相关产品推荐更多 >
万千商家帮你免费找货
0 人在求购买到急需产品
- 详细信息
- 文献和实验
- 技术资料
- 供应商:
杭州沃森生物
- 规格:
5ml/25ml/100ml
| 规格: | 5ml | 产品价格: | ¥105.0 |
|---|---|---|---|
| 规格: | 25ml | 产品价格: | ¥455.0 |
| 规格: | 100ml | 产品价格: | ¥1540.0 |
产品简介
本品包含Taq DNA聚合酶、dNTPs、MgCl2、反应缓冲液,预混为2×SuperMix,使用时仅需加入DNA模板和引物。具有快速简便、灵敏度高、特异性强、稳定性好等优点。SuperMix已包含染料,PCR产物可直接进行电泳检测,无需loading buffer。
适用范围
PCR法扩增DNA;半定量PCR实验和微量DNA检测等。扩增产物3’末端为A,纯化后可直接用于T/A克隆。
产品特点
性价比高:节约实验成本,保证实验结果
操作简便:2×预混液,使用简便,含染料可直接电泳。
适用性强:对多种模板类型具有广泛的适用性。

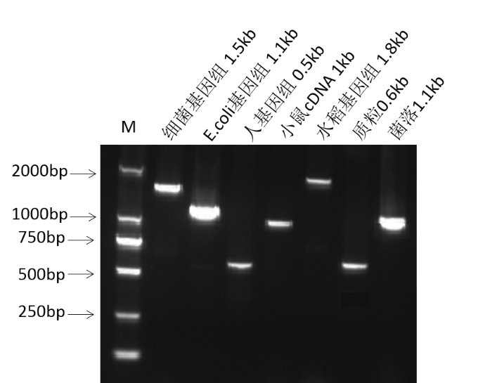
分别用不同模板扩增0.5kb-1.8kb的片段,反应结束后电泳检测,均可高效扩增
风险提示:丁香通仅作为第三方平台,为商家信息发布提供平台空间。用户咨询产品时请注意保护个人信息及财产安全,合理判断,谨慎选购商品,商家和用户对交易行为负责。对于医疗器械类产品,请先查证核实企业经营资质和医疗器械产品注册证情况。
文献和实验PCR 新手指南——手把手教您如何正确选择合适的 PCR 酶
PCR 酶数量如此之多,选择正确的酶可能是一项挑战。用于扩增 DNA 的各种酶的保真性、扩增速度和特异性各不相同。以下三个问题可以帮助您解答选择 PCR 酶时需要重点关注的因素。 Q 1:您需要确保序列准确性吗? 有时您只需要检测 PCR 产物或估算其大小,例如在对小鼠进行基因分型或筛选重组克隆时。对于这种类型的常规 PCR 分析,您应该使用标准的热稳定 DNA 聚合酶(如 Taq DNA 聚合酶)来确认目的 DNA 存在与否。 但是,如果要执行克隆实验或下一代测序(NGS),那么准确性至关
)的逆转录酶(RT)。一般情况下用Mo-MLV-RT较多,但模板RNA的二级结构严重影响逆转录时,可改用AMV-RT,因后者最适温度为72℃,高于Mo-MLV-RT的最适温度(37℃),而较高的反应温度有助于消除RNA的二级结构。 一步法扩增(one step amplification)是为了检测低丰度mRNA的表达,利用同一种缓冲液,在同一体系中加入逆转录酶、引物、Taq酶、4种dNTP直接进行mRNA反转录与PCR扩增。发现Taq酶不仅具有DNA多聚酶的作用,而且具有反转录酶活性,可利用其双重
基因芯片技术具有快速多样、微型化和自动化等特点在生物医学领域广泛的应用。但由于其基本原理是基于核酸杂交技术,有着内在的缺陷,实验的敏感性和重复性都存在一定问题。核酸杂交较适合于检测基因的表达,不易检测基因组DNA的基因的重排,突变和缺失。而大多数肿瘤性疾病和一些遗传变异和表型的改变与后者有关。为了解决上述问题,我们将芯片技术与荧光PCR技术相结合,设立设计一种含有大量微反应池的PCR基因芯片,以期能快速、准确的对基因的重排,突变和缺失等基因变异进行检测。常规PCR反应产物的检测是电泳后观察获得
技术资料暂无技术资料 索取技术资料










