万千商家帮你免费找货
0 人在求购买到急需产品
- 详细信息
- 文献和实验
- 技术资料
- 提供商:
上海达为科生物科技有限公司
- 服务名称:
细胞侵袭实验
| 品牌 | 其他品牌 | 产地类别 | 国产 |
|---|---|---|---|
| 应用领域 | 医疗卫生,生物产业,综合 |
细胞侵袭实验目的:总结并改进细胞体外侵袭实验的操作经验。结果:改进后侵袭试验定位准确,结果清晰。
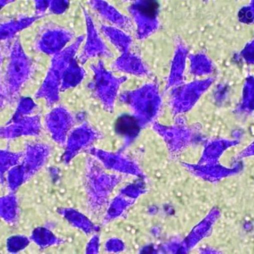
细胞侵袭实验原理:将细胞种于上室,趋化因子等种于下室,细胞会向营养成分高的下室跑。与迁移实验不同是侵袭实验需要在小室聚碳酸酯膜上铺设一层基质胶。用以模仿体内细胞外基质,细胞欲进入下室,先要分泌基质金属蛋白酶(MMPs)将基质胶降解,方可通过聚碳酸酯膜。计数进入下室的细胞量可反映肿瘤细胞的侵袭能力。
细胞侵袭实验材料仪器:超净工作台、CO2培养箱、生物倒置显微镜
实验内容与方法:
1. 将细胞种于上室,趋化因子等种于下室
2. 培养时间后观察计数细胞形态或测定相关理化性质
客户提供实验信息:
1、实验信息(客户提供):
2、实验材料提供
(1)样本材料:生长状况良好的宿主细胞株,细胞培养条件
(2)试剂:Transwell小室需客户提供或委托我公司代购,如有药物则提供加药浓度
结果提交:提交实验报告书。
上海达为科生物科技有限公司,公司位于上海长江软件园,实验室面积600多平方米。我们拥有专业的实验室、先进的实验设备和经验丰富的科研技术人员。技术团队包括研究员(博士后)2人,助理研究员(博士)4人,核心研究员(硕士)15人,主要致力于基因组学、转录组学、蛋白质组学、代谢组学、生物化学、病理检测、基因检测等技术在科研中的应用与推广。公司目前具备较好的生物学、医学技术服务平台,能够为广大客户提供医学科研样本检测、合作研究、开发及生产服务。
风险提示:丁香通仅作为第三方平台,为商家信息发布提供平台空间。用户咨询产品时请注意保护个人信息及财产安全,合理判断,谨慎选购商品,商家和用户对交易行为负责。对于医疗器械类产品,请先查证核实企业经营资质和医疗器械产品注册证情况。
文献和实验莲芯 请教各位高手,我做的侵袭实验,小室在倒置显微镜下怎么放呢,是正置即内膜朝上,还是倒置即外膜面朝上?我两者均看了,只能正置时看到细胞即内膜面,外膜面什么也看不到.请高手指点,我这是没穿过?还是在倒置显微镜下观察看到的就是穿到外膜面的细胞?谢谢!很急! sharpjyz 内膜面的细胞擦掉后看到的就只有穿到外膜面的细胞了 shaverwoo 可以取出小室正置放于6孔板内,湿棉签把内膜上的细胞
最新科学研究发现,心肌炎是由特定免疫细胞侵袭所导致。免疫细胞攻击内源性组织,是因为它们在成熟过程中没有机会识别一种只存在于心脏肌肉中的蛋白质。 心肌炎通常很危险,常常导致致命的心脏增大。许多情况下心脏移植是唯一的治疗希望。长期以来,医生们已有证据表明,自身免疫反应(即免疫系统的攻击)是引起危险发炎的原因。 然而至今仍不清楚,抗体或免疫细胞是否损害心脏肌肉组织。此外,也不知道免疫系统的致命攻击究竟针对心脏肌肉多种蛋白质中的哪一些。科学家们对患有致命心肌炎疾病的小鼠研究发现
肿瘤细胞侵袭试验(Tumour Invasion Assay)
;注意无菌操作;2、24-transwell (Coster);3、结晶紫染料溶液:结晶紫用甲醇配成0.5%的母液,使用浓度为0.1%,用PBS按1:4稀释后即为染色液;4、33%醋酸;三、实验步骤1、溶液配制:(1)溶DMEM 500ml;NE---A液(1μg/μl,1mg/ml)母液0.1ml(5mg)+ ddH2O up to 5 ml ;过滤消毒,-20℃保存。NE-DMEM(-6M)NE---A液(1μg/μl,1mg/ml) 20.5μlDMEM UP TO 100 ml过滤消毒,4℃











