相关产品推荐更多 >
万千商家帮你免费找货
0 人在求购买到急需产品
- 详细信息
- 文献和实验
- 技术资料
- 免疫原:
Recombinant prokaryotic protein corresponding to the excreted domain of the gross cystic disease fluid protein (15 kD) molecule.
- 亚型:
IgG2a
- 形态:
Liquid
- 保存条件:
Store as concentrated solution. Centrifuge briefly prior to opening vial. Store at 4ºC. DO NOT FREEZE.
- 克隆性:
Monoclonal
- 标记物:
Unconjugated
- 适应物种:
Human
- 保质期:
12 months from the shipping date of the product.
- 抗原来源:
Human
- 目录编号:
GTX01983
- 级别:
Primary Antibodies
- 库存:
Available
- 供应商:
GeneTex
- 宿主:
Mouse
- 应用范围:
IHC-P
- 浓度:
>55 μg/ml (Please refer to the vial label for the specific concentration.)
- 靶点:
GCDFP15
- 抗体英文名:
GCDFP15 antibody [23A3]
- 抗体名:
GCDFP15 抗体 [23A3]
- 规格:
500 μl
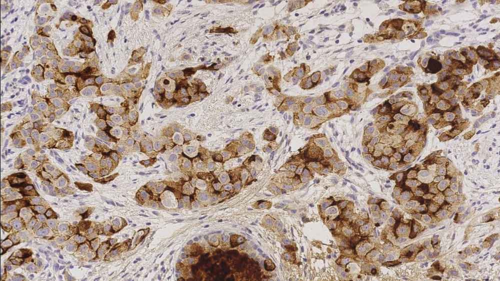
IHC-P analysis of invasive breast carcinoma tissue using GTX01983 GCDFP15 antibody [23A3]. Note the cytoplasmic staining in tumor cells.
风险提示:丁香通仅作为第三方平台,为商家信息发布提供平台空间。用户咨询产品时请注意保护个人信息及财产安全,合理判断,谨慎选购商品,商家和用户对交易行为负责。对于医疗器械类产品,请先查证核实企业经营资质和医疗器械产品注册证情况。
文献和实验4.23 丁香实验科研午间快讯(每日更新)①Cell Stem Cell八大热点文章(4月)《Cell Stem Cell》杂志是2007年Cell出版社新增两名新成员之一(另外一个杂志是Cell Host & Microbe),这一杂志内容涵盖了从最基本的细胞和发育机制到医疗软件临床应用等整个干细胞生物学研究内容。这一杂志特别关注胚胎干细胞、组织特异性和癌症干细胞的最新成果。《Cell Stem Cell》自创刊以来就倍受关注,影响因子迅速提升,从0一冲至16.826,又达到了23.394
4月15日 丁香实验科研早报① Science杂志最受关注的文章(4月)星形胶质细胞是中枢神经系统中的非神经元细胞,其支持及调节了神经元的功能。2013年,杜克大学的研究人员证实星形胶质细胞是中风或脑损伤后止血和促进修复的必要条件。美国的《Science》杂志由爱迪生投资创办,是国际上著名的自然科学综合类学术期刊,与英国的《Nature》杂志被誉为世界上两大自然科学顶级杂志。Science杂志主要发表原始性科学成果、新闻和评论,许多世界上重要的科学报道都是首先出现在Science杂志
,在坐标纸上作图,画出标准曲线。 3. 根据样品 OD 值在该曲线图上查出相应 IL-23 含量。 试剂盒性能 1. 灵敏度 : 最小的IL-23 检测浓度小于 15 pg/ml。 2. 特异性: 可同时检测重组或天然的人 IL-23 。 不与 人其它细胞因子有交叉反应。 3. 重复性:板内、板见变异系数均小于10%。 注意事项 1. 以上标准孔及待 测 样品均建议做复孔,每次测定应
技术资料暂无技术资料 索取技术资料











