相关产品推荐更多 >
万千商家帮你免费找货
0 人在求购买到急需产品
- 详细信息
- 文献和实验
- 技术资料
- 免疫原:
A synthesized peptide derived from human AMPK alpha around the phosphorylation site of Thr172
- 亚型:
IgG
- 形态:
Liquid
- 保存条件:
Store as concentrated solution. Centrifuge briefly prior to opening vial. For short-term storage (1-2 weeks), store at 4ºC. For long-term storage, aliquot and store at -20ºC or below. Avoid multiple freeze-thaw cycles.
- 克隆性:
Polyclonal
- 标记物:
Unconjugated
- 适应物种:
Human, Mouse, Rat
- 保质期:
12 months from the shipping date of the product.
- 抗原来源:
Human
- 目录编号:
GTX52341
- 级别:
Primary Antibodies
- 库存:
Available
- 供应商:
GeneTex
- 宿主:
Rabbit
- 应用范围:
WB, ICC/IF, IHC-P, IHC
- 浓度:
1 mg/ml (Please refer to the vial label for the specific concentration.)
- 靶点:
The sequence around AMPK alpha 1 (phospho Thr183) is conserved with the sequence around AMPK alpha 2 (phospho Thr172).AAPK1
- 抗体英文名:
AMPK alpha 1 (phospho Thr183) + AMPK alpha 2 (phospho Thr172) antibody
- 抗体名:
AMPK alpha 1 (phospho Thr183) + AMPK alpha 2 (phospho Thr172) 抗体
- 规格:
100 μg
Untreated (–) and treated (+) MCF-7 whole cell extracts (30 μg) were separated by 7.5% SDS-PAGE, and the membrane was blotted with AMPK alpha 1 (phospho Thr183) + AMPK alpha 2 (phospho Thr172) antibody (GTX52341) diluted at 1:500. The HRP-conjugated anti-rabbit IgG antibody (GTX213110-01) was used to detect the primary antibody, and the signal was developed with Trident ECL plus-Enhanced.
IHC-P analysis of rat spleen tissue using GTX52341 AMPK alpha 1 (phospho Thr183) + AMPK alpha 2 (phospho Thr172) antibody.
Antigen retrieval : Heat mediated antigen retrieval step in citrate buffer
Dilution: 1:100
IHC-P analysis of rat skin tissue using GTX52341 AMPK alpha 1 (phospho Thr183) + AMPK alpha 2 (phospho Thr172) antibody.
Antigen retrieval : Heat mediated antigen retrieval step in citrate buffer
Dilution: 1:100
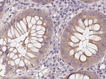
IHC-P analysis of human colon tissue using GTX52341 AMPK alpha 1 (phospho Thr183) + AMPK alpha 2 (phospho Thr172) antibody.
Antigen retrieval : Heat mediated antigen retrieval step in citrate buffer
Dilution: 1:100
ICC/IF analysis of PFA-fixed C2C12 cells using GTX52341 AMPK alpha 1 (phospho Thr183) + AMPK alpha 2 (phospho Thr172) antibody.
Red : Primary antibody
Permeabilization : 0.1% saponin
Dilution : 1:400
WB analysis of PANC1 cells using GTX52341 AMPK alpha 1 (phospho Thr183) + AMPK alpha 2 (phospho Thr172) antibody pre-incubated with phospho- or non-phospho- peptide.
P-peptide : phospho-peptide
N-peptide : non-phospho-peptide
Western blot analysis of AMPK alpha phosphorylation expression in Heatshock treated 293 whole cell lysates,The lane on the left is treated with the antigen-specific peptide.
IHC-P analysis of rat lung tissue using GTX52341 AMPK alpha 1 (phospho Thr183) + AMPK alpha 2 (phospho Thr172) antibody.
Antigen retrieval : Heat mediated antigen retrieval step in citrate buffer
Dilution: 1:100
ICC/IF analysis of PFA-fixed 293 cells using GTX52341 AMPK alpha 1 (phospho Thr183) + AMPK alpha 2 (phospho Thr172) antibody.
Red : Primary antibody
Permeabilization : 0.1% Triton X-100
Dilution : 1:200
IHC-P analysis of human mammary cancer tissue using GTX52341 AMPK alpha 1 (phospho Thr183) + AMPK alpha 2 (phospho Thr172) antibody.
Antigen retrieval : Heat mediated antigen retrieval step in citrate buffer
Dilution: 1:100
IHC-P analysis of human colorectal cancer tissue using GTX52341 AMPK alpha 1 (phospho Thr183) + AMPK alpha 2 (phospho Thr172) antibody.
Antigen retrieval : Heat mediated antigen retrieval step in citrate buffer
Dilution: 1:100
IHC-P analysis of human gastric cancer tissue using GTX52341 AMPK alpha 1 (phospho Thr183) + AMPK alpha 2 (phospho Thr172) antibody.
Antigen retrieval : Heat mediated antigen retrieval step in citrate buffer
Dilution: 1:100
风险提示:丁香通仅作为第三方平台,为商家信息发布提供平台空间。用户咨询产品时请注意保护个人信息及财产安全,合理判断,谨慎选购商品,商家和用户对交易行为负责。对于医疗器械类产品,请先查证核实企业经营资质和医疗器械产品注册证情况。
文献和实验Simanjuntak Y et al., PLoS Pathog 2020 (PMID:32392268)
Lu CC et al., Int J Oncol 2019 (PMID:30720062)
Yang Q et al., Nat Commun 2018 (PMID:30405100)
Yeh YT et al., Nutrients 2017 (PMID:29036927)
Vadhan A et al., Oncol Lett 2023 (PMID:36589668)
Qiuhua Yang et al., Front Cell Dev Biol 2020 (PMID:33511118)
Ilaria Zuliani et al., Int J Mol Sci 2021 (PMID:33916835)
Hsing-I Tseng et al., Mol Oncol 2022 (PMID:35298869)
Lu KY et al., Biochim Biophys Acta Mol Cell Biol Lipids 2021 (PMID:34487913)
Kang DH et al., Oncol Lett 2021 (PMID:33552282)
Zuliani I et al., Neurotherapeutics 2020 (PMID:33258073)
v468. chapter 4 WNT 细胞通路 检测细胞GSK3活性与表达水平
4 ). 2. Other antibodies used were b-catenin (phospho-Thr41/Ser37/Ser33) (#9561; Cell Signaling Technology), b-catenin (#9562;Cell Signaling Technology), CRMP2 (pT514/509) (#PB-043; Kinasource, Dundee, Scotland) and CRMP2 (#AB-042;Kinasource). 3. Blocking buffer
secondary antibody review -- data from 99 publications
cytometry used as a control to detect cell responses targeted antigen 7 Alexa Fluor 488 7 Cy3 8 goat IgG Alexa Fluor 488 1:2000 detect antibody binding in human embryonic kidney 293T cells Invitrogen 9 donkey
R&D Systems 96孔高通量蛋白芯片(Proteme Profiler 96 )试剂盒技术专辑
the following analytes: EGF R, ErbB2, ErbB3, ErbB4, HGF R, IGF-I R, INSR, M-CSF R, MSP R, PDGF R alpha, PDGF R beta, SCF R, Tie-2, VEGF R1, VEGF R2, VEGF R3 ARZ001 Human Phospho-RTK Array 2 Breast Cancer 8-plex including
技术资料暂无技术资料 索取技术资料







![Her2 / ErbB2 (phospho Tyr1248) antibody [HL1466]](https://img1.dxycdn.com/2023/0605/161/8805244334990755661-14.jpg!wh200)



