万千商家帮你免费找货
0 人在求购买到急需产品
- 详细信息
- 文献和实验
- 技术资料
- 提供商:
上海达为科生物科技有限公司
- 服务名称:
TUNEL检测实验
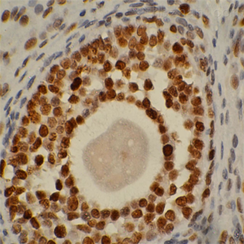
一、技术原理与核心机制
TUNEL(TdT-mediated dUTP nick end labeling)技术是一种基于DNA断裂特征检测细胞凋亡的分子生物学方法。其核心原理依赖于凋亡过程中内源性核酸内切酶的激活,导致DNA链断裂并暴露出3'-羟基(3'-OH)末端。通过脱氧核糖核苷酸末端转移酶(TdT)的催化作用,将标记的脱氧尿嘧啶核苷酸(dUTP)连接到这些断端。
标记物的选择决定了检测方式:
- 荧光标记法:如FITC标记的dUTP,需通过荧光显微镜或流式细胞仪观察(如绿色荧光试剂盒)。
- 酶标显色法:生物素或地gao辛标记的dUTP,结合链霉亲和素-过氧化物酶系统,通过DAB显色形成深棕色沉淀,可用普通光学显微镜观察。
二、实验操作流程(以一步法试剂盒为例)
-
样本制备
- 细胞样本:贴壁/悬浮细胞需4%多ju甲醛固定15分钟,0.1% Triton X-100通透10分钟。
- 组织切片:石蜡包埋切片需脱蜡(二甲苯浸洗)、梯度乙醇水化,冰冻切片则需bing酮固定。
- 关键步骤:蛋白酶K处理(37℃ 30分钟)用于暴露DNA断裂位点。
-
TUNEL反应
- 反应混合液配制:含TdT酶、标记dUTP和缓冲液。
- 孵育条件:37℃避光反应1小时(荧光法)或45℃ 2小时(显色法)。
-
信号检测
- 荧光法:FITC激发波长488nm,发射波长530nm,需抗淬灭封片剂。
- 显色法:DAB显色后需苏木素复染核,梯度乙醇脱水透明。
-
质量控制
- 阳性对照:使用DNase I处理样本诱导DNA断裂。
- 阴性对照:省略TdT酶或dUTP。
三、应用领域与典型案例
-
肿瘤研究
- 评估化疗药物诱导的凋亡率(如IL-23基因转染乳腺癌模型)。
- 研究凋亡抵抗机制(如Survivin反义核酸对肺癌细胞的影响)。
-
神经科学
- 检测神经退行性疾病中的神经元凋亡(如阿尔茨海默病模型)。
- 评估脑损伤修复机制(如心肺复苏后海马CA1区神经元凋亡检测)。
-
药物开发
- 高通量筛选促凋亡化合物(Thermo Fisher试剂盒用于HeLa、A549细胞系)。
- 联合疗法效果验证(如西妥昔单抗与低剂量化疗的协同作用)。
-
心血管研究
- 心肌缺血再灌注损伤评估。
- 动脉粥样硬化斑块稳定性分析。
四、技术优势与局限性
优势:
- 高灵敏度:可检测单细胞水平的DNA断裂。
- 兼容性强:适用于石蜡切片、冰冻切片、培养细胞等多种样本。
- 定量分析:结合流式细胞术可实现凋亡率精确计算。
局限性:
-
特异性问题
- 坏死细胞、增殖活跃细胞(如肿瘤细胞)可能出现假阳性。
- 无法区分凋亡与继发性坏死。
-
技术干扰因素
- 固定时间过长导致DNA交联,影响TdT酶结合。
- 透化不足(标记物无法渗透)或过度(细胞结构破坏)。
-
操作复杂性
- 传统方法需多步标记(如Roche试剂盒含12个步骤)。
- 新型一步法虽简化流程,但对温度敏感(试剂需-20℃保存,避免反复冻融)。

风险提示:丁香通仅作为第三方平台,为商家信息发布提供平台空间。用户咨询产品时请注意保护个人信息及财产安全,合理判断,谨慎选购商品,商家和用户对交易行为负责。对于医疗器械类产品,请先查证核实企业经营资质和医疗器械产品注册证情况。
文献和实验一、TUNEL法的实验原理 细胞发生凋亡时, 染色体DNA双链或单链断裂产生大量的粘性3'-OH末端,可在脱氧核糖核苷酸末端转移酶(TdT)的作用下,将脱氧核糖核苷酸和荧光素、过氧化物酶、碱性磷酸酶或生物素形成的衍生物标记到DNA的3'-末端,从而可进行凋亡细胞的检测,这类方法称为脱氧核糖核苷酸末端转移酶介导的缺口末端标记法(terminal -deoxynucleotidyl transferase mediated nick end labeling, TUNEL)。由于正常的或正在增殖
Detection of apoptotic process in situ using immunocytochemical and TUNEL assays
, however, can not provide information regarding the histological localization at single cell level. This can be done by immunocytochemical method (A) or by enzymatic in situ labeling of apoptosis-induced DNA strand breaks (TUNEL) (B). Apoptosis was observed
PROTOCOL: •Deparaffinize and rehydrate slides: 3 x 3´ Xylene 3 x 2´ 100% ethanol 1 x 2´ 95%, 80%, 70% ethanol (each) 1 x 5´ 1x PBS •Microwave antigen retrieval: 4 x 5´ in microwave (600 ml of 10mM NaCitrate, pH 6) Cool 20











