,含2%乙醇)。
2. 操作步骤
- 铺胶:将50 μL Matrigel(稀释至1 mg/mL)均匀涂布于上室膜表面,37℃固化1小时。
- 细胞处理:
- 细胞饥饿处理:用无血清培养基培养12小时,同步化细胞周期。
- 制备悬液:调整密度至5×10⁵ cells/mL(MCF-7乳腺癌细胞)。
- 加样:上室加入200 μL细胞悬液,下室加入600 μL含10% FBS的培养基。
- 培养:37℃、5% CO₂培养48小时,避免震动干扰细胞贴附。
- 固定染色:
- 4%多ju甲醛固定30分钟,PBS冲洗。
- 0.5%结晶紫染色20分钟,棉签擦除未穿透细胞。
- 成像分析:
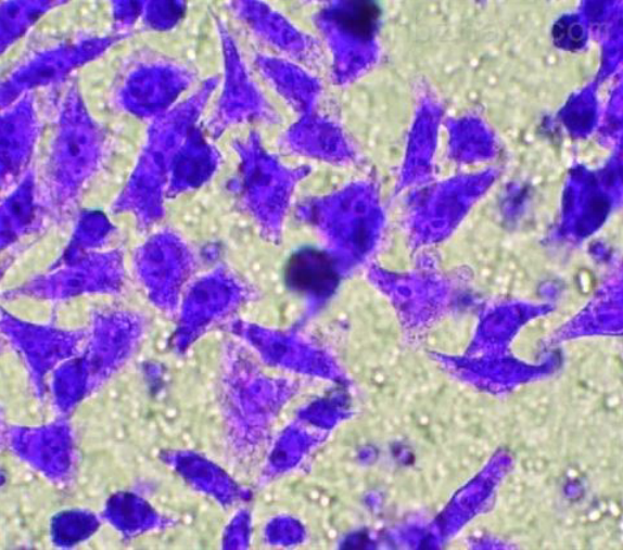
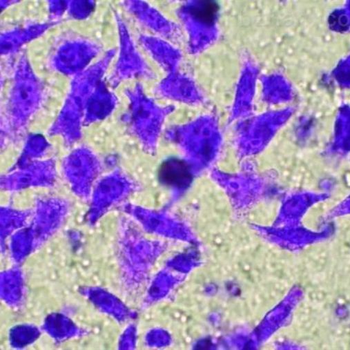
- 随机选取5个视野(×200),计数膜下表面细胞。
- 或使用33%醋酸洗脱结晶紫,570 nm测OD值量化。

风险提示:丁香通仅作为第三方平台,为商家信息发布提供平台空间。用户咨询产品时请注意保护个人信息及财产安全,合理判断,谨慎选购商品,商家和用户对交易行为负责。对于医疗器械类产品,请先查证核实企业经营资质和医疗器械产品注册证情况。
文献和实验使Matrigel聚合成凝胶...阅读全文 Transwell的其他应用的实验步骤 1.Transwell肿瘤细胞迁移实验过程与Transwell侵袭实验基本一致,不同的只是不需要铺Matrigel。个人认为,由于没有基质胶的阻挡,细胞穿过膜的速度较侵袭实验明显加快,所以细胞量要更大。我做侵袭实验的细胞密度是1×105,而迁移实验的密度是1×106。另外,下层培养液的FBS浓度也可适当下调,我做侵袭实验的浓度是5%,迁移实验的浓度是2.5%。2.Transwell上皮细胞培养步骤做了一段时间的原代
我的课题涉及 Transwell 侵袭实验,因此在这里和大家分享 Transwell 侵袭实验。实验用品01 Transwell 小室我用的是 ECM554,用完后擦去基质胶,再用胰酶和 75% 酒精泡,可以把膜洗得很干净,用前用紫外里外都照 30 min。处理方法:用棉签轻轻擦去胶和反面细胞,清水冲洗,超声清洗,低档,30 min,清水 3×5 min,蒸馏水 3×5 min,室温凉干,用前紫外线小室正面 3 h,反面 6 h,微波,低火 10 min×2。因为我买的是铺好胶的,所以没买
基于阻抗的rtca细胞分析技术应用--Transwell侵袭实验
: 基于阻抗检测的细胞分析技术,使得实时、不间断且无需标记的细胞监测成为可能。对数据流的后续分析可以揭示细胞间互作和细胞-药物反应的动力学,可以更好地理解其机理而无需做费时费力的多次终点法实验。 应用:利用划痕实验评估MCP抑制肿瘤细胞转移疗效 改性柑桔果胶(MCP)可以从柑桔的皮及果肉中提取到,是一种人体不易吸收的水溶性多糖复合物,其抗肿瘤转移的疗效正受到越来越多的关注。佐治亚大学的Gomillion博士利用实时定量阻抗(Maestro Z系统)实验去评估MCP抑制两种肿瘤细胞
技术资料暂无技术资料 索取技术资料










