相关产品推荐更多 >
万千商家帮你免费找货
0 人在求购买到急需产品
- 详细信息
- 文献和实验
- 技术资料
- 保存条件:
2−8°C
- 英文名:
CD16 MicroBeads, human
- 库存:
大量
- 供应商:
德国美天旎生物技术有限公司
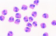
用CD16 MicroBeads分选的嗜酸性粒细胞。Courtesy of Dr. Hans-Uwe Simon, Davos, Switzerland
风险提示:丁香通仅作为第三方平台,为商家信息发布提供平台空间。用户咨询产品时请注意保护个人信息及财产安全,合理判断,谨慎选购商品,商家和用户对交易行为负责。对于医疗器械类产品,请先查证核实企业经营资质和医疗器械产品注册证情况。
文献和实验Fibrinogen exerts adhesive effects on cultured fibroblasts and other cells. Specifically, fibrin(ogen) and its various lytic fragments (e.g., FPA, FPB, fragments D and E) were shown to be chemotactic to macrophages, human fibroblasts
Isolation of Human Blood DC Subtypes
Human blood dendritic cells (DCs) are a rare, heterogeneous cell population that comprise approximately 1% of circulating peripheral blood mononuclear cells (PBMCs). Their isolation has been confounded by their scarcity and lack
Use of Activated Natural Killer Cells for Tumor Immunotherapy in Mouse and Human
of their activation, but surface expression of CD16 (FcγRIII), CD56 (in humans), NKR-P1 (in rats), or NK1.1 (in mice) and the absence of the T-cell receptor complex on the cell surface have been accepted as the markers defining these effector cells.
技术资料暂无技术资料 索取技术资料











