相关产品推荐更多 >
万千商家帮你免费找货
0 人在求购买到急需产品
- 详细信息
- 文献和实验
- 技术资料
- 免疫原:
Prokaryotic recombinant protein corresponding to 126 amino acids of the Napsin A protein.
- 亚型:
IgG2b
- 形态:
Liquid
- 保存条件:
Store as concentrated solution. Centrifuge briefly prior to opening vial. Store at 4ºC. DO NOT FREEZE.
- 克隆性:
Monoclonal
- 标记物:
Unconjugated
- 适应物种:
Human
- 保质期:
12 months from the shipping date of the product.
- 抗原来源:
Human
- 目录编号:
GTX01980
- 级别:
Primary Antibodies
- 库存:
Available
- 供应商:
GeneTex
- 宿主:
Mouse
- 应用范围:
IHC-P
- 浓度:
>8.3 μg/ml (Please refer to the vial label for the specific concentration.)
- 靶点:
Napsin A
- 抗体英文名:
Napsin A antibody [IP64]
- 抗体名:
Napsin A 抗体 [IP64]
- 规格:
500 μl
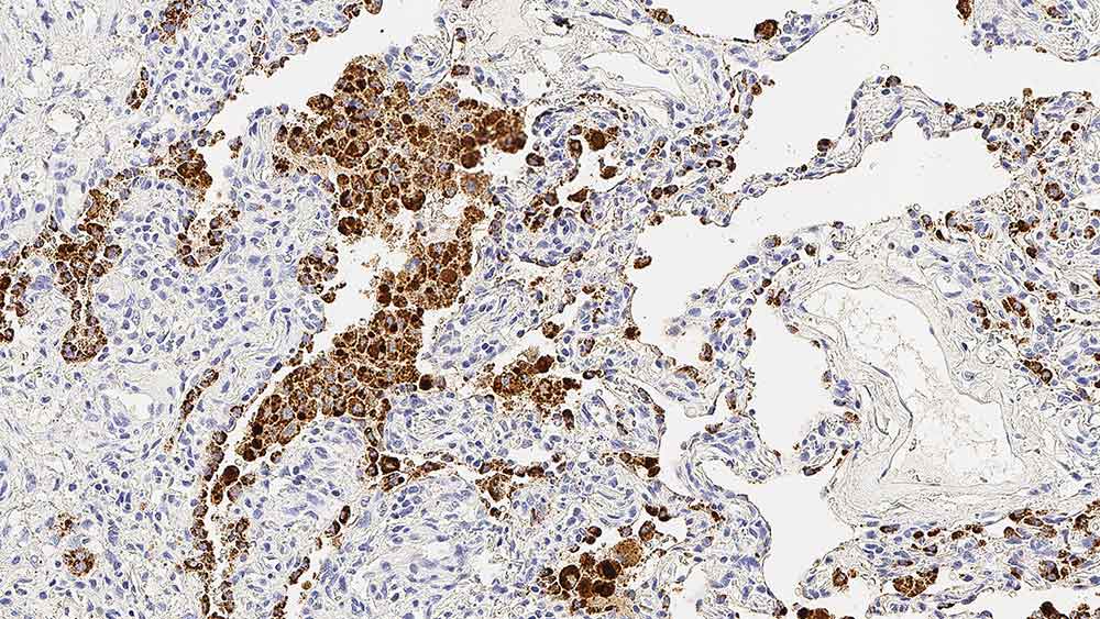
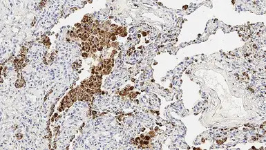
IHC-P analysis of human lung tissue using GTX01980 Napsin A antibody [IP64]. Note cytoplasmic staining of pneumocytes and alveolar macrophages.
风险提示:丁香通仅作为第三方平台,为商家信息发布提供平台空间。用户咨询产品时请注意保护个人信息及财产安全,合理判断,谨慎选购商品,商家和用户对交易行为负责。对于医疗器械类产品,请先查证核实企业经营资质和医疗器械产品注册证情况。
文献和实验) 2、Input 条带清晰,co-IP 条带很弱? 设X为诱饵蛋白,Y 为靶蛋白,有可能为 X 和 Y 的相互作用本身比较弱 X 蛋白并不是 Y 的唯一,只部分 Y 与 X 互作 可以尝试反向拉,比如用 Y 去拉 X,可能效果比较好 3、我的 p 53 蛋白正好和抗体重链分子量接近,要如何减少抗体干扰? 建议方案: IP/WB 一抗使用不同种属来源,选择与IP抗体种属无交叉反应的二抗(Cross Adsorbed secondary antibody) 特殊二抗:比如仅识别重链或者轻链的二抗,或者仅
IP Issues in the Therapeutic Antibody Industry
The following section is related to IP issues in the therapeutic Antibody industry. A rough overview over protected enabling techniques and compounds is provided, in order to facilitate the entry into freedom to operate studies. Furthermore
CD64 分子 CD64 常用单克隆抗体或代号: MAb32.2,MAb22;(Fcg RI) 主要表达细胞: M [M] 分子质量(kDa)和结构: gp75(IgSF) 功 能: 吞噬、ADCC,Mac活化 CD64 Aka Fc gamma RI High affinity receptor binds to Fc region of IgG
技术资料暂无技术资料 索取技术资料











