万千商家帮你免费找货
0 人在求购买到急需产品
- 详细信息
- 文献和实验
- 技术资料
- 提供商:
上海达为科生物科技有限公司
- 服务名称:
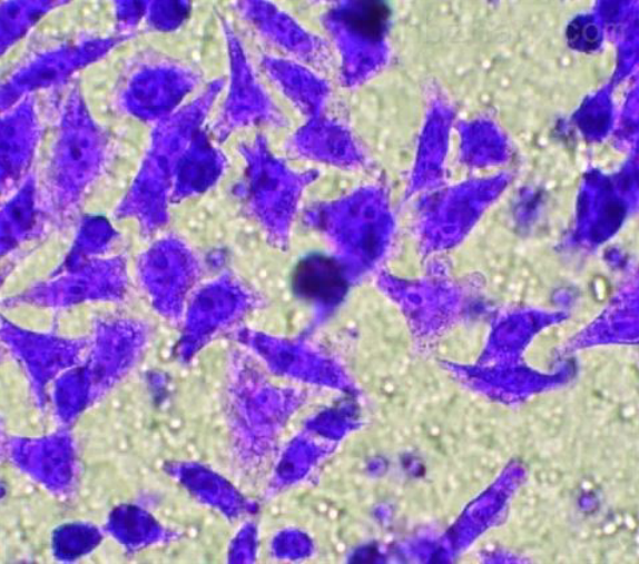
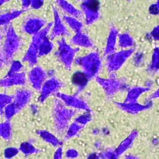
细胞侵袭实验
一、核心实验方法及原理对比
1. Transwell实验
- 原理:通过微孔膜(孔径通常为8 μm)分隔上下室,上室细胞在趋化因子梯度诱导下穿过基质胶(如Matrigel)迁移至下室,模拟体内侵袭行为。
- 特点:
- 灵敏度高:可检测低至10^4细胞量的侵袭差异
- 定量直观:通过染色计数或荧光标记量化结果
- 适用性广:适用于肾纤维化模型中的成纤维细胞(如NRK-49F)或肿瘤细胞系
2. Boyden chamber assay
- 历史演变:最初用于白细胞趋化性研究,现改良为高通量版本(如48孔板)。
- 技术差异:
- 膜材料:常用聚碳酸酯膜,孔径5-12 μm
- 检测方式:无需基质胶包被时检测迁移,包被后检测侵袭
- 肾细胞应用案例:Madin-Darby犬肾细胞(MDCK)的极性迁移研究
3. 划痕实验(Wound healing assay)
- 适用场景:
- 快速评估肾小管上皮细胞(如NRK-52E)的单层修复能力
- 药物干预对细胞集体迁移的影响(如丹参多酚酸盐抗纤维化研究)
- 局限性:
- 无法区分主动迁移与增殖效应
- 对基底膜穿透能力的模拟不足
二、实验操作全流程与关键技术点
1. 前期准备
-
细胞选择与处理:
- 原代细胞:大鼠肾巨噬细胞需经CD68免疫荧光鉴定纯度>90%
- 细胞系:NRK-52E需在含10%胎牛血清的DMEM中传代至对数生长期
- 预处理:血清饥饿(无血清培养基处理6-12小时)以减少增殖干扰
-
基质胶包被优化:
- 浓度梯度:Matrigel稀释比例1:3至1:8(依细胞侵袭力调整)
- 固化条件:37℃孵育30分钟形成均质凝胶层,避免气泡产生
2. 实验执行
-
细胞接种:
- 密度控制:5×10^4至1×10^5细胞/孔(过密导致假阳性,过疏统计误差大)
- 诱导因子:
-
阳性对照:10% FBS或50 ng/mL HGF(肝细胞生长因子)
-
药物干预:如微囊藻毒素LR(100-1000 nmol/L)诱导肾细胞凋亡
-
培养条件:
- 时间窗:侵袭实验需24-48小时(迁移实验可缩短至6-12小时)
- 气体环境:5% CO₂,湿度>90%,避免培养基蒸发导致渗透压变化
3. 结果获取
-
固定与染色:
- 固定液:4%多ju甲醛(15分钟)优于甲醇,减少细胞脱落
- 双染策略:0.1%结晶紫(整体细胞)联合DAPI(核定位),区分侵袭与残留细胞
-
图像分析:
-
软件选择:ImageJ(免费)或Image-Pro Plus(商业版)
-
定量指标:
-
动态监测:使用活细胞成像系统(如IncuCyte)实时追踪迁移轨迹
-

风险提示:丁香通仅作为第三方平台,为商家信息发布提供平台空间。用户咨询产品时请注意保护个人信息及财产安全,合理判断,谨慎选购商品,商家和用户对交易行为负责。对于医疗器械类产品,请先查证核实企业经营资质和医疗器械产品注册证情况。
文献和实验清泓生物技术(上海)有限公司 1. 稳定高效的蛋白表达平台 真核表达系统 –哺乳细胞表达平台, - 有活性的蛋白:哺乳细胞表达平台有效保证目的蛋白正确折叠和正确修饰 - 蛋白复合物:多个蛋白共表达,表达和纯化制备蛋白复合体 - 哺乳细胞:众多蛋白,尤其是分泌蛋白最理想的宿主细胞 - 快速高效:一个月内得到目的蛋白 - 最优流程:细胞生长,蛋白表达和纯化工艺流程 - (可选)蛋白活性检测服务 真核表达系统 –昆虫细胞表达平台
2010 年 7 月 18 日应上海市公共卫生临床研究中心的邀请,上海锐赛生物技术有限公司组织参加了为上海市各大医院临床医生举办的上海市临床科研基本实验技能培训,培训的内容是细胞培养相关操作。细胞培养技术是生物医学研究领域的重要组成部分,安全稳定的细胞培养能够提供良好的实验依据。目前许多生物技术服务企业与科研单位都对如何更好的解决细胞培养问题存在很大疑问。就此基础问题上海锐赛技术部的黄博士结合多年的生物操作经验,详尽介绍了细胞培养技术,并将理论与实际操作作为课程的重点,向各单位
有通透性,下层培养液中的成分可以影响到上室内的细胞,从而可以研究下层培养液中的成分对细胞生长、运动等的影响。 应用不同孔径和经过不同处理的聚碳酸酯膜,就可以进行共培养 、细胞趋化 、细胞迁移 、细胞侵袭 等多种方面的研究。 当然不同细胞其体积不同,具体选择时要考虑到细胞大小。这里主要谈几种大家常用的实验: (1). 共培养体系: 小于 3.0um 孔径条件下,细胞不会迁徙通过,因此,若研究不涉及细胞运动能力,不需要细胞穿过聚碳酸酯膜,则应
技术资料暂无技术资料 索取技术资料










